Receive 30% off all Monoclonal IHC antibodies with code "MONO-IHC-30"! Offer valid for US customers and available internationally through distributors.

CTHRC1 Polyclonal Antibody

Applications

  • ELISA
  • IHC-P
  • IHC-F
  • IF(IHC-P)
  • IF(IHC-F)
  • IF(ICC)

Reactivity

  • Human

Predicted Reactivity

  • Mouse
  • Rat
  • Dog
  • Cow
  • Horse
  • Rabbit
Overview
Catalog # bs-5882R
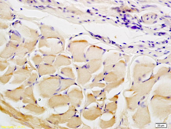
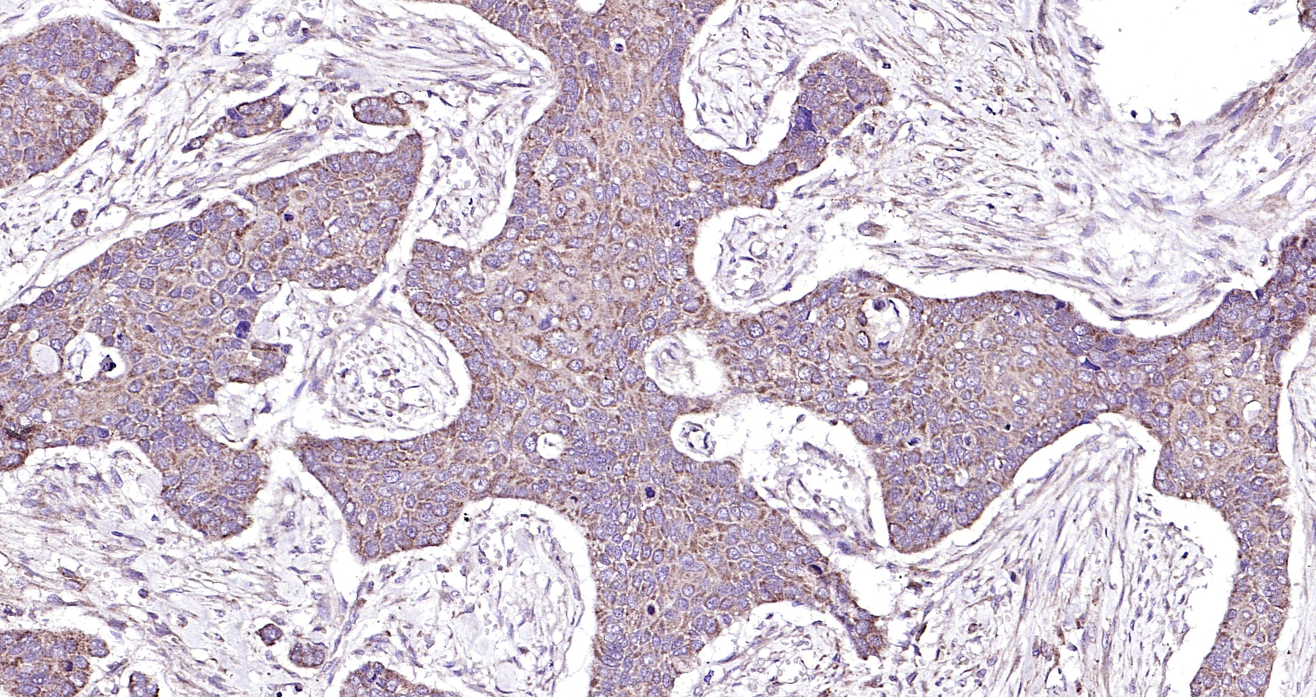
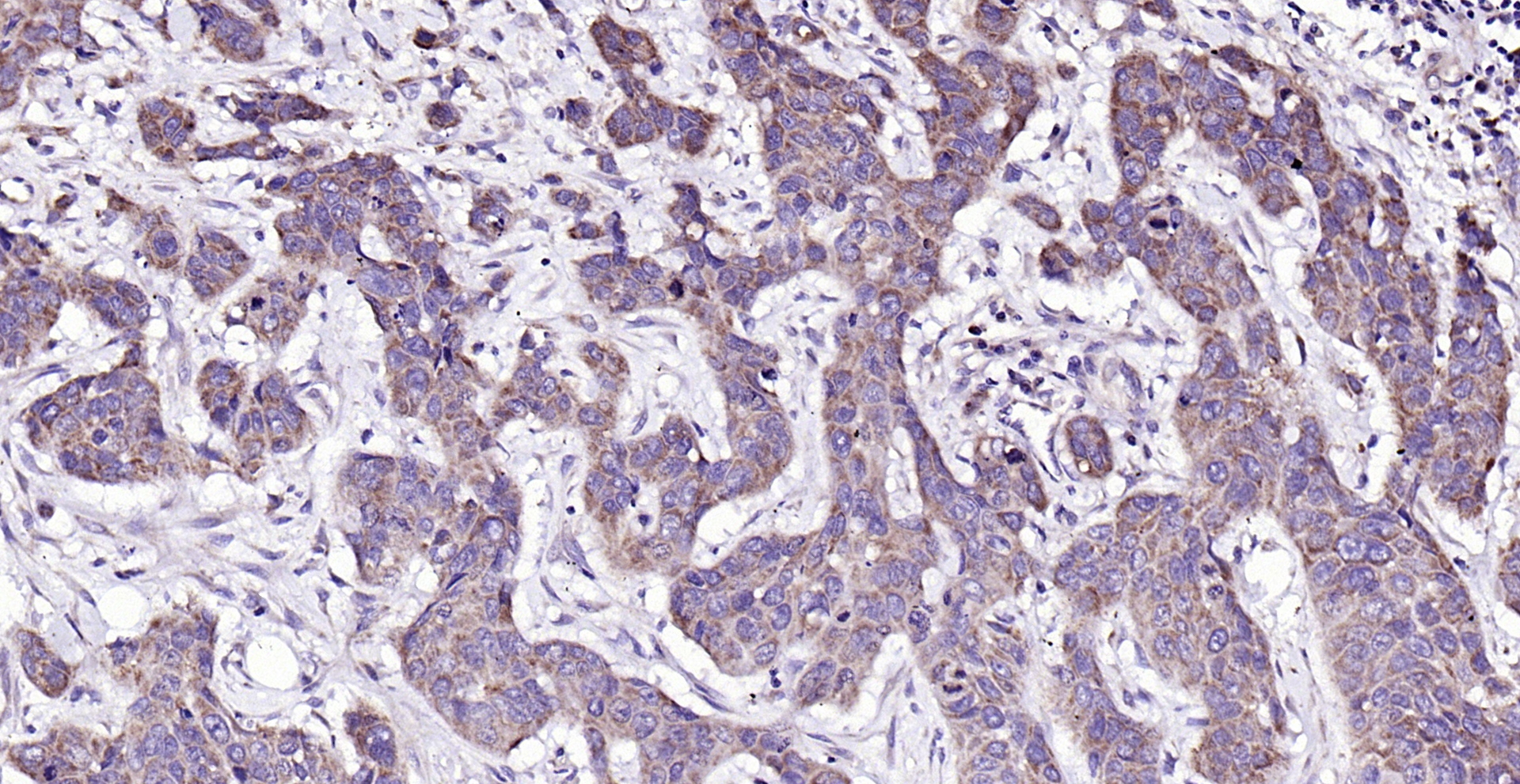
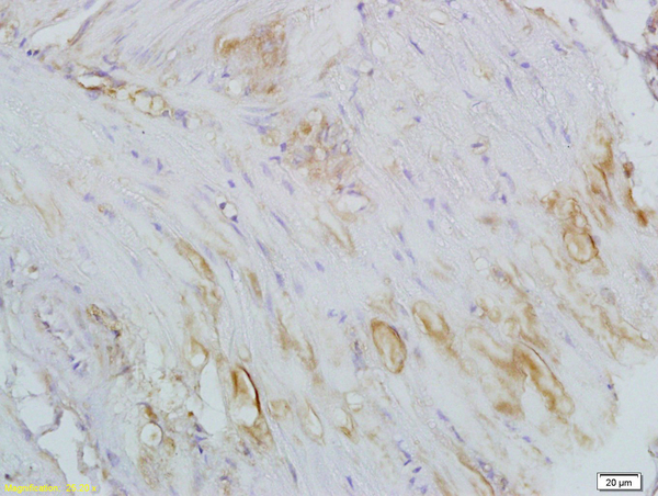
Product Name CTHRC1 Polyclonal Antibody
Applications ELISA, IHC-P, IHC-F, IF(IHC-P), IF(IHC-F), IF(ICC)
Specificity This antibody will recognize all three isoform variants of this protein.
Reactivity Human
Predicted Reactivity Mouse, Rat, Dog, Cow, Horse, Rabbit
Specifications
Conjugation Unconjugated
Host Rabbit
Source KLH conjugated synthetic peptide derived from human CTHRC1
Clonality Polyclonal
Clone # #REF!
Isotype IgG
Concentration 1ug/ul
Purification Purified by Protein A.
Storage Buffer 0.01M TBS(pH7.4) with 1% BSA, 0.02% Proclin300 and 50% Glycerol.
Storage Condition Shipped at 4C. Store at -20C for one year. Avoid repeated freeze/thaw cycles.
Target
Gene ID 115908
Swiss Prot Q96CG8
Subcellular location Secreted, Extracellular matrix
Synonyms Collagen triple helix repeat-containing protein 1; Protein NMTC1; CTHRC1; UNQ762/PRO1550
Background CTHRC1 is a protein that may play a role in the cellular response to arterial injury through involvement in vascular remodeling. Mutations at this locus have been associated with Barrett esophagus and esophageal adenocarcinoma. Alternatively spliced transcript variants have been described.
Application Dilution
ELISA WB1:300-5000
IHC-P ELISA1:500-1000
IHC-F IHC-P1:200-400
IF(IHC-P) IHC-F1:100-500
IF(IHC-F) IFIHC-P1:50-200
IF(ICC) IFIHC-F1:50-200