RECEIVE 25% OFF PUBLISHED ANTIBODIES WITH CODE "PUB25"! Offer valid for US customers and available internationally through distributors.

MLST8 Polyclonal Antibody

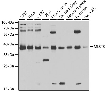
Applications

  • WB

Reactivity

  • Human
  • Mouse
  • Rat
Overview
Catalog # bs-55132R
Product Name MLST8 Polyclonal Antibody
Applications WB
Reactivity Human, Mouse, Rat
Specifications
Conjugation Unconjugated
Host Rabbit
Source Recombinant fusion protein containing a sequence corresponding to amino acids 1-326 of human MLST8 (NP_001186103.1).
Clonality Polyclonal
Clone # #REF!
Isotype IgG
Concentration 1ug/ul
Purification Purified by Protein A.
Storage Buffer 0.01M TBS(pH7.4) with 1% BSA, 0.02% Proclin300 and 50% Glycerol.
Storage Condition Store at -20C for 12 months.
Target
Gene ID 64223
Swiss Prot Q9BVC4
Subcellular location Cytoplasm
Synonyms MLST8;GBL;GbetaL;LST8;POP3;WAT1
Background MLST8 (MTOR Associated Protein, LST8 Homolog) is a Protein Coding gene. Diseases associated with MLST8 include?Barbiturate Abuse?and?Tuberous Sclerosis 1. Among its related pathways are?RET signaling?and?Respiratory electron transport, ATP synthesis by chemiosmotic coupling, and heat production by uncoupling proteins..
Application Dilution
WB 1:300-5000