Receive 30% off all Monoclonal IHC antibodies with code "MONO-IHC-30"! Offer valid for US customers and available internationally through distributors.

Histone H2B (Acetyl K16) polyclonal Antibody

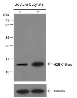
Applications

  • WB

Reactivity

  • Human

Predicted Reactivity

  • Mouse
  • Rat
Overview
Catalog # bs-60037R
Product Name Histone H2B (Acetyl K16) polyclonal Antibody
Applications WB
Reactivity Human
Predicted Reactivity Mouse, Rat
Specifications
Conjugation Unconjugated
Host Rabbit
Source KLH conjugated synthetic peptide derived from human Histone H2B (Acetyl K16)
Clonality Polyclonal
Clone # #REF!
Isotype IgG
Concentration 1mg/ml
Purification Purified by Protein A.
Storage Buffer 0.01M TBS(pH7.4) with 1% BSA, 0.02% Proclin300 and 50% Glycerol.
Storage Condition Shipped at 4C. Store at -20C for one year. Avoid repeated freeze/thaw cycles.
Target
Gene ID 3018
Swiss Prot P33778
Subcellular location Nucleus
Synonyms H2BK16ac; Histone H2B (Acetyl Lys16); Acetyl Histone H2B (16); acetyl-Histone H2B (Lys16); Histone H2B/HIST1H2BD; H2B.1; H2B.1 B; H2B.b; H2B.c; H2B.d; H2B.e; H2B.f; H2B.j; H2B.q; H2BFB; H2BFC; H2BFD; H2BFE; H2BFF; H2BFJ; H2BFO; H2BFQ; H2BFS; HIRIP2; HIST1H2BB; HIST1H2BD; HIST1H2BH; HIST1H2BL; HIST1H2BM; HIST1H2BN; HIST2H2BE; Histone H2B; Histone H2B type 1 B; Histone H2B type 1 D; Histone H2B type 1 H; Histone H2B type 1 L; Histone H2B type 1 M; Histone H2B type 1 N; Histone H2B type 2 E; Histone protein; H2B GL105; H2B histone family member O; H2B histone family member S; histone H2B type 1-B; H2B1B_HUMAN.
Background Histones are basic nuclear proteins that are responsible for the nucleosome structure of the chromosomal fiber in eukaryotes. Nucleosomes consist of approximately 146 bp of DNA wrapped around a histone octamer composed of pairs of each of the four core histones (H2A, H2B, H3, and H4). The chromatin fiber is further compacted through the interaction of a linker histone, H1, with the DNA between the nucleosomes to form higher order chromatin structures. This gene is intronless and encodes a member of the histone H2B family. Transcripts from this gene lack polyA tails; instead, they contain a palindromic termination element. This gene is found in the large histone gene cluster on chromosome 6p22-p21.3. [provided by RefSeq, Jul 2008].
Application Dilution
WB =1:500-2000