RECEIVE 25% OFF PUBLISHED ANTIBODIES WITH CODE "PUB25"! Offer valid for US customers and available internationally through distributors.

NDUFA7 Polyclonal Antibody

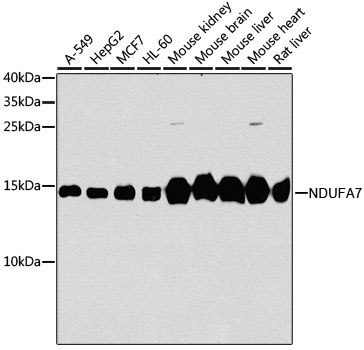
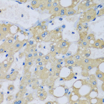
Applications

  • WB
  • IHC-P
  • IHC

Reactivity

  • Human
  • Mouse
  • Rat
Overview
Catalog # bs-55144R
Product Name NDUFA7 Polyclonal Antibody
Applications WB, IHC-P, IHC
Reactivity Human, Mouse, Rat
Specifications
Conjugation Unconjugated
Host Rabbit
Source Recombinant fusion protein containing a sequence corresponding to amino acids 1-113 of human NDUFA7 (NP_004992.2).
Clonality Polyclonal
Clone # #REF!
Isotype IgG
Concentration 1ug/ul
Purification Purified by Protein A.
Storage Buffer 0.01M TBS(pH7.4) with 1% BSA, 0.02% Proclin300 and 50% Glycerol.
Storage Condition Store at -20C for 12 months.
Target
Gene ID 4701
Swiss Prot O95182
Subcellular location Cytoplasm
Synonyms NDUFA7;B14.5a;CI-B14.5a
Background This gene encodes a subunit of NADH:ubiquinone oxidoreductase (complex I), which is a multiprotein complex located in the inner mitochondrial membrane. Complex I functions in the transfer of electrons from NADH to the respiratory chain.
Application Dilution
WB 1:300-5000
IHC-P 1:200-400
IHC