Receive 30% off all Monoclonal IHC antibodies with code "MONO-IHC-30"! Offer valid for US customers and available internationally through distributors.

NFATC4 Polyclonal Antibody

Applications

  • WB
  • IHC-P
  • IF(IHC-P)

Reactivity

  • Mouse
  • Rat

Predicted Reactivity

  • Human
  • Dog
  • Cow
  • Sheep
  • Pig
  • Horse
Overview
Catalog # bs-6461R
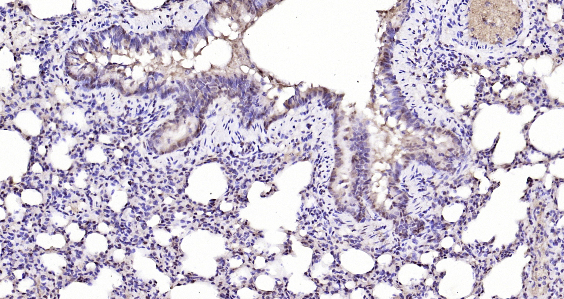
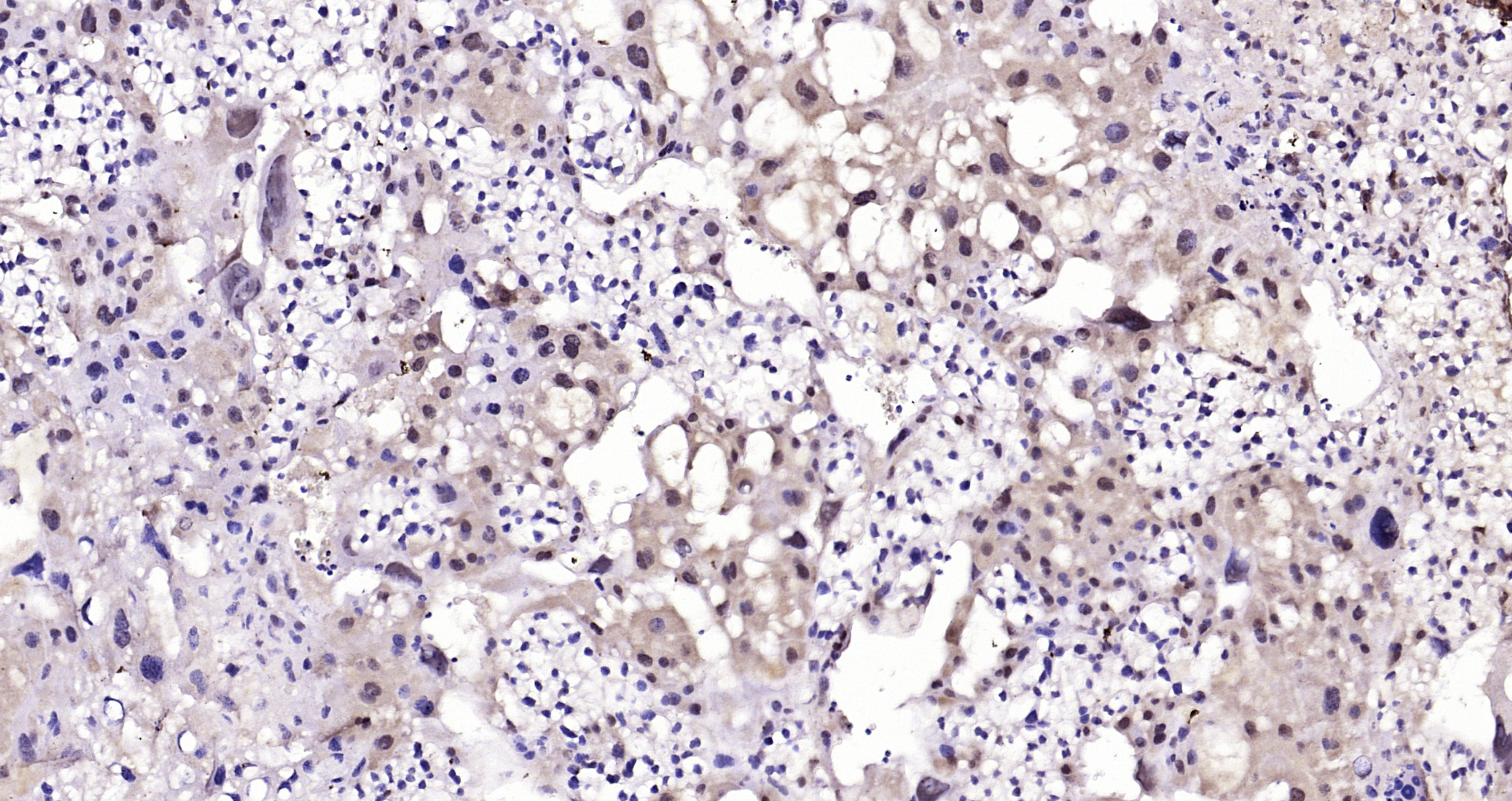
Product Name NFATC4 Polyclonal Antibody
Applications WB, IHC-P, IF(IHC-P)
Reactivity Mouse, Rat
Predicted Reactivity Human, Dog, Cow, Sheep, Pig, Horse
Specifications
Conjugation Unconjugated
Host Rabbit
Source KLH conjugated synthetic peptide derived from human NF-ATc4
Clonality Polyclonal
Clone # #REF!
Isotype IgG
Concentration 1ug/ul
Purification Purified by Protein A.
Storage Buffer 0.01M TBS(pH7.4) with 1% BSA, 0.02% Proclin300 and 50% Glycerol.
Storage Condition Shipped at 4_. Store at -20_ for one year. Avoid repeated freeze/thaw cycles.
Target
Gene ID 4776
Swiss Prot Q14934
Subcellular location Cytoplasm, Nucleus
Synonyms NFAT3; NF-AT3; NF-ATC4; Nuclear factor of activated T-cells, cytoplasmic 4; NFATc4; T-cell transcription factor NFAT3
Background Plays a role in the inducible expression of cytokine genes in T-cells, especially in the induction of the IL-2 and IL-4. Transcriptionally repressed by estrogen receptors; this inhibition is further enhanced by estrogen. Increases the transcriptional activity of PPARG and has a direct role in adipocyte differentiation. May play an important role in myotube differentiation. May play a critical role in cardiac development and hypertrophy. May play a role in deafferentation-induced apoptosis of sensory neurons.
Application Dilution
WB 1:300-5000
IHC-P 1:200-400
IF(IHC-P) 1:50-200