Receive 30% off all Monoclonal IHC antibodies with code "MONO-IHC-30"! Offer valid for US customers and available internationally through distributors.

Oct-4B/OCT4B-190 Polyclonal Antibody

Applications

  • WB
  • IHC-P
  • IHC-F
  • IF

Reactivity

  • Mouse
  • Rat

Predicted Reactivity

  • Human
  • Dog
  • Cow
  • Pig
Overview
Catalog # bs-3816r
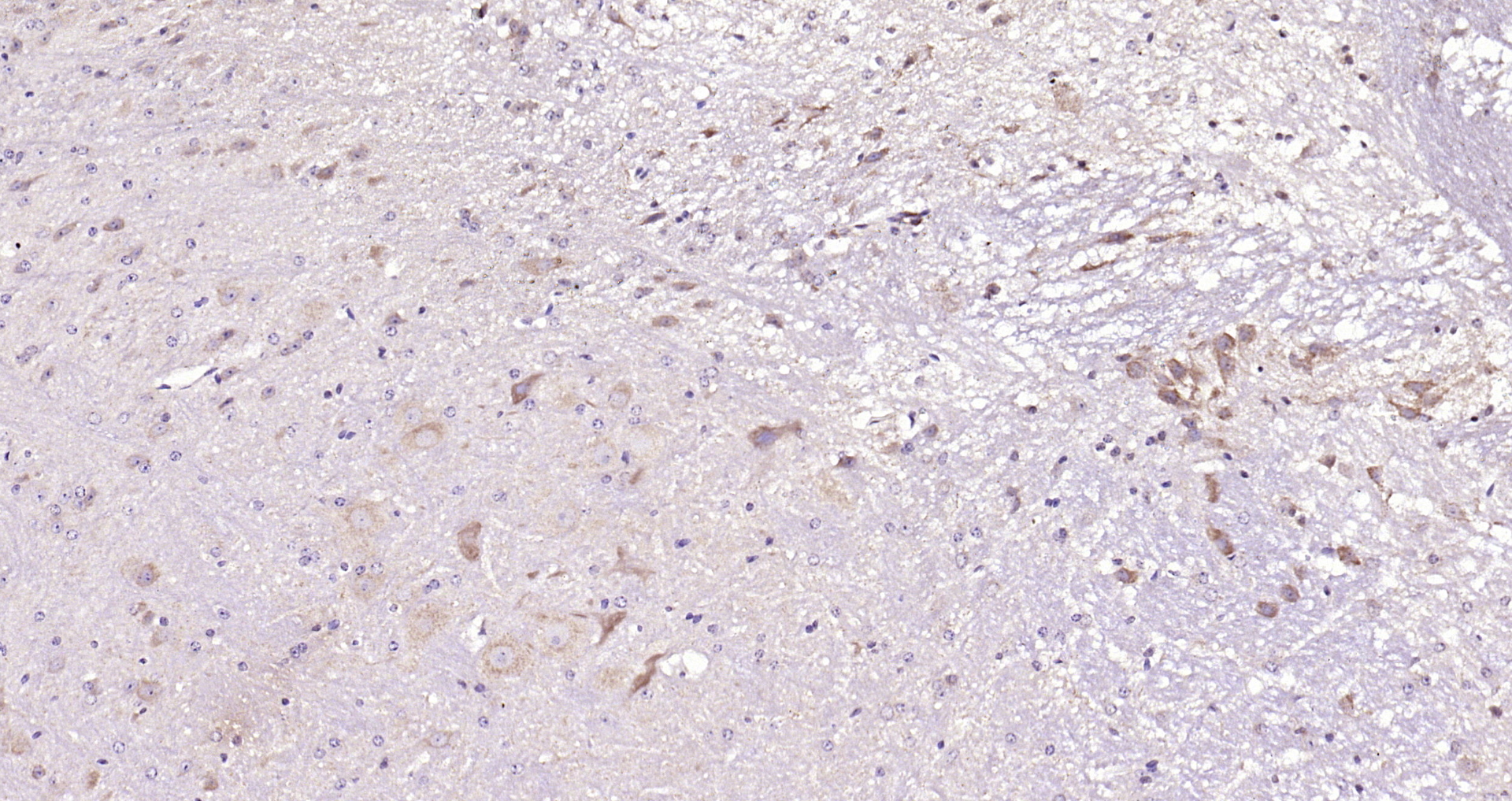
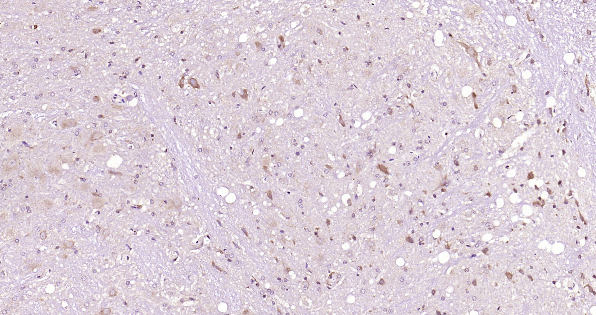
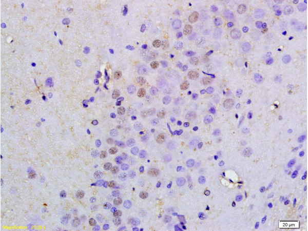
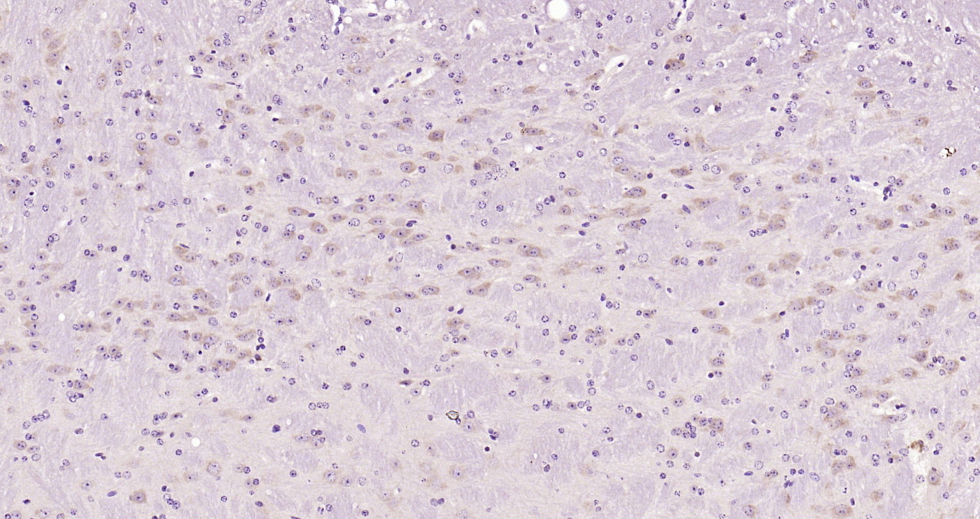
Product Name Oct-4B/OCT4B-190 Polyclonal Antibody
Applications WB, IHC-P, IHC-F, IF
Reactivity Mouse, Rat
Predicted Reactivity Human, Dog, Cow, Pig
Specifications
Conjugation Unconjugated
Host Rabbit
Source KLH conjugated synthetic peptide derived from human OCT4B-190
Immunogen Range 201-300/360
Clonality Polyclonal
Isotype IgG
Concentration 1ug/ul
Purification Purified by Protein A.
Storage Buffer 0.01M TBS(pH7.4) with 1% BSA, 0.02% Proclin300 and 50% Glycerol.
Storage Condition Shipped at 4℃. Store at -20℃ for one year. Avoid repeated freeze/thaw cycles.
Target
Gene ID 5460
Swiss Prot Q01860
Subcellular location Nucleus
Synonyms OCT3; OCT4; OTF3; OTF4; OTF-3; Oct-3; Oct-4; POU domain, class 5, transcription factor 1; Octamer-binding protein 3; Octamer-binding protein 4; Octamer-binding transcription factor 3; POU5F1
Background Transcription factor that binds to the octamer motif (5'-ATTTGCAT-3'). Forms a trimeric complex with SOX2 on DNA and controls the expression of a number of genes involved in embryonic development such as YES1, FGF4, UTF1 and ZFP26. Critical for early embryogenesis and for embryonic stem cell pluripotency.
Application Dilution
WB 1:500-2000
IHC-P 1:100-500
IHC-F 1:100-500
IF 1:100-500