Receive 30% off all Monoclonal IHC antibodies with code "MONO-IHC-30"! Offer valid for US customers and available internationally through distributors.

CD200R Polyclonal Antibody

Applications

  • WB
  • ELISA
  • FCM
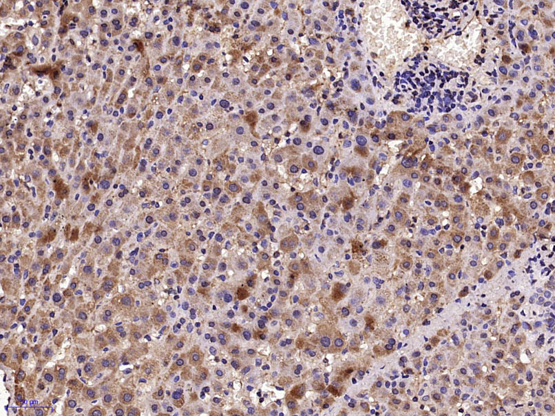
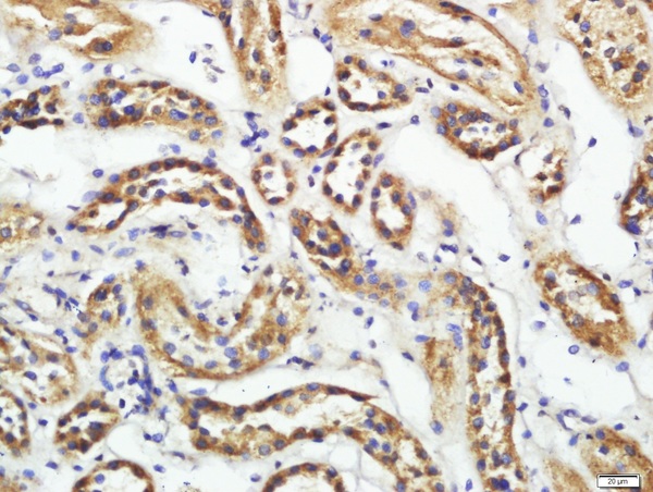
  • IHC-P
  • IHC-F
  • IF(IHC-P)
  • IF(IHC-F)
  • IF(ICC)

Reactivity

  • Human
Overview
Catalog # bs-7351R
Product Name CD200R Polyclonal Antibody
Applications WB, ELISA, FCM, IHC-P, IHC-F, IF(IHC-P), IF(IHC-F), IF(ICC)
Reactivity Human
Specifications
Conjugation Unconjugated
Host Rabbit
Source KLH conjugated synthetic peptide derived from human CD200R2
Clonality Polyclonal
Clone # #REF!
Isotype IgG
Concentration 1ug/ul
Purification Purified by Protein A.
Storage Buffer 0.01M TBS(pH7.4) with 1% BSA, 0.02% Proclin300 and 50% Glycerol.
Storage Condition Shipped at 4_. Store at -20_ for one year. Avoid repeated freeze/thaw cycles.
Target
Gene ID 344807
Swiss Prot Q6Q8B3
Subcellular location Cell membrane
Synonyms CD200R2; CD200RLa; Cell surface glycoprotein CD200 receptor 2; CD200 cell surface glycoprotein receptor-like 2; CD200 receptor-like 2; HuCD200R2; CD200 cell surface glycoprotein receptor-like a; Cell surface glycoprotein CD200 receptor 1-like; Cell surface glycoprotein OX2 receptor 2; CD200R1L
Background May be a receptor for the CD200/OX2 cell surface glycoprotein.
Application Dilution
WB 1:300-5000
ELISA 1:500-1000
FCM 1:20-100
IHC-P 1:200-400
IHC-F 1:100-500
IF(IHC-P) 1:50-200
IF(IHC-F) 1:50-200
IF(ICC) 1:50-200