Receive 30% off all Monoclonal IHC antibodies with code "MONO-IHC-30"! Offer valid for US customers and available internationally through distributors.

KCNMA1/BK channel Polyclonal Antibody

Applications

  • ELISA
  • IHC-P
  • IHC-F
  • IF(IHC-P)
  • IF(IHC-F)
  • IF(ICC)

Reactivity

  • Human
  • Mouse
  • Rat

Predicted Reactivity

  • Cow
  • Pig
  • Chicken
  • Rabbit
Overview
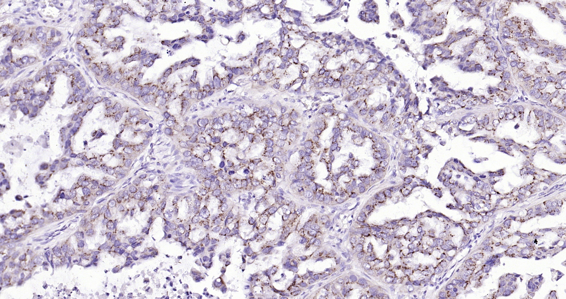
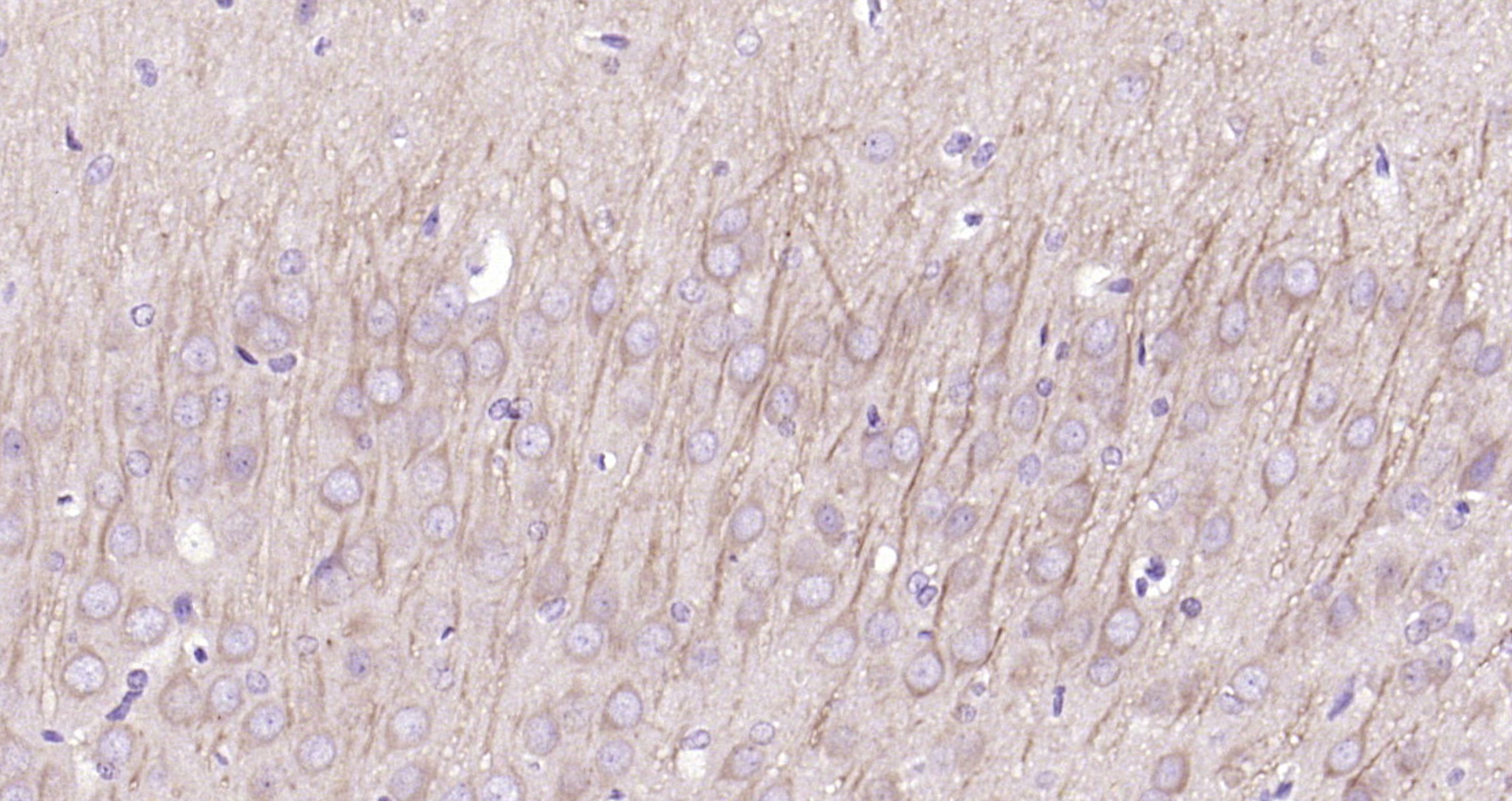
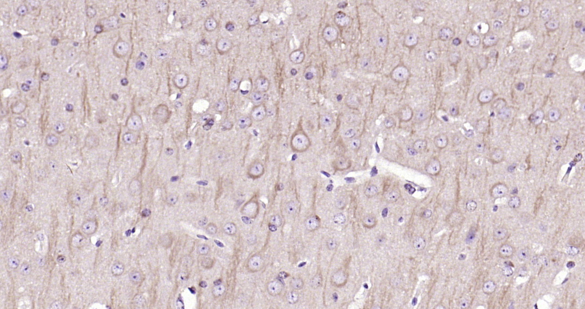
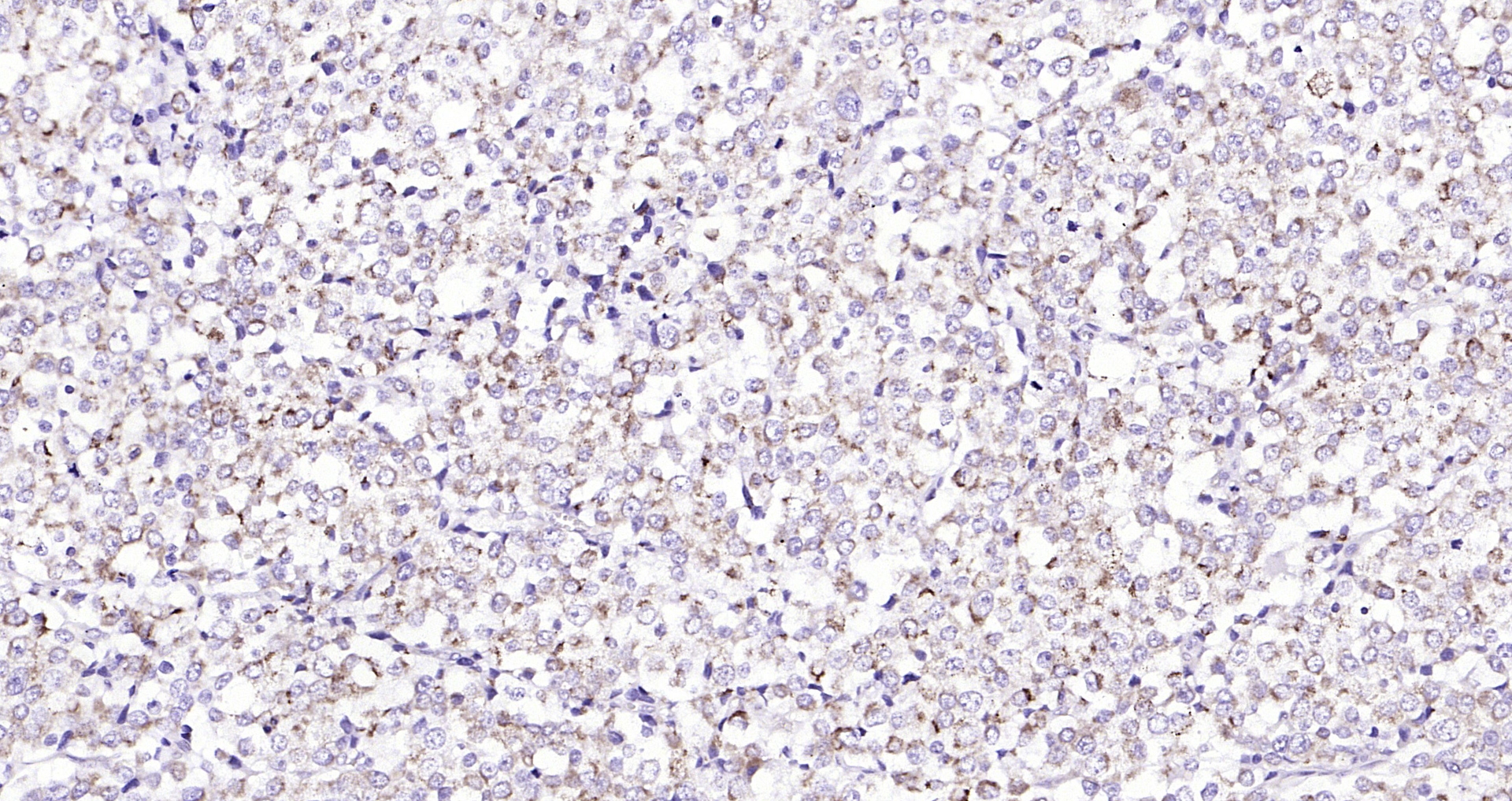
Catalog # bs-4775R
Product Name KCNMA1/BK channel Polyclonal Antibody
Applications ELISA, IHC-P, IHC-F, IF(IHC-P), IF(IHC-F), IF(ICC)
Reactivity Human, Mouse, Rat
Predicted Reactivity Cow, Pig, Chicken, Rabbit
Specifications
Conjugation Unconjugated
Host Rabbit
Source KLH conjugated synthetic peptide derived from human BKCA alpha
Clonality Polyclonal
Clone # #REF!
Isotype IgG
Concentration 1ug/ul
Purification Purified by Protein A.
Storage Buffer 0.01M TBS(pH7.4) with 1% BSA, 0.02% Proclin300 and 50% Glycerol.
Storage Condition Shipped at 4_. Store at -20_ for one year. Avoid repeated freeze/thaw cycles.
Target
Subcellular location Cell membrane
Synonyms subfamily M subunit alpha-1; BK channel; BKCA alpha; BKCA alpha subunit; BKTM; Calcium-activated potassium channel; Calcium-activated potassium channel subunit alpha-1; Drosophila slowpoke like; hSlo; KVCAalpha; KCa1.1; KCMA1_HUMAN; KCNMA; KCNMA1; Maxi K channel; Maxi Potassium channel alpha; MaxiK; SAKCA; SLO alpha; SLO; Slo homolog; Slo-alpha; Slo1; Slowpoke homolog.
Background MaxiK channels are large conductance, voltage and calcium-sensitive potassium channels which are fundamental to the control of smooth muscle tone and neuronal excitability. MaxiK channels can be formed by 2 subunits: the pore-forming alpha subunit, which is the product of this gene, and the modulatory beta subunit. Intracellular calcium regulates the physical association between the alpha and beta subunits. Alternatively spliced transcript variants encoding different isoforms have been identified. [provided by RefSeq, Jul 2008].
Application Dilution
ELISA 1:500-1000
IHC-P 1:200-400
IHC-F 1:100-500
IF(IHC-P) 1:50-200
IF(IHC-F) 1:50-200
IF(ICC) 1:50-200