Receive 30% off all Monoclonal IHC antibodies with code "MONO-IHC-30"! Offer valid for US customers and available internationally through distributors.

NR0B2 Polyclonal Antibody

Applications

  • WB
  • ELISA
  • IHC-P
  • IHC-F
  • IF(IHC-P)
  • IF(IHC-F)
  • IF(ICC)

Reactivity

  • Mouse
  • Rat

Predicted Reactivity

  • Human
  • Dog
  • Cow
  • Horse
  • Rabbit
Overview
Catalog # bs-4311R
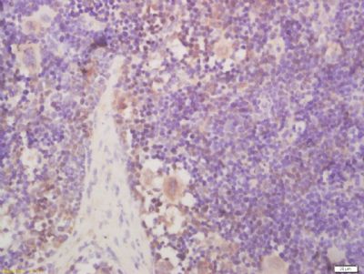
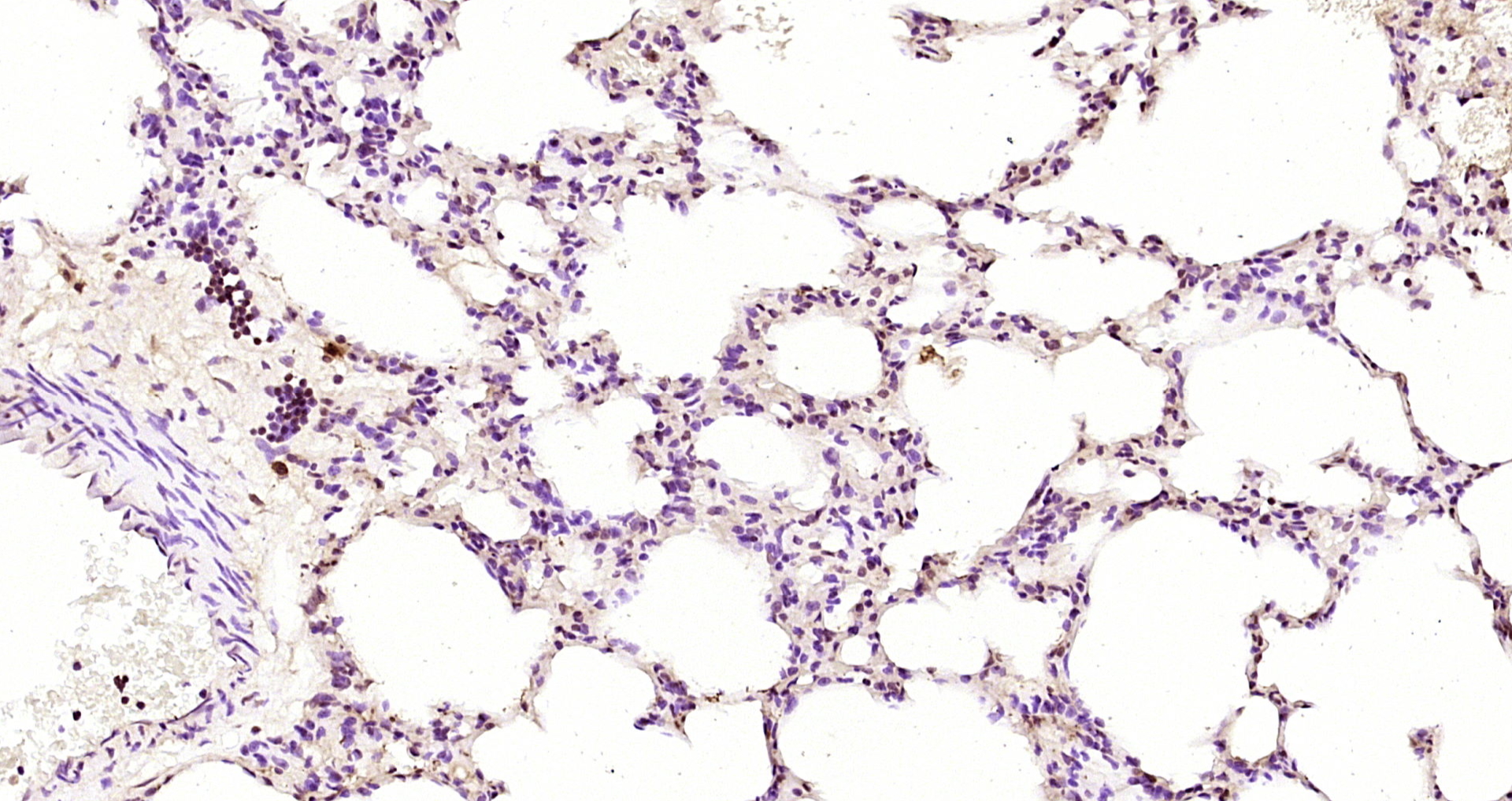
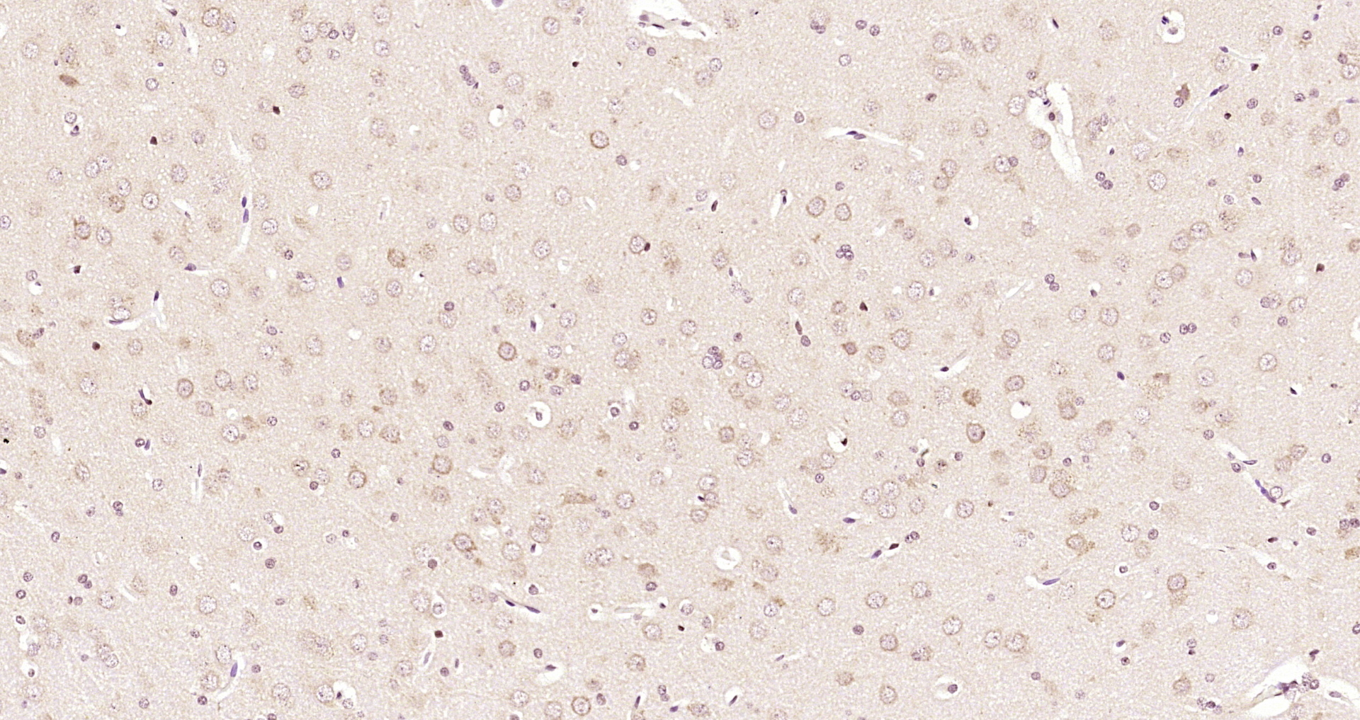
Product Name NR0B2 Polyclonal Antibody
Applications WB, ELISA, IHC-P, IHC-F, IF(IHC-P), IF(IHC-F), IF(ICC)
Reactivity Mouse, Rat
Predicted Reactivity Human, Dog, Cow, Horse, Rabbit
Specifications
Conjugation Unconjugated
Host Rabbit
Source KLH conjugated synthetic peptide derived from human NR0B2
Clonality Polyclonal
Clone # #REF!
Isotype IgG
Concentration 1ug/ul
Purification Purified by Protein A.
Storage Buffer 0.01M TBS(pH7.4) with 1% BSA, 0.02% Proclin300 and 50% Glycerol.
Storage Condition Shipped at 4C. Store at -20C for one year. Avoid repeated freeze/thaw cycles.
Target
Gene ID 8431
Swiss Prot Q15466
Subcellular location Cytoplasm, Nucleus
Synonyms SHP; SHP1; Nuclear receptor subfamily 0 group B member 2; Orphan nuclear receptor SHP; Small heterodimer partner; NR0B2
Background Acts as a transcriptional regulator. Acts as a negative regulator of receptor-dependent signaling pathways. Specifically inhibits transactivation of the nuclear receptor with whom it interacts. Inhibits transcriptional activity of NEUROD1 on E-box-containing promoter by interfering with the coactivation function of the p300/CBP-mediated trancription complex for NEUROD1.
Application Dilution
WB 1:300-5000
ELISA 1:500-1000
IHC-P 1:200-400
IHC-F 1:100-500
IF(IHC-P) 1:50-200
IF(IHC-F) 1:50-200
IF(ICC) 1:50-200