Receive 30% off all Monoclonal IHC antibodies with code "MONO-IHC-30"! Offer valid for US customers and available internationally through distributors.

PHAP1 Polyclonal Antibody

Applications

  • WB
  • ELISA
  • IHC-P
  • IHC-F
  • IF(IHC-P)
  • IF(IHC-F)
  • IF(ICC)
  • IP

Reactivity

  • Human
  • Mouse
  • Rat

Predicted Reactivity

  • Dog
  • Cow
  • Pig
  • Horse
  • Rabbit
Overview
Catalog # bs-6083R
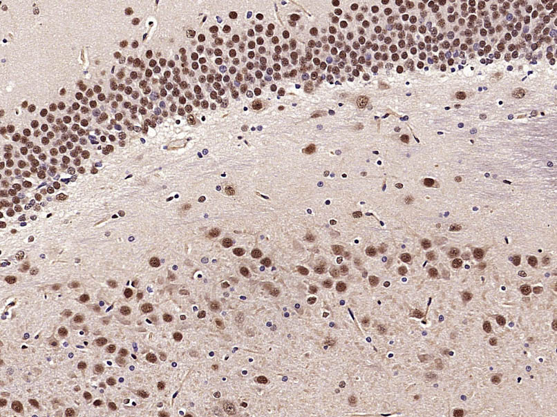
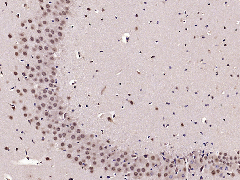
Product Name PHAP1 Polyclonal Antibody
Applications WB, ELISA, IHC-P, IHC-F, IF(IHC-P), IF(IHC-F), IF(ICC), IP
Specificity Will recognize Acidic leucine-rich nuclear phosphoprotein 32 family member C,D, and E
Reactivity Human, Mouse, Rat
Predicted Reactivity Dog, Cow, Pig, Horse, Rabbit
Specifications
Conjugation Unconjugated
Host Rabbit
Source KLH conjugated synthetic peptide derived from human PHAP1
Clonality Polyclonal
Clone # #REF!
Isotype IgG
Concentration 1ug/ul
Purification Purified by Protein A.
Storage Buffer 0.01M TBS(pH7.4) with 1% BSA, 0.02% Proclin300 and 50% Glycerol.
Storage Condition Shipped at 4_. Store at -20_ for one year. Avoid repeated freeze/thaw cycles.
Target
Gene ID 8125
Swiss Prot P39687
Subcellular location Cytoplasm, Nucleus
Synonyms Acidic leucine-rich nuclear phosphoprotein 32 family member A; Acidic nuclear phosphoprotein pp32; pp32; Leucine-rich acidic nuclear protein; LANP; Mapmodulin; Potent heat-stable protein phosphatase 2A inhibitor I1PP2A; Putative HLA-DR-associated protein I; PHAPI; ANP32A; C15orf1; MAPM; PHAP1
Background Implicated in a number of cellular processes, including proliferation, differentiation, caspase-dependent and caspase-independent apoptosis, suppression of transformation (tumor suppressor), inhibition of protein phosphatase 2A, regulation of mRNA trafficking and stability in association with ELAVL1, and inhibition of acetyltransferases as part of the INHAT (inhibitor of histone acetyltransferases) complex. Plays a role in E4F1-mediated transcriptional repression.
Application Dilution
WB 1:300-5000
ELISA 1:500-1000
IHC-P 1:200-400
IHC-F 1:100-500
IF(IHC-P) 1:50-200
IF(IHC-F) 1:50-200
IF(ICC) 1:50-200
IP 1-2ug