Receive 30% off all Monoclonal IHC antibodies with code "MONO-IHC-30"! Offer valid for US customers and available internationally through distributors.

HMPH Polyclonal Antibody

Applications

  • WB
  • ELISA
  • IHC-P

Reactivity

  • Human

Predicted Reactivity

  • Mouse
  • Rat
  • Dog
  • Cow
  • Pig
  • Horse
  • Rabbit
Overview
Catalog # bs-6600R
Product Name HMPH Polyclonal Antibody
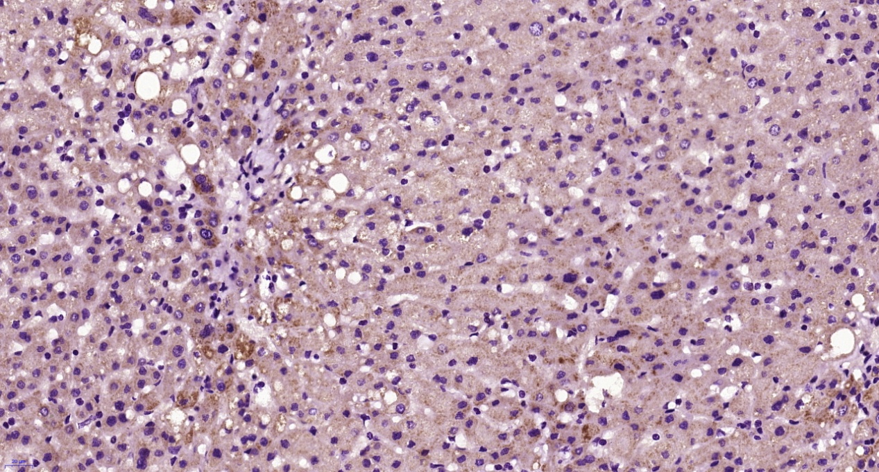
Applications WB, ELISA, IHC-P
Reactivity Human
Predicted Reactivity Mouse, Rat, Dog, Cow, Pig, Horse, Rabbit
Specifications
Conjugation Unconjugated
Host Rabbit
Source KLH conjugated synthetic peptide derived from human HHEX
Clonality Polyclonal
Clone # #REF!
Isotype IgG
Concentration 1ug/ul
Purification Purified by Protein A.
Storage Buffer 0.01M TBS(pH7.4) with 1% BSA, 0.02% Proclin300 and 50% Glycerol.
Storage Condition Shipped at 4_. Store at -20_ for one year. Avoid repeated freeze/thaw cycles.
Target
Gene ID 3087
Swiss Prot Q03014
Subcellular location Nucleus
Synonyms Hematopoietically expressed homeobox; Hematopoietically-expressed homeobox protein HHEX; HEX; HHEX; HHEX_HUMAN; HMPH; Homeobox protein HEX; Homeobox protein PRH; HOX11L PEN; PRH; PRHX.
Background Recognizes the DNA sequence 5'-ATTAA-3'. Transcriptional repressor. May play a role in hematopoietic differentiation. Establishes anterior identity at two levels; acts early to enhance canonical WNT-signaling by repressing expression of TLE4, and acts later to inhibit NODAL-signaling by directly targeting NODAL.
Application Dilution
WB 1:300-5000
ELISA 1:500-1000
IHC-P 1:200-400