Receive 30% off all Monoclonal IHC antibodies with code "MONO-IHC-30"! Offer valid for US customers and available internationally through distributors.

BRCAA1 Polyclonal Antibody

Applications

  • ELISA
  • IHC-P
  • IHC-F
  • IF(IHC-P)
  • IF(IHC-F)
  • IF(ICC)

Reactivity

  • Human

Predicted Reactivity

  • Mouse
  • Rat
  • Dog
  • Cow
  • Horse
  • Chicken
Overview
Catalog # bs-5992R
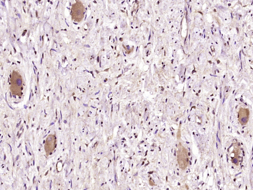
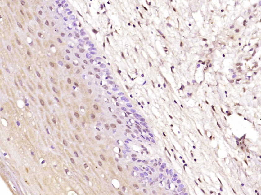
Product Name BRCAA1 Polyclonal Antibody
Applications ELISA, IHC-P, IHC-F, IF(IHC-P), IF(IHC-F), IF(ICC)
Reactivity Human
Predicted Reactivity Mouse, Rat, Dog, Cow, Horse, Chicken
Specifications
Conjugation Unconjugated
Host Rabbit
Source KLH conjugated synthetic peptide derived from human BRCAA1
Clonality Polyclonal
Clone # #REF!
Isotype IgG
Concentration 1ug/ul
Purification Purified by Protein A.
Storage Buffer 0.01M TBS(pH7.4) with 1% BSA, 0.02% Proclin300 and 50% Glycerol.
Storage Condition Shipped at 4C. Store at -20C for one year. Avoid repeated freeze/thaw cycles.
Target
Gene ID 51742
Swiss Prot Q4LE39
Subcellular location Cytoplasm, Nucleus
Synonyms BCAA; BRCAA1; RBP1L1; SAP180; RBBP1L1; AT-rich interactive domain-containing protein 4B; ARID domain-containing protein 4B; 180 kDa Sin3-associated polypeptide; Sin3-associated polypeptide p180; Breast cancer-associated antigen BRCAA1; Histone deacetylase complex subunit SAP180; Retinoblastoma-binding protein 1-like 1; ARID4B
Background Acts as a transcriptional repressor. May function in the assembly and/or enzymatic activity of the Sin3A corepressor complex or in mediating interactions between the complex and other regulatory complexes.
Application Dilution
ELISA 1:500-1000
IHC-P 1:200-400
IHC-F 1:100-500
IF(IHC-P) 1:50-200
IF(IHC-F) 1:50-200
IF(ICC) 1:50-200