Receive 30% off all Monoclonal IHC antibodies with code "MONO-IHC-30"! Offer valid for US customers and available internationally through distributors.

DNase II Polyclonal Antibody

Applications

  • ELISA
  • IHC-P
  • IF(IHC-P)
  • IF(IHC-F)
  • IF(ICC)

Reactivity

  • Human
  • Mouse
  • Rat

Predicted Reactivity

  • Dog
  • Cow
  • Sheep
  • Pig
  • Horse
  • Rabbit
Overview
Catalog # bs-7652R
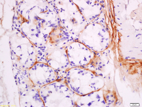
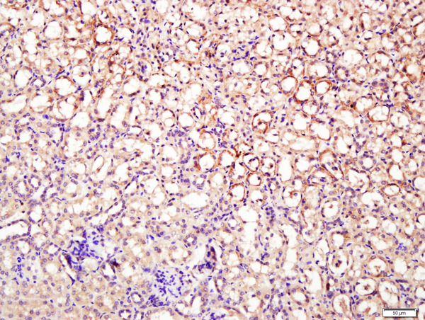
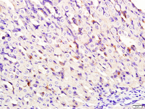
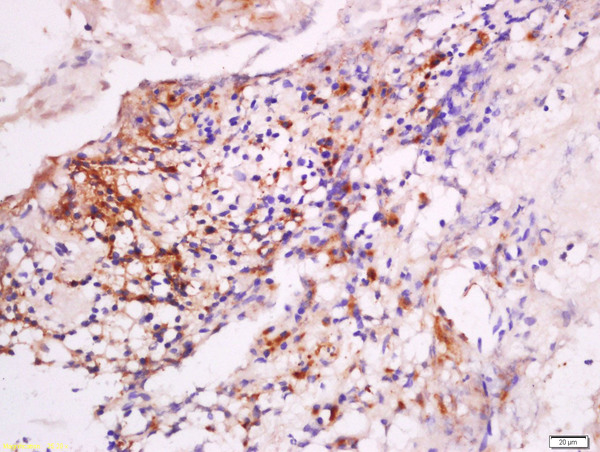
Product Name DNase II Polyclonal Antibody
Applications ELISA, IHC-P, IF(IHC-P), IF(IHC-F), IF(ICC)
Reactivity Human, Mouse, Rat
Predicted Reactivity Dog, Cow, Sheep, Pig, Horse, Rabbit
Specifications
Conjugation Unconjugated
Host Rabbit
Source KLH conjugated synthetic peptide derived from human DNase II alpha
Clonality Polyclonal
Clone # #REF!
Isotype IgG
Concentration 1ug/ul
Purification Purified by Protein A.
Storage Buffer 0.01M TBS(pH7.4) with 1% BSA, 0.02% Proclin300 and 50% Glycerol.
Storage Condition Shipped at 4_. Store at -20_ for one year. Avoid repeated freeze/thaw cycles.
Target
Gene ID 1777
Swiss Prot O00115
Subcellular location Cytoplasm
Synonyms DNL; DNL2; DNASE2A; Deoxyribonuclease-2-alpha; Acid DNase; Deoxyribonuclease II alpha; DNase II alpha; Lysosomal DNase II; R31240_2; DNASE2
Background Hydrolyzes DNA under acidic conditions with a preference for double-stranded DNA. Plays a major role in the degradation of nuclear DNA in cellular apoptosis during development. Necessary for proper fetal development and for definitive erythropoiesis in fetal liver, where it degrades nuclear DNA expelled from erythroid precursor cells.
Application Dilution
ELISA 1:500-1000
IHC-P 1:200-400
IF(IHC-P) 1:50-200
IF(IHC-F) 1:50-200
IF(ICC) 1:50-200