Receive 30% off all Monoclonal IHC antibodies with code "MONO-IHC-30"! Offer valid for US customers and available internationally through distributors.

NARC1/PCSK9 Polyclonal Antibody

Applications

  • WB
  • ELISA
  • IHC-P
  • IHC-F
  • IF(IHC-P)
  • IF(IHC-F)
  • IF(ICC)

Reactivity

  • Human
  • Mouse
  • Rat
Overview
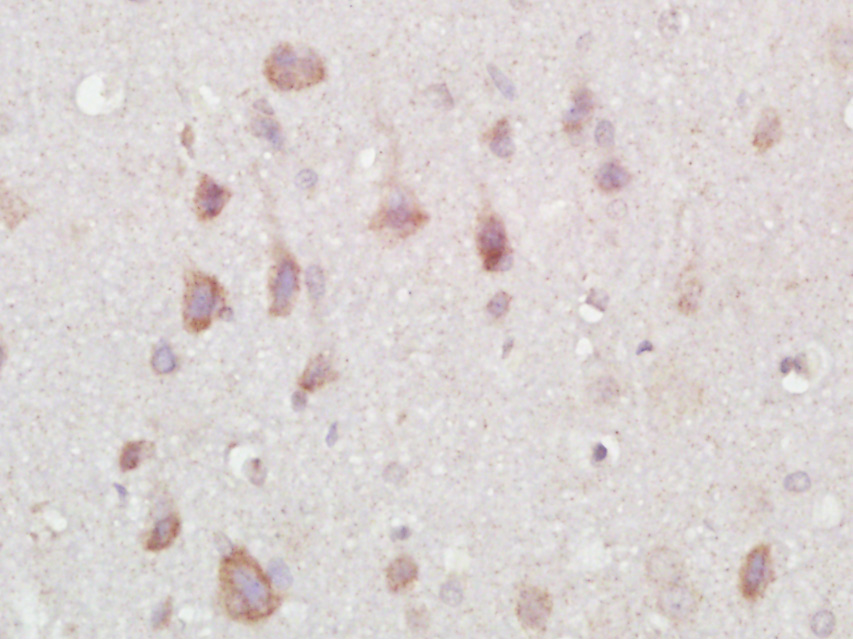
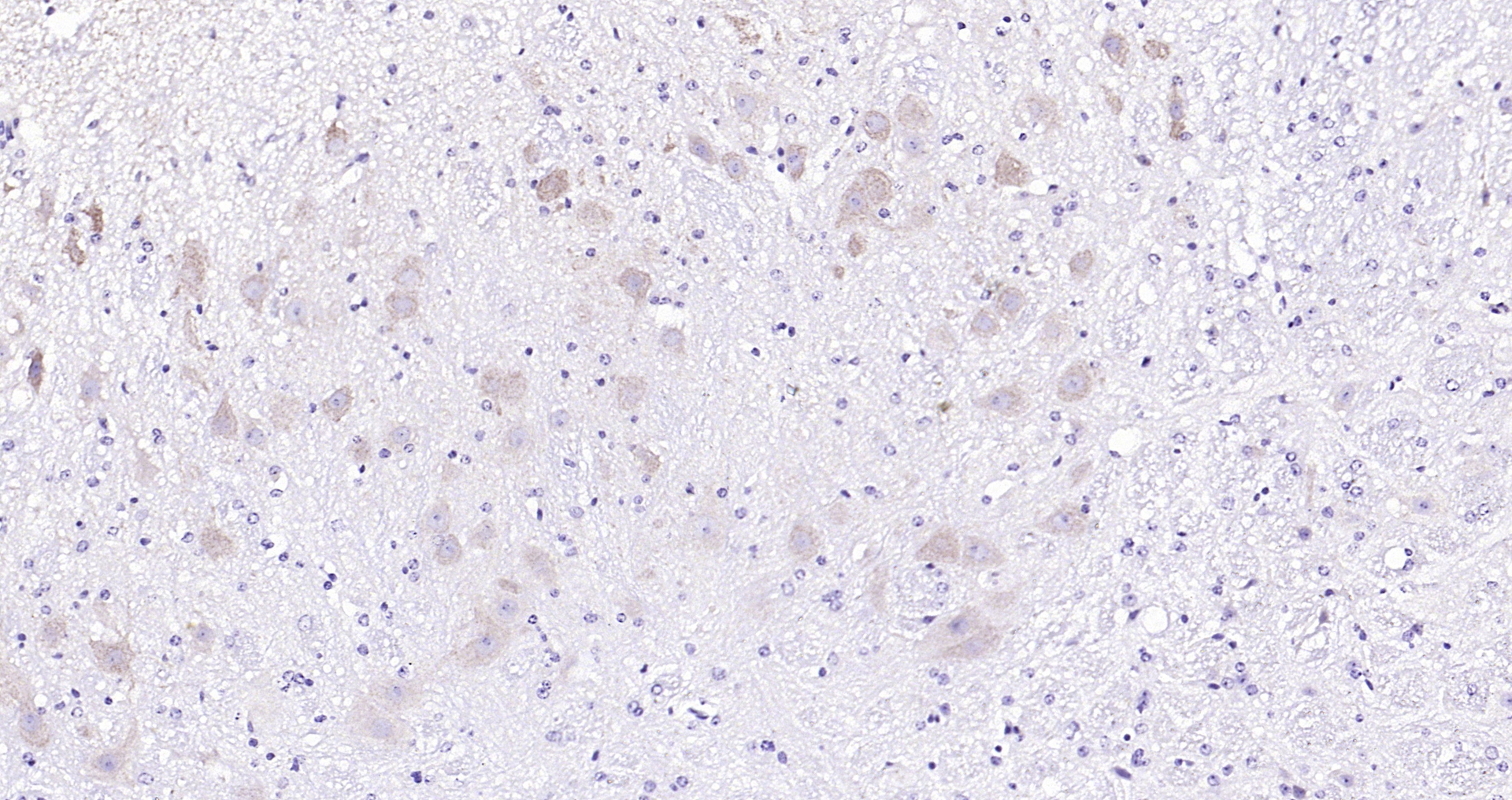
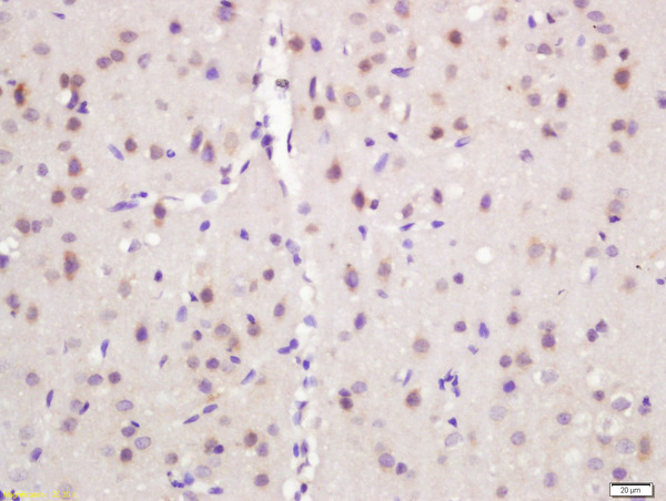
Catalog # bs-6060R
Product Name NARC1/PCSK9 Polyclonal Antibody
Applications WB, ELISA, IHC-P, IHC-F, IF(IHC-P), IF(IHC-F), IF(ICC)
Reactivity Human, Mouse, Rat
Specifications
Conjugation Unconjugated
Host Rabbit
Source KLH conjugated synthetic peptide derived from human PCSK9/NARC1
Clonality Polyclonal
Clone # #REF!
Isotype IgG
Concentration 1ug/ul
Purification Purified by Protein A.
Storage Buffer 0.01M TBS(pH7.4) with 1% BSA, 0.02% Proclin300 and 50% Glycerol.
Storage Condition Shipped at 4_. Store at -20_ for one year. Avoid repeated freeze/thaw cycles.
Target
Gene ID 255738
Swiss Prot Q8NBP7
Subcellular location Secreted
Synonyms FH3; PC9; NARC1; LDLCQ1; NARC-1; HCHOLA3; Proprotein convertase subtilisin/kexin type 9; Neural apoptosis-regulated convertase 1; Proprotein convertase 9; Subtilisin/kexin-like protease PC9; PCSK9; PSEC0052
Background Crucial player in the regulation of plasma cholesterol homeostasis. Binds to low-density lipid receptor family members: low density lipoprotein receptor (LDLR), very low density lipoprotein receptor (VLDLR), apolipoprotein E receptor (LRP1/APOER) and apolipoprotein receptor 2 (LRP8/APOER2), and promotes their degradation in intracellular acidic compartments (PubMed:18039658). Acts via a non-proteolytic mechanism to enhance the degradation of the hepatic LDLR through a clathrin LDLRAP1/ARH-mediated pathway. May prevent the recycling of LDLR from endosomes to the cell surface or direct it to lysosomes for degradation. Can induce ubiquitination of LDLR leading to its subsequent degradation (PubMed:18799458, PubMed:17461796, PubMed:18197702, PubMed:22074827). Inhibits intracellular degradation of APOB via the autophagosome/lysosome pathway in a LDLR-independent manner. Involved in the disposal of non-acetylated intermediates of BACE1 in the early secretory pathway (PubMed:18660751). Inhibits epithelial Na(+) channel (ENaC)-mediated Na(+) absorption by reducing ENaC surface expression primarily by increasing its proteasomal degradation. Regulates neuronal apoptosis via modulation of LRP8/APOER2 levels and related anti-apoptotic signaling pathways.
Application Dilution
WB 1:300-5000
ELISA 1:500-1000
IHC-P 1:200-400
IHC-F 1:100-500
IF(IHC-P) 1:50-200
IF(IHC-F) 1:50-200
IF(ICC) 1:50-200