Receive 30% off all Monoclonal IHC antibodies with code "MONO-IHC-30"! Offer valid for US customers and available internationally through distributors.

CCDC80 Polyclonal Antibody

Applications

  • WB
  • ELISA
  • IHC-P
  • IHC-F
  • IF(IHC-P)
  • IF(IHC-F)
  • IF(ICC)

Reactivity

  • Mouse
  • Rat

Predicted Reactivity

  • Human
  • Cow
  • Sheep
  • Pig
  • Horse
  • Chicken
  • Rabbit
Overview
Catalog # bs-7992R
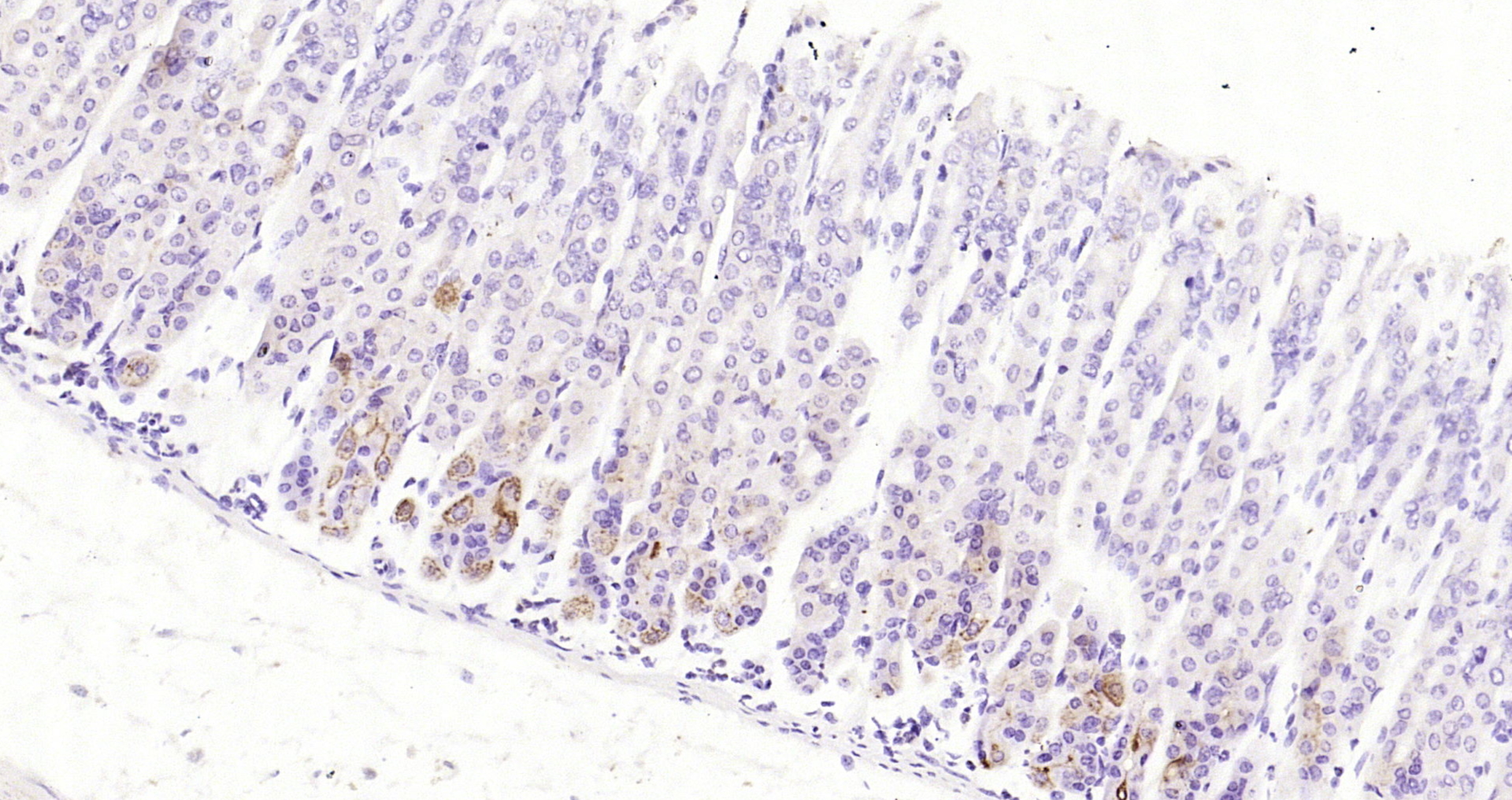
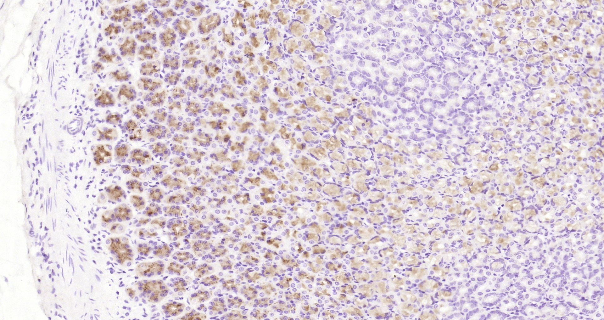
Product Name CCDC80 Polyclonal Antibody
Applications WB, ELISA, IHC-P, IHC-F, IF(IHC-P), IF(IHC-F), IF(ICC)
Reactivity Mouse, Rat
Predicted Reactivity Human, Cow, Sheep, Pig, Horse, Chicken, Rabbit
Specifications
Conjugation Unconjugated
Host Rabbit
Source KLH conjugated synthetic peptide derived from human CCDC80
Clonality Polyclonal
Clone # #REF!
Isotype IgG
Concentration 1ug/ul
Purification Purified by Protein A.
Storage Buffer 0.01M TBS(pH7.4) with 1% BSA, 0.02% Proclin300 and 50% Glycerol.
Storage Condition Shipped at 4C. Store at -20C for one year. Avoid repeated freeze/thaw cycles.
Target
Gene ID 151887
Subcellular location Secreted, Extracellular matrix
Synonyms DRO1; okuribin; SSG1; steroid sensitive gene 1; steroid sensitive protein 1; CCD50; CCD80_HUMAN; CCDC80; CL2; Coiled coil domain containing 80; Coiled coil domain containing protein 50; Coiled-coil domain-containing protein 80; Down regulated by oncogenes protein 1; Down-regulated by oncogenes protein 1; Nuclear envelope protein okuribin; Protein Ymer; Up-regulated in BRS-3 deficient mouse homolog; URB.
Background Promotes cell adhesion and matrix assembly.Tissue specificity: Expressed in dermal papilla and dermal fibroblasts (at protein level). Expressed in heart, thymus, placenta, pancreas, colon, epithelium, spleen and osteoblasts.
Application Dilution
WB 1:300-5000
ELISA 1:500-1000
IHC-P 1:200-400
IHC-F 1:100-500
IF(IHC-P) 1:50-200
IF(IHC-F) 1:50-200
IF(ICC) 1:50-200