Receive 30% off all Monoclonal IHC antibodies with code "MONO-IHC-30"! Offer valid for US customers and available internationally through distributors.

GPS1 Polyclonal Antibody

Applications

  • WB
  • IHC-P
  • IF(IHC-P)

Reactivity

  • Mouse
  • Rat

Predicted Reactivity

  • Human
  • Dog
  • Cow
  • Chicken
Overview
Catalog # bs-9126R
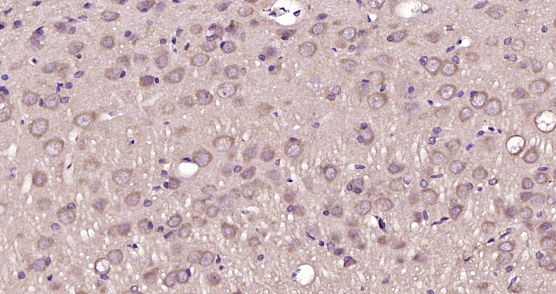
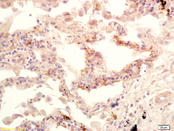
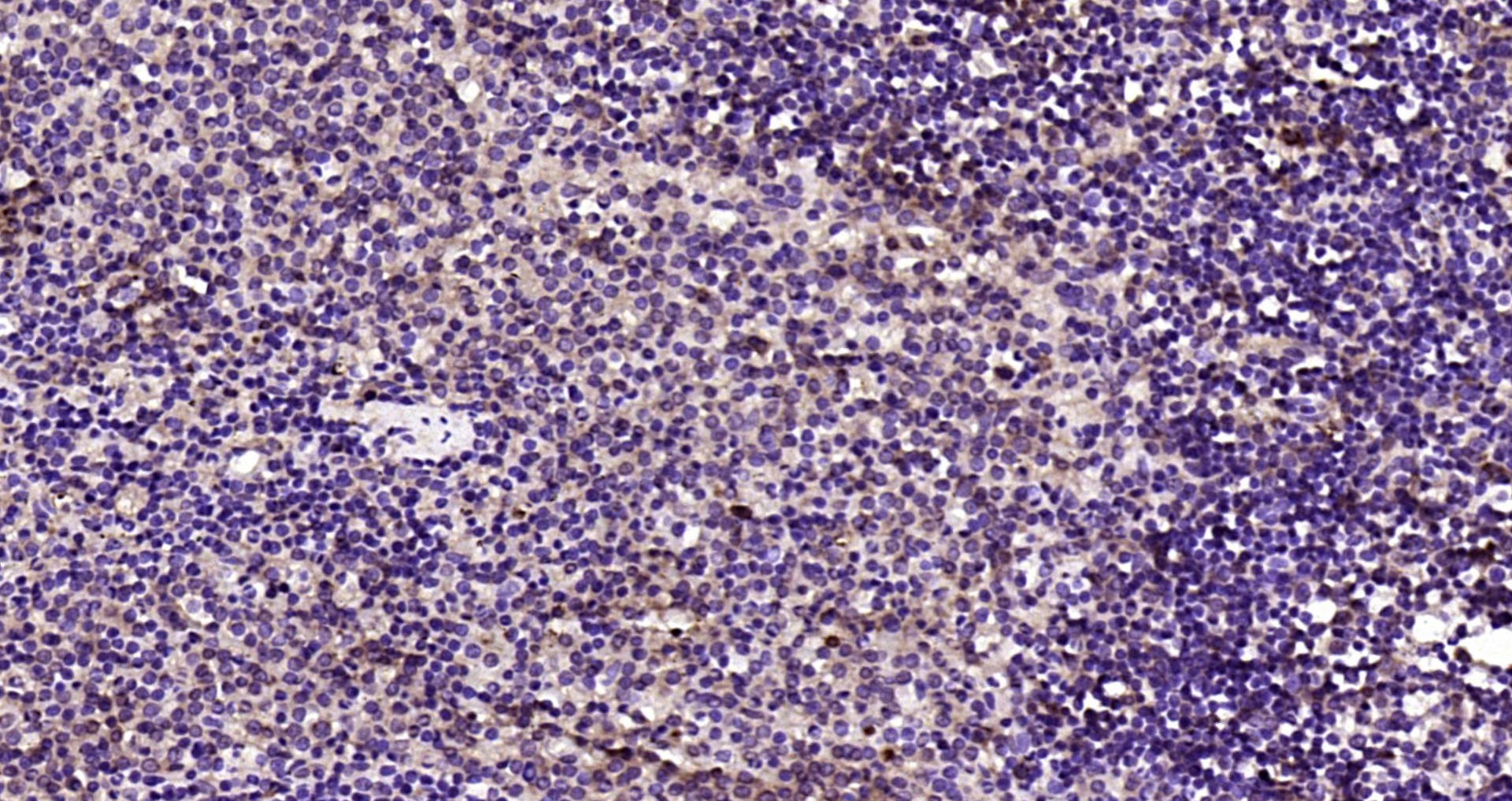
Product Name GPS1 Polyclonal Antibody
Applications WB, IHC-P, IF(IHC-P)
Reactivity Mouse, Rat
Predicted Reactivity Human, Dog, Cow, Chicken
Specifications
Conjugation Unconjugated
Host Rabbit
Source KLH conjugated synthetic peptide derived from human CSN1
Clonality Polyclonal
Clone # #REF!
Isotype IgG
Concentration 1ug/ul
Purification Purified by Protein A.
Storage Buffer 0.01M TBS(pH7.4) with 1% BSA, 0.02% Proclin300 and 50% Glycerol.
Storage Condition Shipped at 4_. Store at -20_ for one year. Avoid repeated freeze/thaw cycles.
Target
Gene ID 2873
Swiss Prot Q13098
Synonyms CSN1; COPS1; COP9 signalosome complex subunit 1; SGN1; Signalosome subunit 1; G protein pathway suppressor 1; GPS-1; JAB1-containing signalosome subunit 1; Protein MFH; GPS1
Background Essential component of the COP9 signalosome complex (CSN), a complex involved in various cellular and developmental processes. The CSN complex is an essential regulator of the ubiquitin (Ubl) conjugation pathway by mediating the deneddylation of the cullin subunits of SCF-type E3 ligase complexes, leading to decrease the Ubl ligase activity of SCF-type complexes such as SCF, CSA or DDB2. The complex is also involved in phosphorylation of p53/TP53, c-jun/JUN, IkappaBalpha/NFKBIA, ITPK1 and IRF8/ICSBP, possibly via its association with CK2 and PKD kinases. CSN-dependent phosphorylation of TP53 and JUN promotes and protects degradation by the Ubl system, respectively. Suppresses G-protein- and mitogen-activated protein kinase-mediated signal transduction.
Application Dilution
WB 1:300-5000
IHC-P 1:200-400
IF(IHC-P) 1:50-200