Receive 30% off all Monoclonal IHC antibodies with code "MONO-IHC-30"! Offer valid for US customers and available internationally through distributors.

ZHX2 Polyclonal Antibody

Applications

  • WB
  • ELISA
  • IHC-P
  • IHC-F
  • IF(IHC-P)
  • IF(IHC-F)
  • IF(ICC)

Reactivity

  • Human
  • Rat

Predicted Reactivity

  • Mouse
  • Dog
  • Cow
  • Pig
  • Horse
  • Chicken
Overview
Catalog # bs-7581R
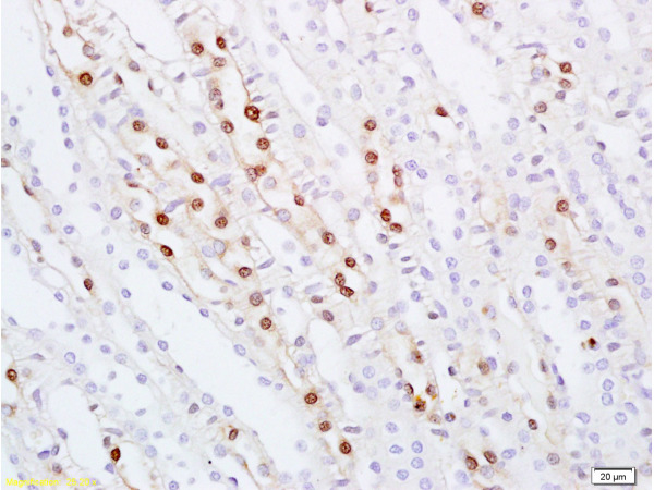
Product Name ZHX2 Polyclonal Antibody
Applications WB, ELISA, IHC-P, IHC-F, IF(IHC-P), IF(IHC-F), IF(ICC)
Specificity May have slight cross reactivity with ZHX1 and ZHX3 due to 70% sequence similarity.
Reactivity Human, Rat
Predicted Reactivity Mouse, Dog, Cow, Pig, Horse, Chicken
Specifications
Conjugation Unconjugated
Host Rabbit
Source KLH conjugated synthetic peptide derived from human ZHX2
Clonality Polyclonal
Clone # #REF!
Isotype IgG
Concentration 1ug/ul
Purification Purified by Protein A.
Storage Buffer 0.01M TBS(pH7.4) with 1% BSA, 0.02% Proclin300 and 50% Glycerol.
Storage Condition Shipped at 4C. Store at -20C for one year. Avoid repeated freeze/thaw cycles.
Target
Gene ID 22882
Swiss Prot Q9Y6X8
Subcellular location Nucleus
Synonyms RAF; AFR1; Zinc fingers and homeoboxes protein 2; Alpha-fetoprotein regulator 1; AFP regulator 1; Regulator of AFP; Zinc finger and homeodomain protein 2; ZHX2; KIAA0854
Background Acts as a transcriptional repressor. Represses the promoter activity of the CDC25C gene stimulated by NFYA.
Application Dilution
WB 1:300-5000
ELISA 1:500-1000
IHC-P 1:200-400
IHC-F 1:100-500
IF(IHC-P) 1:50-200
IF(IHC-F) 1:50-200
IF(ICC) 1:50-200