RECEIVE 25% OFF PUBLISHED ANTIBODIES WITH CODE "PUB25"! Offer valid for US customers and available internationally through distributors.

MAP2K1 Polyclonal Antibody

Applications

  • WB
  • IHC-P
  • IHC

Reactivity

  • Human
  • Mouse
  • Rat
Overview
Catalog # bs-55126R
Product Name MAP2K1 Polyclonal Antibody
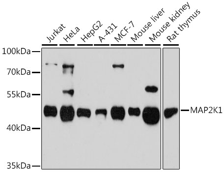
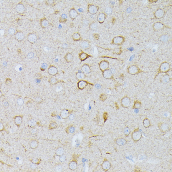
Applications WB, IHC-P, IHC
Reactivity Human, Mouse, Rat
Specifications
Conjugation Unconjugated
Host Rabbit
Source A synthetic peptide corresponding to a sequence within amino acids 1-100 of human MAP2K1 (NP_002746.1).
Clonality Polyclonal
Clone # #REF!
Isotype IgG
Concentration 1ug/ul
Purification Purified by Protein A.
Storage Buffer 0.01M TBS(pH7.4) with 1% BSA, 0.02% Proclin300 and 50% Glycerol.
Storage Condition Store at -20C for 12 months.
Target
Gene ID 5604
Swiss Prot Q02750
Subcellular location Cytoplasm, Nucleus
Synonyms CFC3;MAPKK1;MEK1;MKK1;PRKMK1;MAP2K1
Background The protein encoded by this gene is a member of the dual specificity protein kinase family, which acts as a mitogen-activated protein (MAP) kinase kinase. MAP kinases, also known as extracellular signal-regulated kinases (ERKs), act as an integration point for multiple biochemical signals. This protein kinase lies upstream of MAP kinases and stimulates the enzymatic activity of MAP kinases upon wide variety of extra- and intracellular signals. As an essential component of MAP kinase signal transduction pathway, this kinase is involved in many cellular processes such as proliferation, differentiation, transcription regulation and development.
Application Dilution
WB 1:300-5000
IHC-P 1:200-400
IHC