Receive 30% off all Monoclonal IHC antibodies with code "MONO-IHC-30"! Offer valid for US customers and available internationally through distributors.

Retinoic acid induced 17 Antibody

Applications

  • WB
  • ELISA
  • FCM
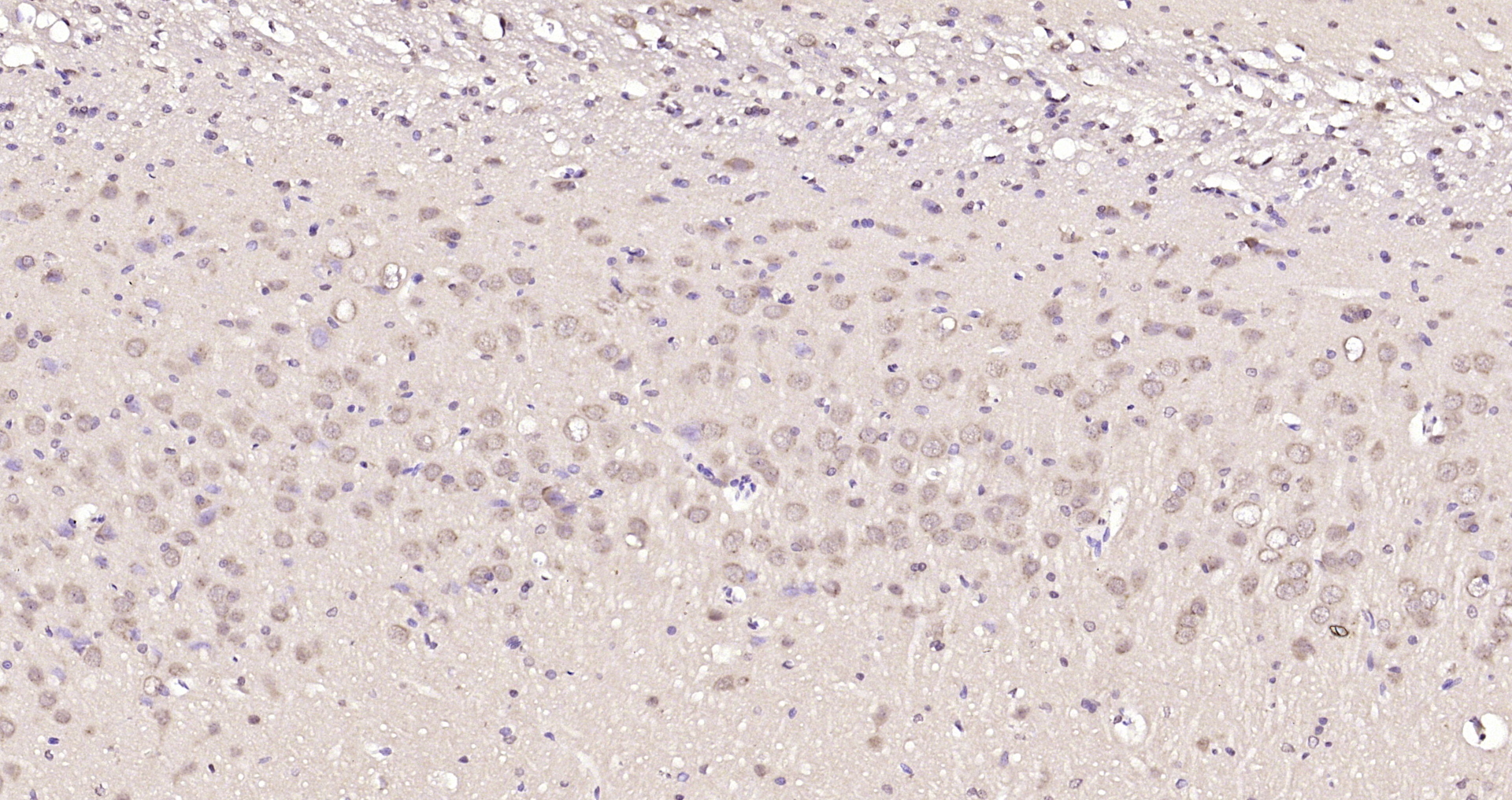
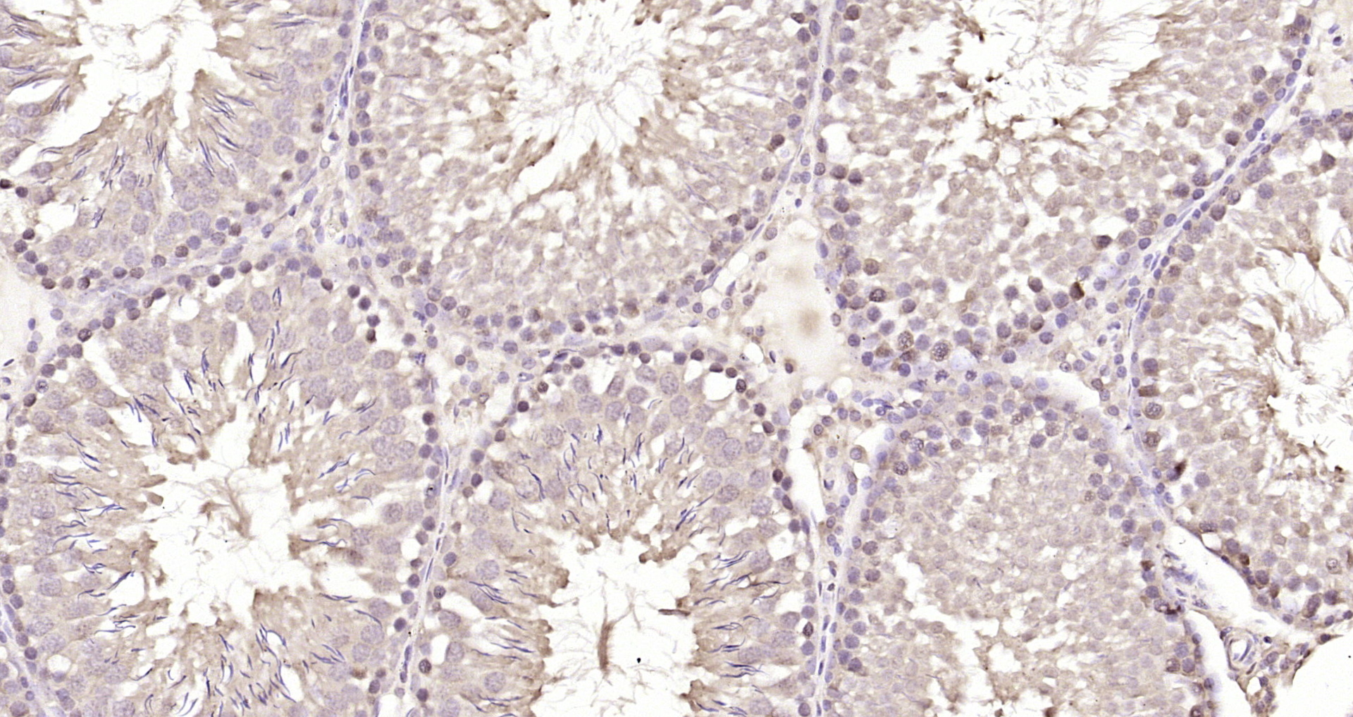
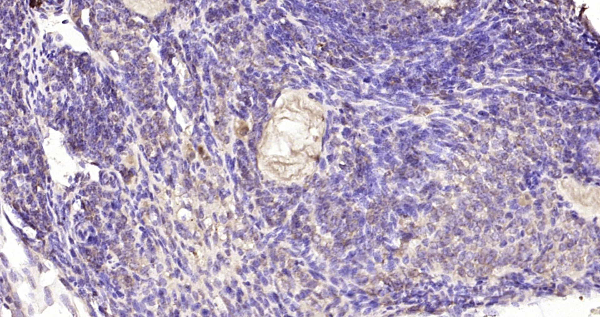
  • IHC-P
  • IHC-F
  • IF(IHC-P)
  • IF(IHC-F)
  • IF(ICC)

Reactivity

  • Human
  • Mouse
  • Rat

Predicted Reactivity

  • Dog
  • Cow
  • Sheep
  • Pig
  • Horse
  • Chicken
Overview
Catalog # bs-7709R
Product Name Retinoic acid induced 17 Antibody
Applications WB, ELISA, FCM, IHC-P, IHC-F, IF(IHC-P), IF(IHC-F), IF(ICC)
Reactivity Human, Mouse, Rat
Predicted Reactivity Dog, Cow, Sheep, Pig, Horse, Chicken
Specifications
Conjugation Unconjugated
Host Rabbit
Source KLH conjugated synthetic peptide derived from human Retinoic acid induced 17
Clonality Polyclonal
Clone # #REF!
Isotype IgG
Concentration 1ug/ul
Purification Purified by Protein A.
Storage Buffer 0.01M TBS(pH7.4) with 1% BSA, 0.02% Proclin300 and 50% Glycerol.
Storage Condition Shipped at 4C. Store at -20C for one year. Avoid repeated freeze/thaw cycles.
Target
Gene ID 57178
Subcellular location Cytoplasm, Nucleus
Synonyms Zinc finger MIZ domain-containing protein 1; MIZ; PIAS like protein hZimp10; PIAS like protein on chromosome 10; PIAS like protein Zimp10; PIAS-like protein Zimp10; RAI 17; RAI17; RAI-17; Retinoic acid induced 17; Retinoic acid induced protein 17; Retinoic acid-induced protein 17; TRAFIP10; Zimp10; Zinc finger containing Miz1 PIAS like protein on chromosome 10; Zinc finger MIZ domain-containing protein 1; Zinc finger MIZ-type containing 1; Zmiz1; ZMIZ1_HUMAN; hZIMP10; KIAA1224.
Background Increases ligand-dependent transcriptional activity of AR and promotes AR sumoylation. The stimulation of AR activity is dependent upon sumoylation.Tissue specificity:Expressed most abundantly in ovary and, at lower levels, in prostate, spleen and testis. Weak expression, if any, in thymus, small intestine, colon and peripheral blood leukocytes.
Application Dilution
WB 1:300-5000
ELISA 1:500-1000
FCM 1:20-100
IHC-P 1:200-400
IHC-F 1:100-500
IF(IHC-P) 1:50-200
IF(IHC-F) 1:50-200
IF(ICC) 1:50-200