Receive 30% off all Monoclonal IHC antibodies with code "MONO-IHC-30"! Offer valid for US customers and available internationally through distributors.

SEMA4D Polyclonal Antibody

Applications

  • WB
  • ELISA
  • FCM
  • IHC-P

Reactivity

  • Human
  • Mouse

Predicted Reactivity

  • Rat
  • Dog
  • Cow
  • Pig
  • Horse
  • Rabbit
Overview
Catalog # bs-6965R
Product Name SEMA4D Polyclonal Antibody
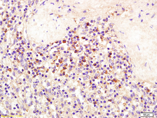
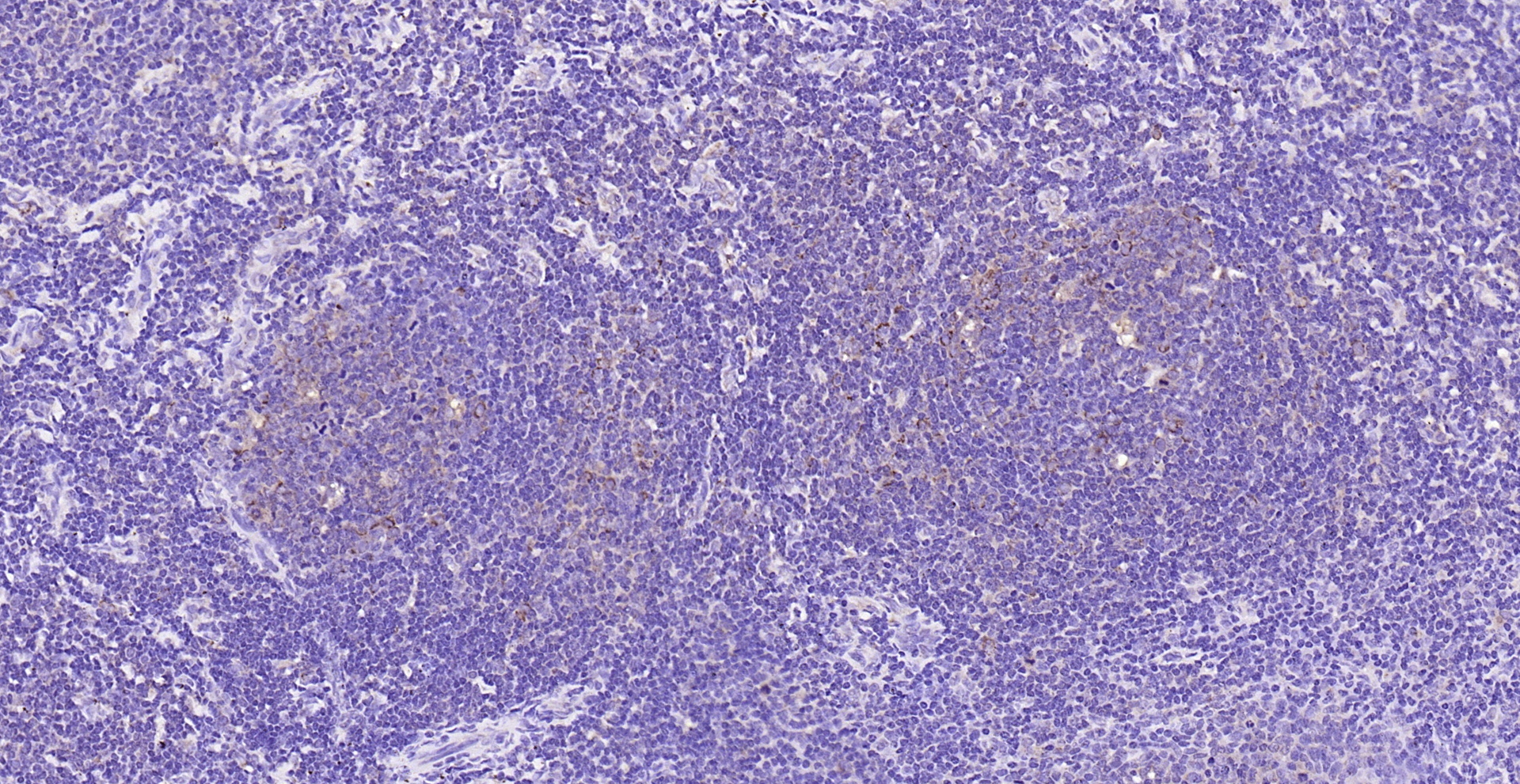
Applications WB, ELISA, FCM, IHC-P
Reactivity Human, Mouse
Predicted Reactivity Rat, Dog, Cow, Pig, Horse, Rabbit
Specifications
Conjugation Unconjugated
Host Rabbit
Source KLH conjugated synthetic peptide derived from human SEMA4D
Clonality Polyclonal
Clone # #REF!
Isotype IgG
Concentration 1ug/ul
Purification Purified by Protein A.
Storage Buffer 0.01M TBS(pH7.4) with 1% BSA, 0.02% Proclin300 and 50% Glycerol.
Storage Condition Shipped at 4C. Store at -20C for one year. Avoid repeated freeze/thaw cycles.
Target
Gene ID 10507
Swiss Prot Q92854
Subcellular location Cell membrane
Synonyms CD100; SEMAJ; coll-4; C9orf164; M-sema-G; Semaphorin-4D; A8; BB18; GR3; SEMA4D
Background Cell surface receptor for PLXN1B and PLXNB2 that plays an important role in cell-cell signaling. Promotes reorganization of the actin cytoskeleton and plays a role in axonal growth cone guidance in the developing central nervous system. Regulates dendrite and axon branching and morphogenesis. Promotes the migration of cerebellar granule cells and of endothelial cells. Plays a role in the immune system; induces B-cells to aggregate and improves their viability (in vitro). Promotes signaling via SRC and PTK2B/PYK2, which then mediates activation of phosphatidylinositol 3-kinase and of the AKT1 signaling cascade. Interaction with PLXNB1 mediates activation of RHOA.
Application Dilution
WB 1:300-5000
ELISA 1:500-1000
FCM 1:20-100
IHC-P 1:200-400