| Overview |
| bs-4511R |
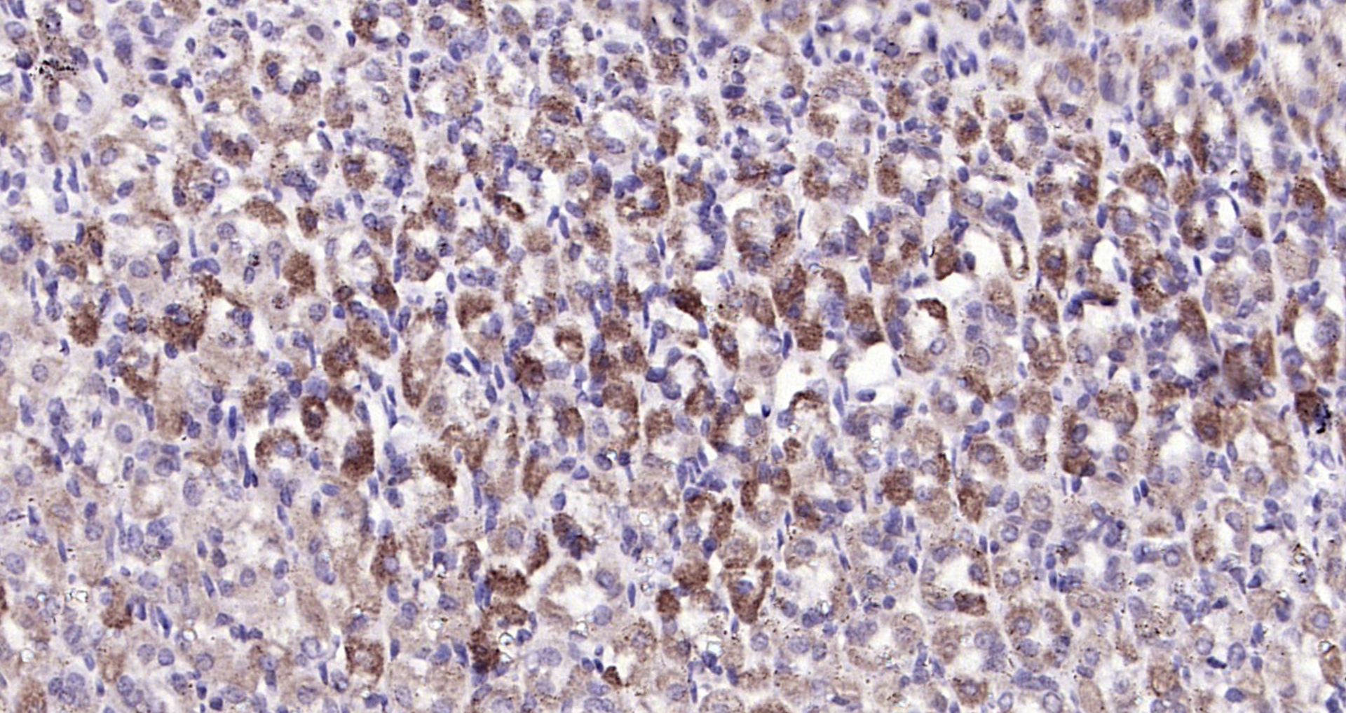
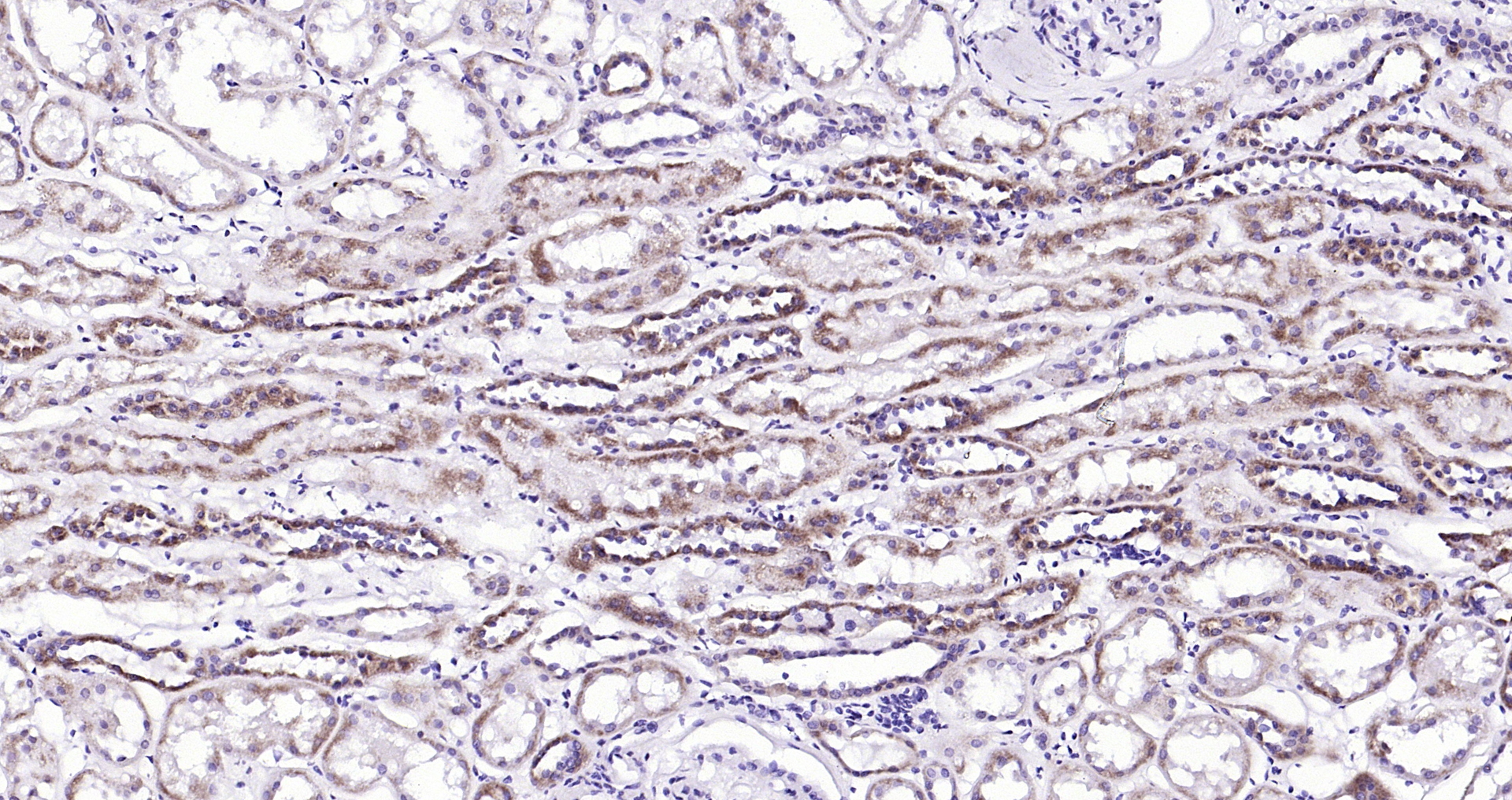
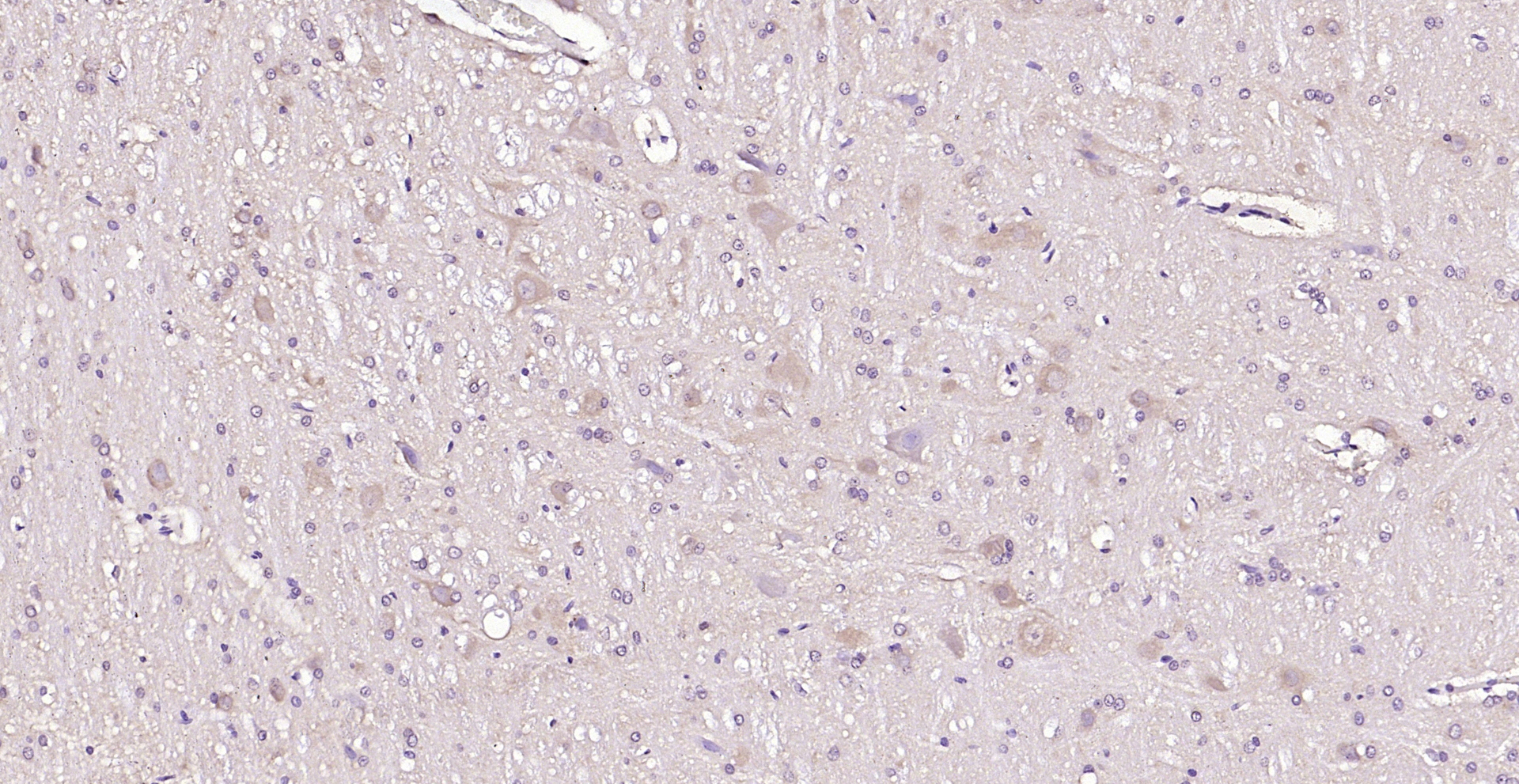
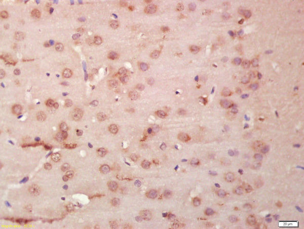
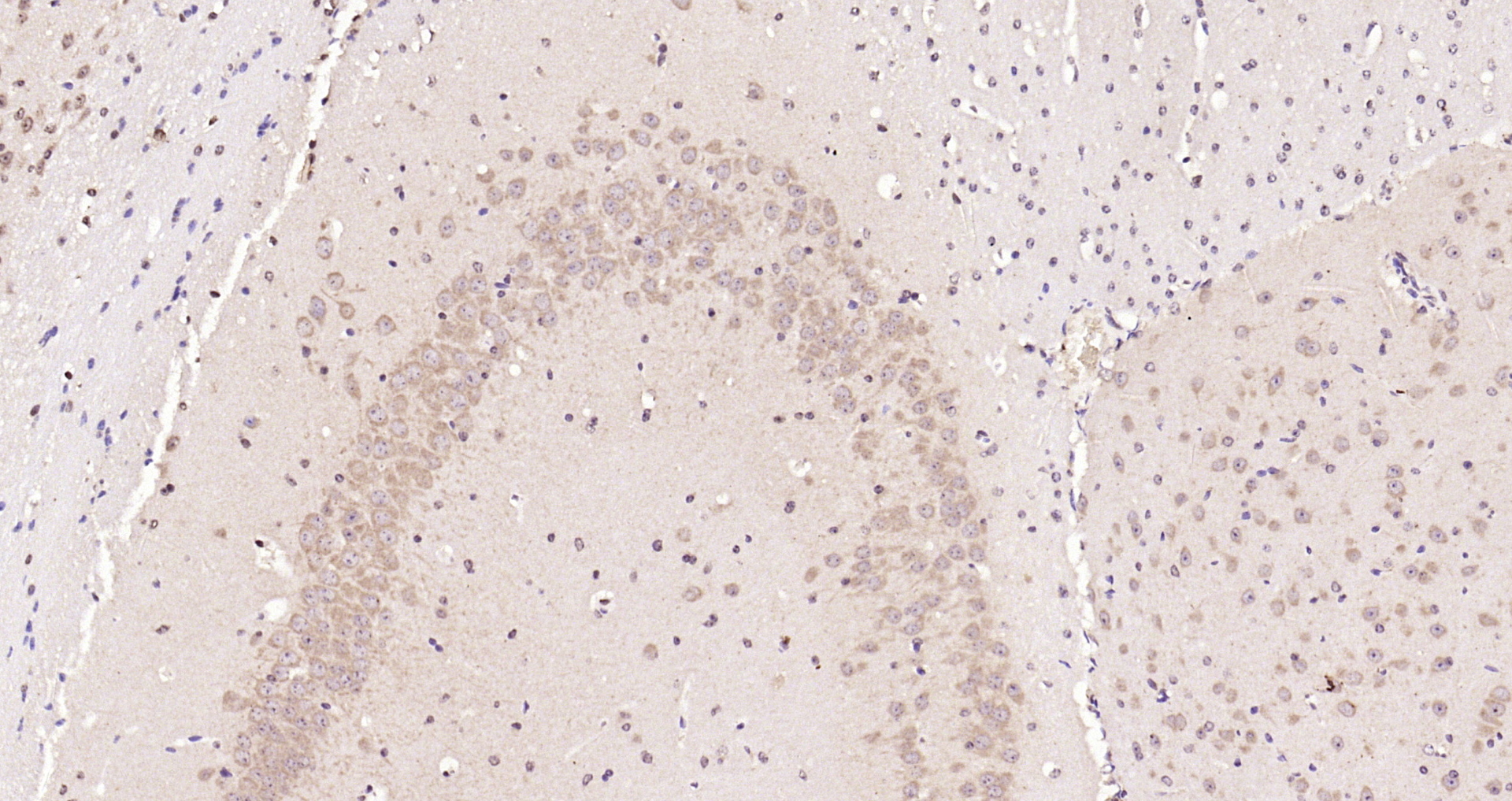
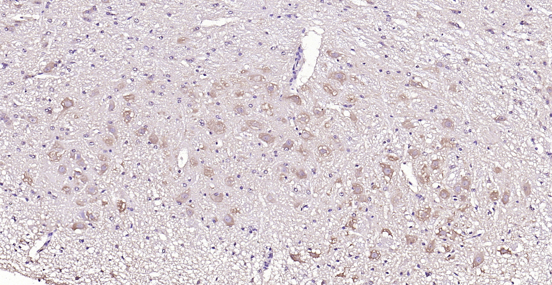
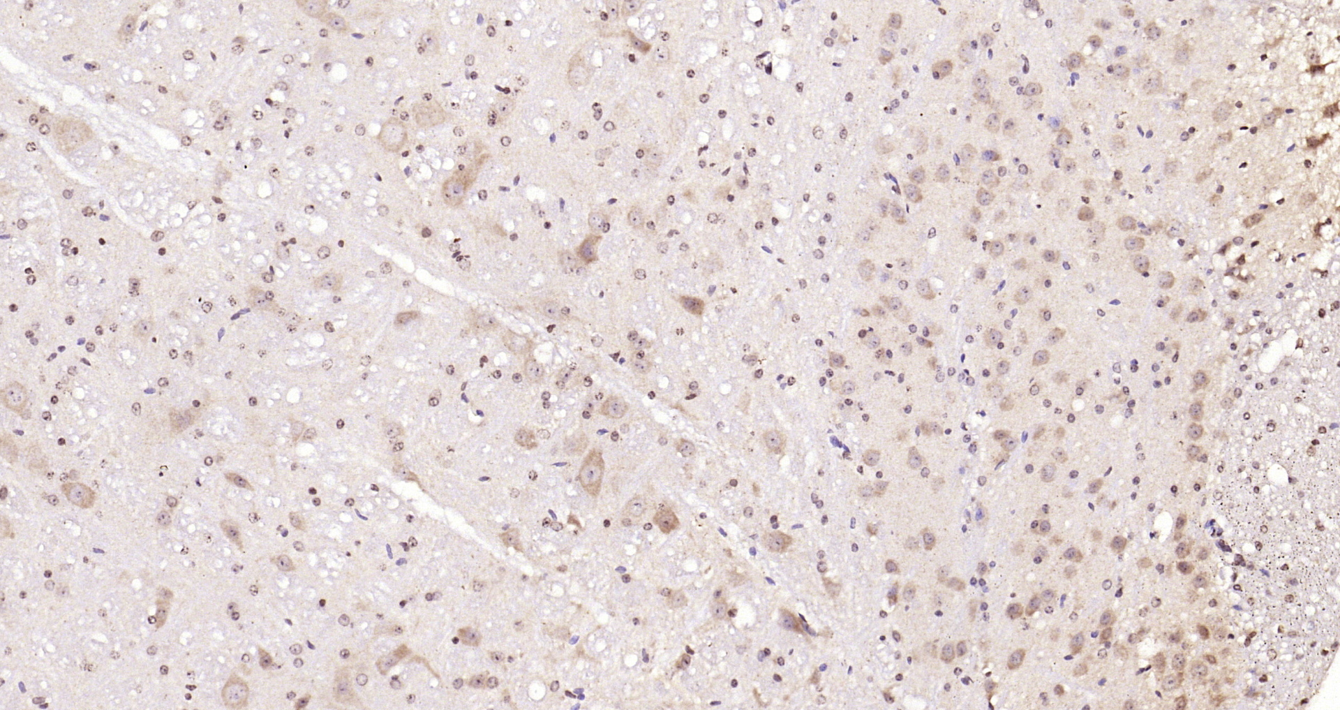
| Beta tubulin Polyclonal Antibody |
| WB, ELISA, FCM, IHC-P, IHC-F, IF(IHC-P), IF(IHC-F), IF(ICC) |
| Human, Mouse, Rat |
| Specifications |
| Unconjugated |
| Rabbit |
| KLH conjugated synthetic peptide derived from human tubulin Beta |
| Polyclonal |
| #REF! |
| IgG |
| 1ug/ul |
| Purified by Protein A. |
| 0.01M TBS(pH7.4) with 1% BSA, 0.02% Proclin300 and 50% Glycerol. |
| Shipped at 4_. Store at -20_ for one year. Avoid repeated freeze/thaw cycles. |
| Target |
| 203068 |
| P07437 |
| Cytoplasm |
| M4; TUBB1; TUBB5; CDCBM6; OK/SW-cl.56; Tubulin beta chain; Tubulin beta-5 chain; TUBB |
| Tubulin is the major constituent of microtubules. It binds two moles of GTP, one at an exchangeable site on the beta chain and one at a non-exchangeable site on the alpha chain. |
| Application Dilution |
| WB |
1:300-5000 |
| ELISA |
1:500-1000 |
| FCM |
1:20-100 |
| IHC-P |
1:200-400 |
| IHC-F |
1:100-500 |
| IF(IHC-P) |
1:50-200 |
| IF(IHC-F) |
1:50-200 |
| IF(ICC) |
1:50-200 |