Receive 30% off all Monoclonal IHC antibodies with code "MONO-IHC-30"! Offer valid for US customers and available internationally through distributors.

CHCHD2 Polyclonal Antibody

Applications

  • WB
  • IHC-P
  • IHC-F

Reactivity

  • Mouse
  • GuineaPig

Predicted Reactivity

  • Human
  • Rat
  • Dog
  • Pig
  • Horse
  • Chicken
  • Rabbit
Overview
Catalog # bs-6407R
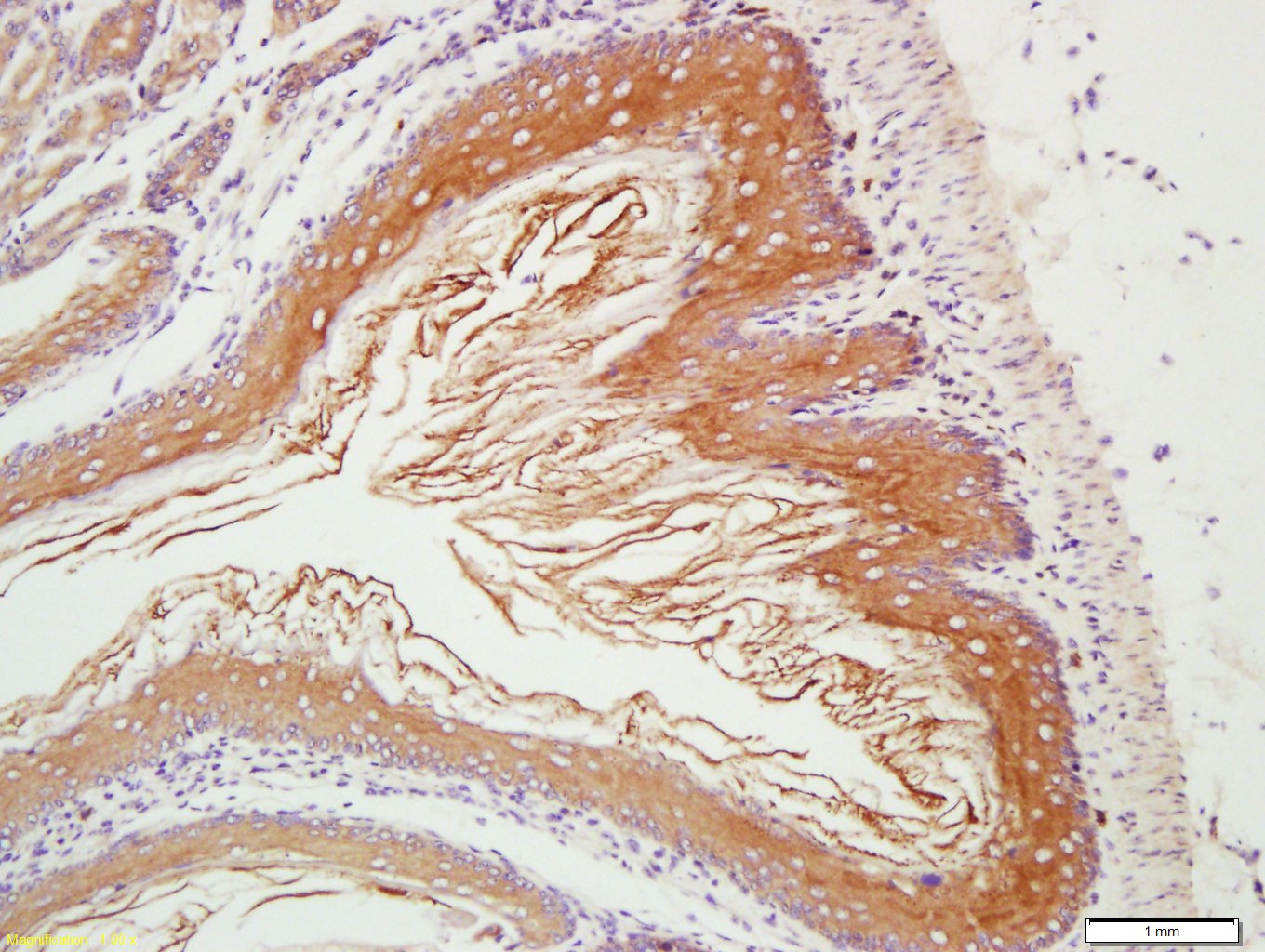
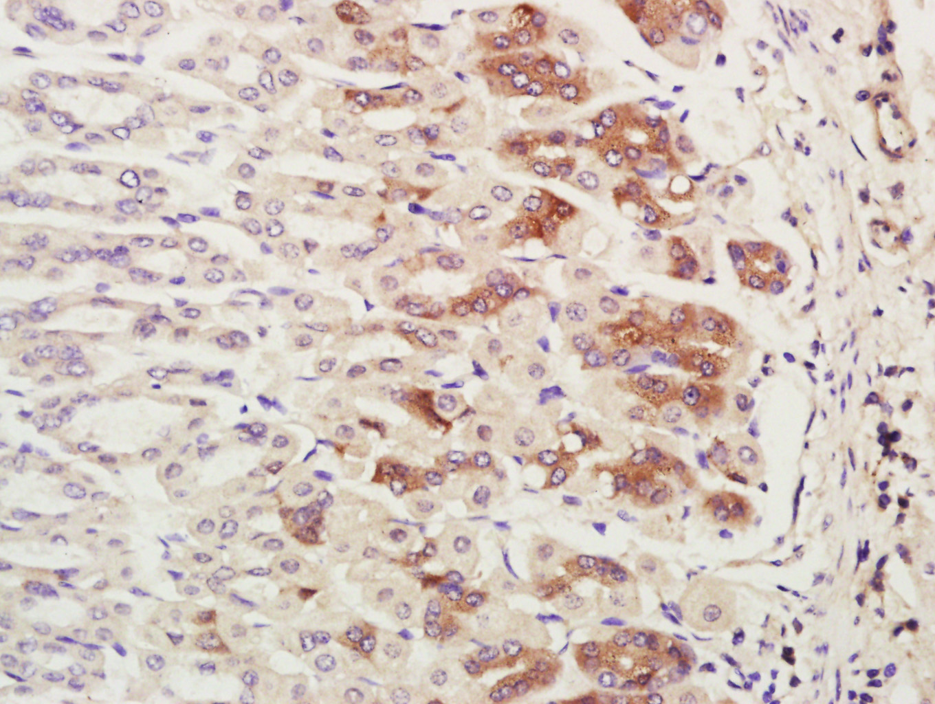
Product Name CHCHD2 Polyclonal Antibody
Applications WB, IHC-P, IHC-F
Reactivity Mouse, GuineaPig
Predicted Reactivity Human, Rat, Dog, Pig, Horse, Chicken, Rabbit
Specifications
Conjugation Unconjugated
Host Rabbit
Source KLH conjugated synthetic peptide derived from human CHCHD2 (96-130aa)
Clonality Polyclonal
Clone # #REF!
Isotype IgG
Concentration 1ug/ul
Purification Purified by Protein A.
Storage Buffer 0.01M TBS(pH7.4) with 1% BSA, 0.02% Proclin300 and 50% Glycerol.
Storage Condition Shipped at 4C. Store at -20C for one year. Avoid repeated freeze/thaw cycles.
Target
Gene ID 51142
Subcellular location Cytoplasm
Synonyms mitochondrial; 16.7kD protein; Aging Associated Gene 10 Protein; Aging-associated gene 10 protein; C7orf17; CHCH2_HUMAN; CHCHD 2; CHCHD2; Coiled Coil Helix Coiled Coil Helix Domain Containing 2; Coiled coil helix coiled coil helix domain containing protein 2, mitochondrial; Coiled-coil-helix-coiled-coil-helix domain-containing protein 2; HCV NS2 trans regulated protein; HCV NS2 trans-regulated protein; NS2TP.
Background CHCHD2
Application Dilution
WB 1:300-5000
IHC-P 1:200-400
IHC-F 1:100-500