Receive 30% off all Monoclonal IHC antibodies with code "MONO-IHC-30"! Offer valid for US customers and available internationally through distributors.

TMPO Polyclonal Antibody

Applications

  • WB
  • IHC-P
  • IHC
  • IF

Reactivity

  • Human
  • Mouse
  • Rat
Overview
Catalog # bs-55216R
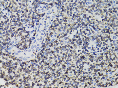
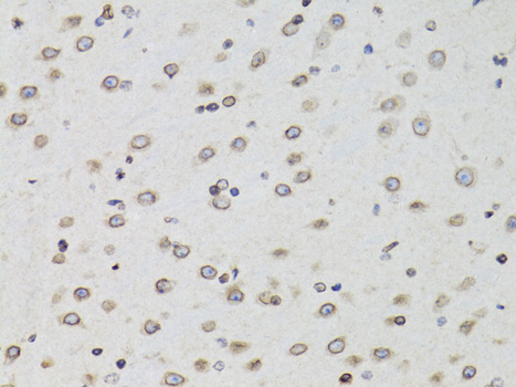
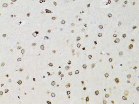
Product Name TMPO Polyclonal Antibody
Applications WB, IHC-P, IHC, IF
Reactivity Human, Mouse, Rat
Specifications
Conjugation Unconjugated
Host Rabbit
Source Recombinant fusion protein containing a sequence corresponding to amino acids 1-410 of human TMPO (NP_001027454.1).
Clonality Polyclonal
Clone # #REF!
Isotype IgG
Concentration 1ug/ul
Purification Purified by Protein A.
Storage Buffer 0.01M TBS(pH7.4) with 1% BSA, 0.02% Proclin300 and 50% Glycerol.
Storage Condition Store at -20C for 12 months.
Target
Gene ID 7112
Swiss Prot P42166/P42167
Subcellular location Nucleus
Synonyms TMPO;CMD1T;LAP2;LEMD4;PRO0868;TP
Background The protein encoded by this gene resides in the nucleus and may play a role in the assembly of the nuclear lamina, and thus help maintain the structural organization of the nuclear envelope. It may function as a receptor for the attachment of lamin filaments to the inner nuclear membrane. Mutations in this gene are associated with dilated cardiomyopathy. Alternatively spliced transcript variants encoding different isoforms have been noted for this gene.
Application Dilution
WB 1:300-5000
IHC-P 1:200-400
IHC
IF