RECEIVE 25% OFF PUBLISHED ANTIBODIES WITH CODE "PUB25"! Offer valid for US customers and available internationally through distributors.

MTM1 Polyclonal Antibody

Applications

  • WB
  • FCM
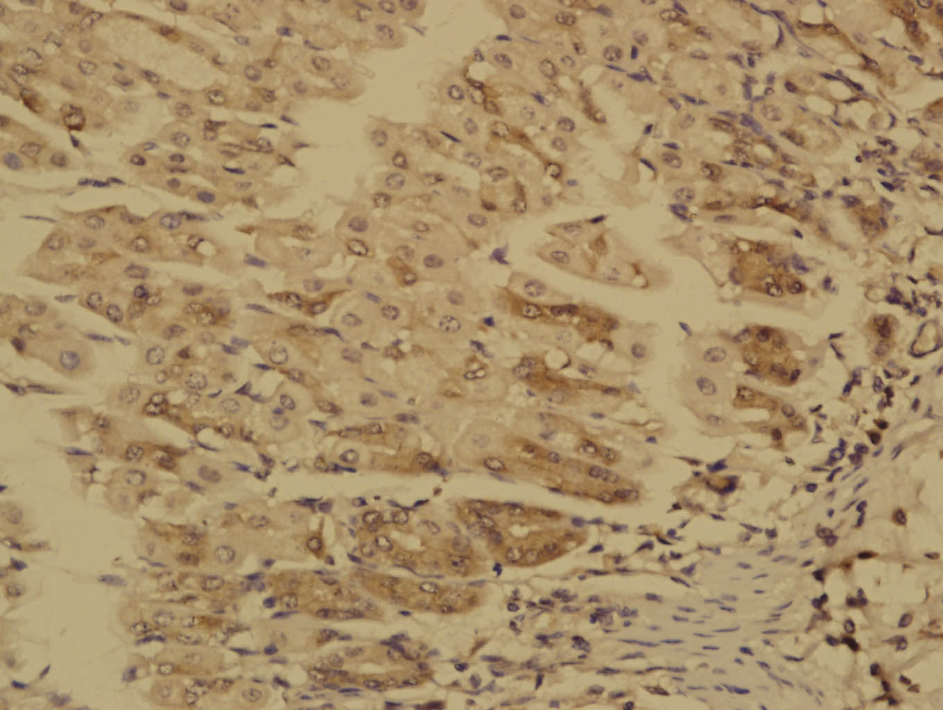
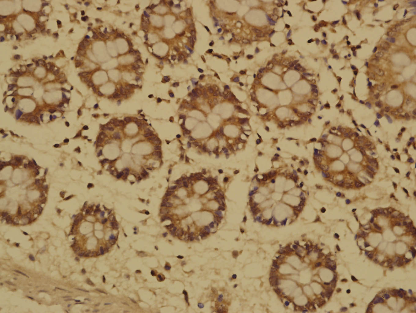
  • IHC-P
  • IF(IHC-P)

Reactivity

  • Mouse

Predicted Reactivity

  • Human
  • Rat
  • Dog
  • Pig
  • Rabbit
Overview
Catalog # bs-9178R
Product Name MTM1 Polyclonal Antibody
Applications WB, FCM, IHC-P, IF(IHC-P)
Reactivity Mouse
Predicted Reactivity Human, Rat, Dog, Pig, Rabbit
Specifications
Conjugation Unconjugated
Host Rabbit
Source KLH conjugated synthetic peptide derived from human MTM1/Myotubularin
Clonality Polyclonal
Clone # #REF!
Isotype IgG
Concentration 1ug/ul
Purification Purified by Protein A.
Storage Buffer 0.01M TBS(pH7.4) with 1% BSA, 0.02% Proclin300 and 50% Glycerol.
Storage Condition Shipped at 4C. Store at -20C for one year. Avoid repeated freeze/thaw cycles.
Target
Gene ID 4534
Swiss Prot Q13496
Synonyms CG2; CNM; KIAA4176; mKIAA4176; Mtm; Mtm1; MTM1_HUMAN; MTMX; Myotubular myopathy 1; Myotubularin; XLMTM.
Background X-linked recessive myotubular myopathy is a congenital muscular disease characterized by severe hypotonia and generalized muscle weakness that, in most cases, leads to early postnatal death. The gene responsible for myotubular myopathy MTM1 encodes a dual specificity phosphatase, named myotubularin, which is highly conserved through evolution. The gene for MTM1 is localized to a 300 kb critical region on human Xq128 between IDS and GRBRA3. Human MTM1, a 603 amino-acid protein, is mutated in myotubular myopathy. The largely related protein hMTMR2 is found mutated in a recessive form of Charcot-Marie-Tooth neuropathy. Myotubularin is primarily a lipid phosphatase that acts on phosphatidylinositol 3-monophosphate and is involved in the regulation of the phosphatidylinositol 3-kinase (PI3-kinase) pathway and membrane trafficking. Wild-type myotubularin can directly dephosphorylate PI3P and PI4P in vitro. Thus, it decreases PI3P levels by down-regulating PI3K activity and by facilitating the degradation of PI3P.
Application Dilution
WB 1:300-5000
FCM 1:20-100
IHC-P 1:200-400
IF(IHC-P) 1:50-200