Receive 30% off all Monoclonal IHC antibodies with code "MONO-IHC-30"! Offer valid for US customers and available internationally through distributors.

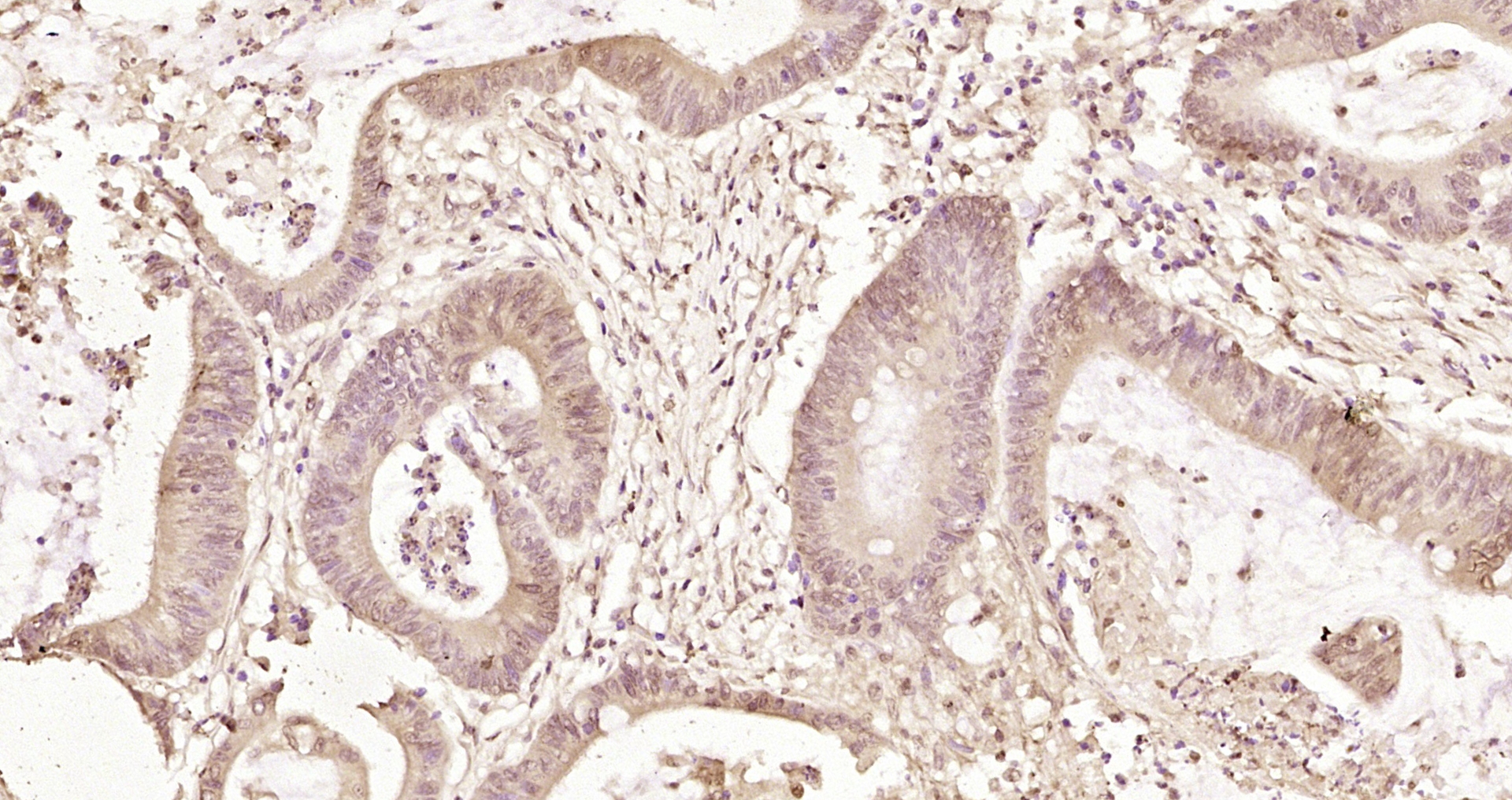
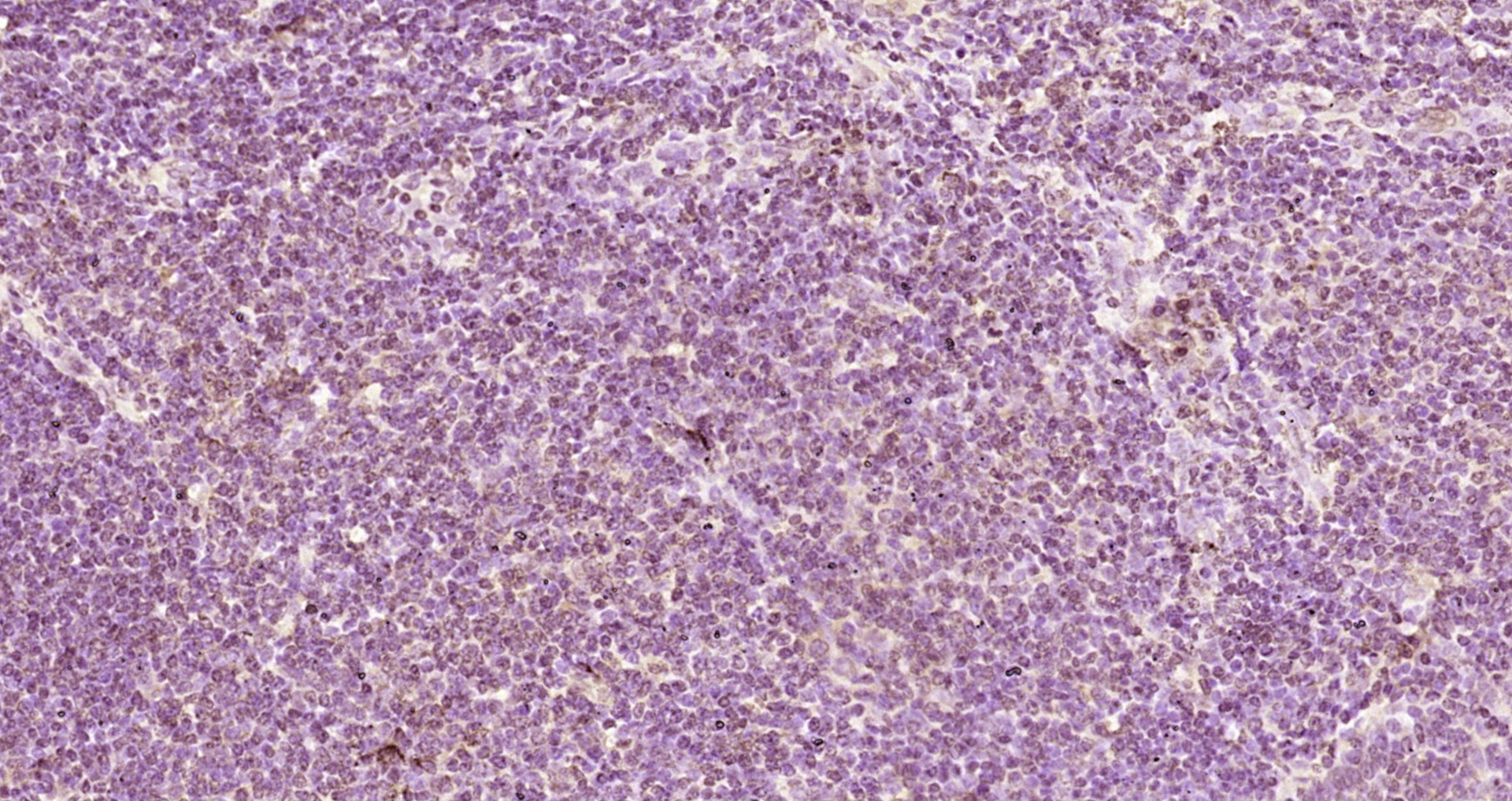
IMPDH2 Polyclonal Antibody

Applications

  • WB
  • ELISA
  • IHC-P
  • IHC-F
  • IF(IHC-P)
  • IF(IHC-F)
  • IF(ICC)

Reactivity

  • Human

Predicted Reactivity

  • Mouse
  • Rat
  • Dog
  • Cow
  • Pig
  • Horse
  • Rabbit
Overview
Catalog # bs-5924R
Product Name IMPDH2 Polyclonal Antibody
Applications WB, ELISA, IHC-P, IHC-F, IF(IHC-P), IF(IHC-F), IF(ICC)
Reactivity Human
Predicted Reactivity Mouse, Rat, Dog, Cow, Pig, Horse, Rabbit
Specifications
Conjugation Unconjugated
Host Rabbit
Source KLH conjugated synthetic peptide derived from human IMPDH2
Clonality Polyclonal
Clone # #REF!
Isotype IgG
Concentration 1ug/ul
Purification Purified by Protein A.
Storage Buffer 0.01M TBS(pH7.4) with 1% BSA, 0.02% Proclin300 and 50% Glycerol.
Storage Condition Shipped at 4C. Store at -20C for one year. Avoid repeated freeze/thaw cycles.
Target
Gene ID 3615
Subcellular location Cytoplasm, Nucleus
Synonyms IMP inosine monophosphate dehydrogenase 2; IMP dehydrogenase 2; IMP oxireductase 2; IMPD 2; IMPD2; IMPDH 2; IMPDH II; IMPDH-II; Impdh2; IMPDHII; Inosine 5' monophosphate dehydrogenase 2; Inosine-5''-monophosphate dehydrogenase 2; IMDH2_HUMAN.
Background Rate limiting enzyme in the de novo synthesis of guanine nucleotides and therefore is involved in the regulation of cell growth. It may also have a role in the development of malignancy and the growth progression of some tumors.
Application Dilution
WB 1:300-5000
ELISA 1:500-1000
IHC-P 1:200-400
IHC-F 1:100-500
IF(IHC-P) 1:50-200
IF(IHC-F) 1:50-200
IF(ICC) 1:50-200