Receive 30% off all Monoclonal IHC antibodies with code "MONO-IHC-30"! Offer valid for US customers and available internationally through distributors.

OCIAD1 Polyclonal Antibody

Applications

  • WB
  • ELISA
  • IHC-P
  • IHC-F
  • IF(IHC-P)
  • IF(IHC-F)
  • IF(ICC)

Reactivity

  • Mouse
  • Rat

Predicted Reactivity

  • Human
Overview
Catalog # bs-7001R
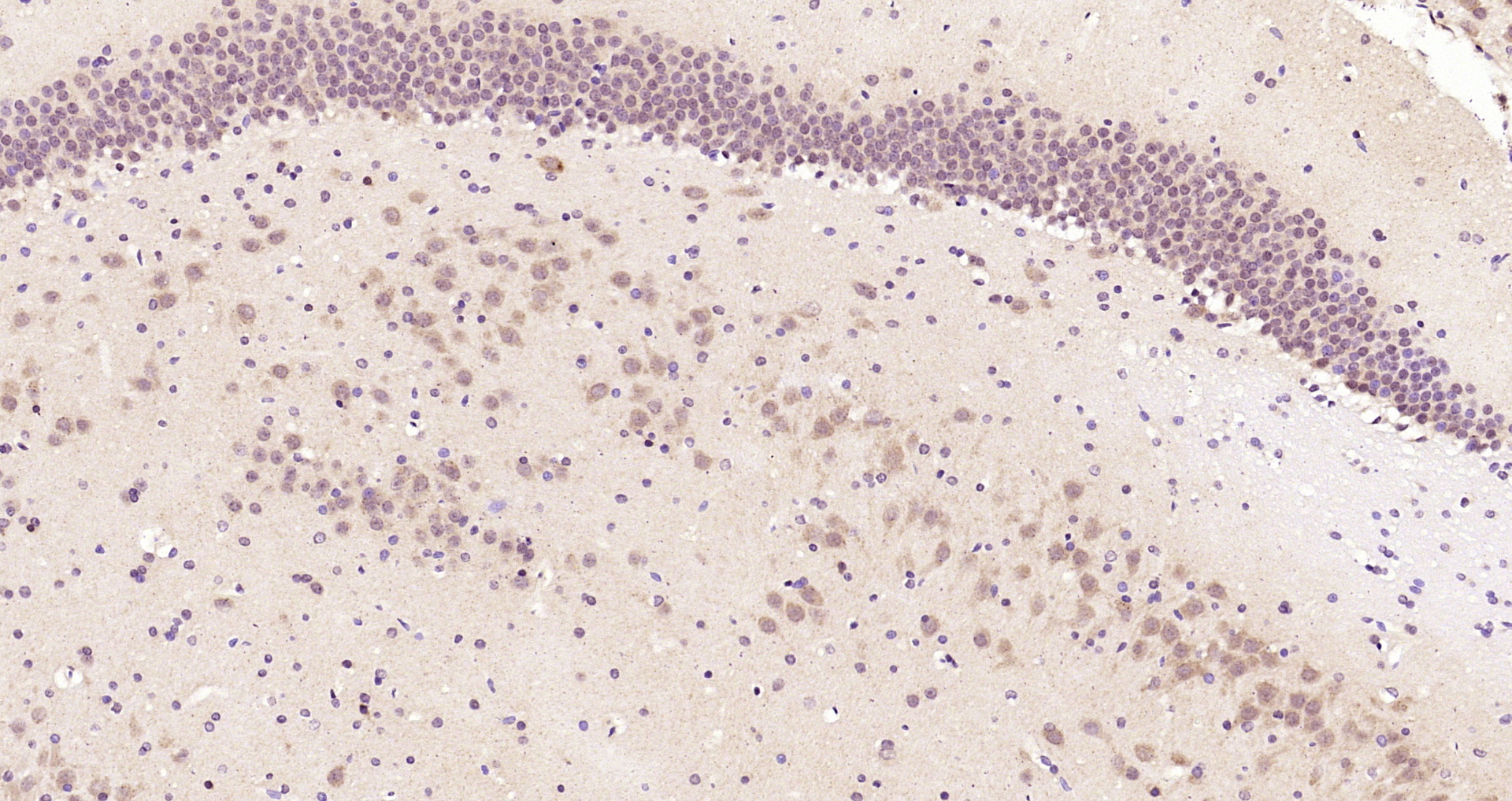
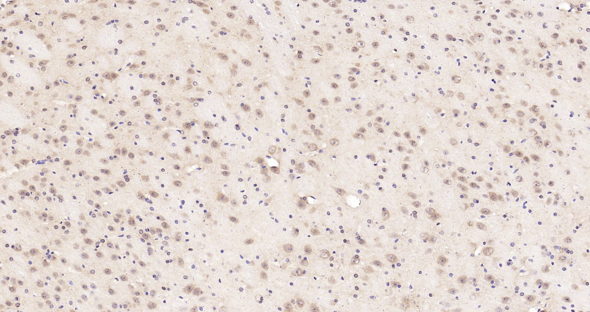
Product Name OCIAD1 Polyclonal Antibody
Applications WB, ELISA, IHC-P, IHC-F, IF(IHC-P), IF(IHC-F), IF(ICC)
Reactivity Mouse, Rat
Predicted Reactivity Human
Specifications
Conjugation Unconjugated
Host Rabbit
Source KLH conjugated synthetic peptide derived from human OCIAD1
Clonality Polyclonal
Clone # #REF!
Isotype IgG
Concentration 1ug/ul
Purification Purified by Protein A.
Storage Buffer 0.01M TBS(pH7.4) with 1% BSA, 0.02% Proclin300 and 50% Glycerol.
Storage Condition Shipped at 4C. Store at -20C for one year. Avoid repeated freeze/thaw cycles.
Target
Gene ID 54940
Swiss Prot Q9NX40
Subcellular location Cytoplasm
Synonyms Asrij; OCAD1_HUMAN; OCIA; OCIA domain containing 1; OCIA domain-containing protein 1; OCIAD1; Ovarian carcinoma immunoreactive antigen; TPA018.
Background Tissue specificity; Isoform 1 is highly expressed in many tissues, including testis, brain, placenta, ovary, prostate and mammary gland. Isoform 2 expression is restricted to the central nervous system including brain, cerebellum and spinal cord.
Application Dilution
WB 1:300-5000
ELISA 1:500-1000
IHC-P 1:200-400
IHC-F 1:100-500
IF(IHC-P) 1:50-200
IF(IHC-F) 1:50-200
IF(ICC) 1:50-200