RECEIVE 25% OFF PUBLISHED ANTIBODIES WITH CODE "PUB25"! Offer valid for US customers and available internationally through distributors.

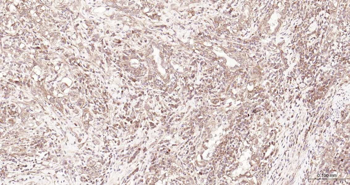
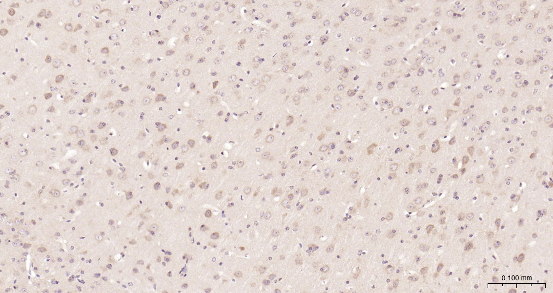
STAT3 Polyclonal Antibody

Applications

  • WB

Reactivity

  • Human
Overview
Catalog # bs-55208R
Product Name STAT3 Polyclonal Antibody
Applications WB
Specificity KO-Validated
Reactivity Human
Specifications
Conjugation Unconjugated
Host Rabbit
Source Recombinant fusion protein containing a sequence corresponding to amino acids 640-770 of human STAT3 (NP_644805.1).
Clonality Polyclonal
Clone # #REF!
Isotype IgG
Concentration 1ug/ul
Purification Purified by Protein A.
Storage Buffer 0.01M TBS(pH7.4) with 1% BSA, 0.02% Proclin300 and 50% Glycerol.
Storage Condition Shipped at 4C. Store at -20C for one year. Avoid repeated freeze/thaw cycles.
Target
Gene ID 6774
Swiss Prot P40763
Subcellular location Cytoplasm, Nucleus
Synonyms ADMIO;ADMIO1;APRF;HIES;STAT3;Stat3
Background The protein encoded by this gene is a member of the STAT protein family. In response to cytokines and growth factors, STAT family members are phosphorylated by the receptor associated kinases, and then form homo- or heterodimers that translocate to the cell nucleus where they act as transcription activators. This protein is activated through phosphorylation in response to various cytokines and growth factors including IFNs, EGF, IL5, IL6, HGF, LIF and BMP2. This protein mediates the expression of a variety of genes in response to cell stimuli, and thus plays a key role in many cellular processes such as cell growth and apoptosis. The small GTPase Rac1 has been shown to bind and regulate the activity of this protein. PIAS3 protein is a specific inhibitor of this protein. Mutations in this gene are associated with infantile-onset multisystem autoimmune disease and hyper-immunoglobulin E syndrome. Alternative splicing results in multiple transcript variants encoding distinct isoforms.
Application Dilution
WB 1:1000-2000