Receive 30% off all Monoclonal IHC antibodies with code "MONO-IHC-30"! Offer valid for US customers and available internationally through distributors.

GPBAR1 Polyclonal Antibody

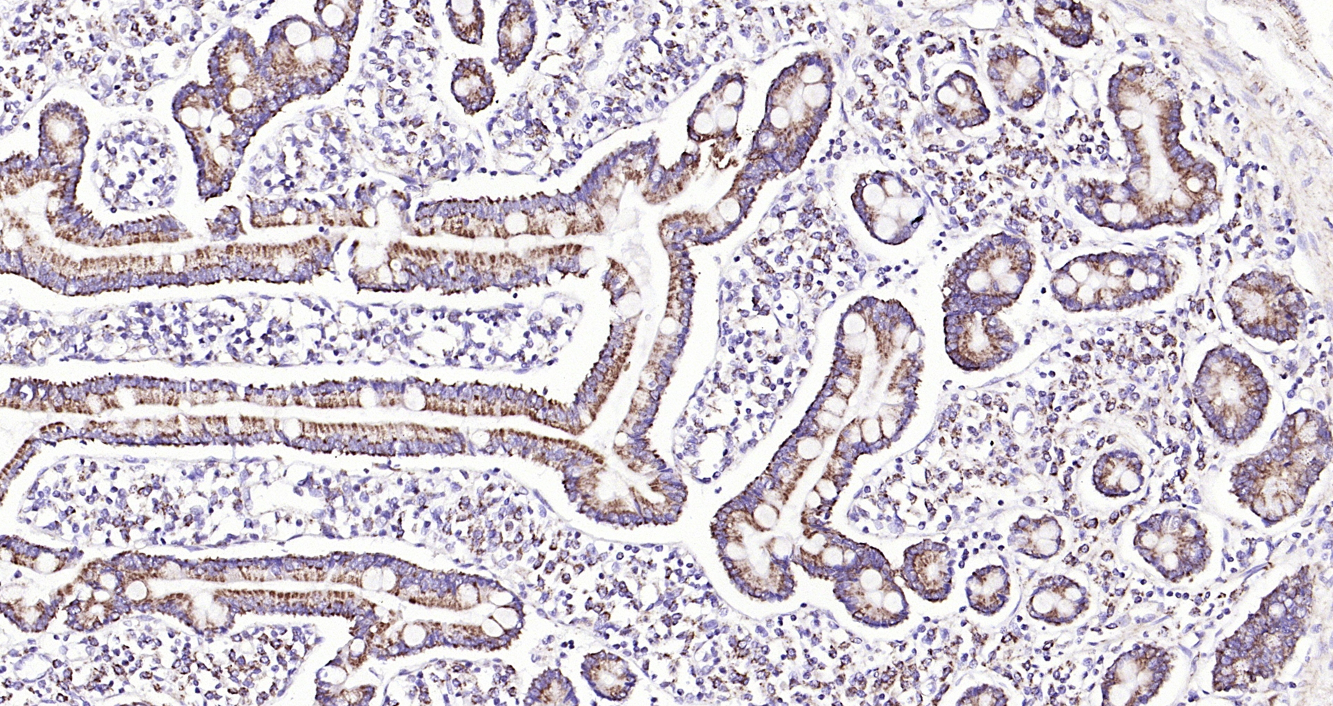
Applications

  • WB
  • IHC-P
  • IF(IHC-P)

Reactivity

  • Human
Overview
Catalog # bs-8874R
Product Name GPBAR1 Polyclonal Antibody
Applications WB, IHC-P, IF(IHC-P)
Reactivity Human
Specifications
Conjugation Unconjugated
Host Rabbit
Source KLH conjugated synthetic peptide derived from human GPBAR1
Clonality Polyclonal
Clone # #REF!
Isotype IgG
Concentration 1ug/ul
Purification Purified by Protein A.
Storage Buffer 0.01M TBS(pH7.4) with 1% BSA, 0.02% Proclin300 and 50% Glycerol.
Storage Condition Shipped at 4C. Store at -20C for one year. Avoid repeated freeze/thaw cycles.
Target
Gene ID 151306
Subcellular location Extracellular
Synonyms BG 37; BG37; G protein coupled bile acid receptor 1; G protein coupled bile acid receptor BG 37; G protein coupled bile acid receptor BG37; G-protein coupled bile acid receptor 1; G-protein coupled receptor GPCR19; GPBAR 1; GPBAR_HUMAN; GPBAR1; GPCR 19; GPCR; GPCR19; GPR 131; GPR131; hBG 37; hBG37; hGPCR 19; hGPCR19; M BAR; M-BAR; Membrane bile acid receptor; Membrane type receptor for bile acids; Membrane-type receptor for bile acids; MGC40597; TGR 5; TGR5.
Background The G protein-coupled receptor TGR5 is a 330-amino acid protein that is almost universally expressed in human tissues including heart, skeletal muscle, spleen, kidney, liver, small intestine, placenta, and leukocytes, but not in brain, colon (without mucosa), thymus, or lung. TGR5 is sensitive to bile acids and responds through a significant mechanism that coordinates energy homeostasis. Bile acids activate mitogen-activated protein (MAP) kinase pathways, specifically induce TGR5 internalization, promote an increase of guanosine 5'-O-3-thio-triphosphate binding in membrane fractions, and cause rapid intracellular cAMP production. Bile acids also provoke TGR5 to suppress macrophage functions. TGR5-controlled signaling pathways may be good candidates for drug targets to treat common metabolic diseases, such as obesity, type II diabetes, hyperlipidemia, and atherosclerosis.
Application Dilution
WB 1:300-5000
IHC-P 1:200-400
IF(IHC-P) 1:50-200