Receive 30% off all Monoclonal IHC antibodies with code "MONO-IHC-30"! Offer valid for US customers and available internationally through distributors.

UBE2O Polyclonal Antibody

Applications

  • WB
  • IF(ICC)
  • IP
  • IF

Reactivity

  • Human
  • Mouse
  • Rat
Overview
Catalog # bs-55219R
Product Name UBE2O Polyclonal Antibody
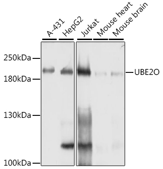
Applications WB, IF(ICC), IP, IF
Reactivity Human, Mouse, Rat
Specifications
Conjugation Unconjugated
Host Rabbit
Source Recombinant fusion protein containing a sequence corresponding to amino acids 1073-1292 of human UBE2O (NP_071349.3).
Clonality Polyclonal
Clone # #REF!
Isotype IgG
Concentration 1ug/ul
Purification Purified by Protein A.
Storage Buffer 0.01M TBS(pH7.4) with 1% BSA, 0.02% Proclin300 and 50% Glycerol.
Storage Condition Store at -20C for 12 months.
Target
Gene ID 63893
Swiss Prot Q9C0C9
Subcellular location Nucleus
Synonyms UBE2O;E2-230K
Background UBE20, also known as E2-230K, is a 1,292 amino acid member of the uniquitin-conjugating enzyme family that is involved in protein modification. Expressed predominately in heart and skeletal muscle, UBE2O functions to catalyze the ATP-dependent covalent attachment of ubiquitin to select proteins, thereby targeting the ubiquitinated proteins for proteasomal degradation. The gene encoding UBE2O maps to human chromosome 17, which comprises over 2.5% of the human genome and encodes over 1,200 genes. Two key tumor suppressor genes are associated with chromosome 17, namely, p53 and BRCA1. Tumor suppressor p53 is necessary for maintenance of cellular genetic integrity by moderating cell fate through DNA repair versus cell death. Malfunction or loss of p53 expression is associated with malignant cell growth and Li-Fraumeni syndrome. Like p53, BRCA1 is directly involved in DNA repair, though specifically it is recognized as a genetic determinant of early onset breast cancer and predisposition to cancers of the ovary, colon, prostate gland and fallopian tubes.
Application Dilution
WB 1:300-5000
IF(ICC) 1:50-200
IP 1-2ug
IF