Receive 30% off all Monoclonal IHC antibodies with code "MONO-IHC-30"! Offer valid for US customers and available internationally through distributors.

WNT7A Polyclonal Antibody

Applications

  • WB
  • ELISA

Reactivity

  • Human
  • Mouse
  • Rat
Overview
Catalog # bs-6645R
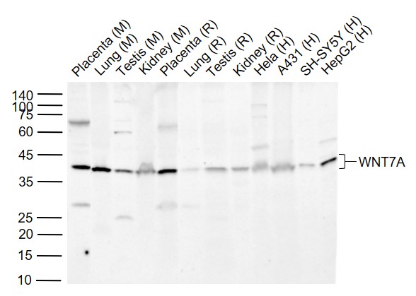
Product Name WNT7A Polyclonal Antibody
Applications WB, ELISA
Reactivity Human, Mouse, Rat
Specifications
Conjugation Unconjugated
Host Rabbit
Source KLH conjugated synthetic peptide derived from human WNT7A
Clonality Polyclonal
Clone # #REF!
Isotype IgG
Concentration 1ug/ul
Purification Purified by Protein A.
Storage Buffer 0.01M TBS(pH7.4) with 1% BSA, 0.02% Proclin300 and 50% Glycerol.
Storage Condition Shipped at 4C. Store at -20C for one year. Avoid repeated freeze/thaw cycles.
Target
Gene ID 7476
Swiss Prot O00755
Subcellular location Secreted, Extracellular matrix
Synonyms Protein Wnt-7a; WNT7A
Background Ligand for members of the frizzled family of seven transmembrane receptors. Probable developmental protein. Signaling by Wnt-7a allows sexually dimorphic development of the mullerian ducts (By similarity).
Application Dilution
WB 1:300-5000
ELISA 1:5000-10000