Receive 30% off all Monoclonal IHC antibodies with code "MONO-IHC-30"! Offer valid for US customers and available internationally through distributors.

RNF123 Polyclonal Antibody

Applications

  • WB
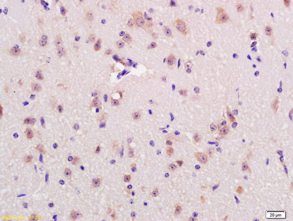
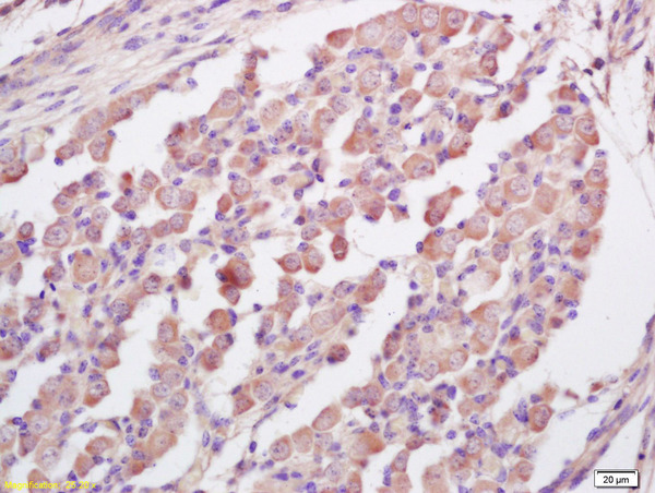
  • IHC-P
  • IHC-F
  • IF
  • Flow-Cyt

Reactivity

  • Human
  • Mouse
  • Rat
Overview
Catalog # bs-9249R
Product Name RNF123 Polyclonal Antibody
Applications WB, IHC-P, IHC-F, IF, Flow-Cyt
Reactivity Human, Mouse, Rat
Specifications
Conjugation Unconjugated
Host Rabbit
Source KLH conjugated synthetic peptide derived from human RNF123
Clonality Polyclonal
Clone # #REF!
Isotype IgG
Concentration 1ug/ul
Purification Purified by Protein A.
Storage Buffer 0.01M TBS(pH7.4) with 1% BSA, 0.02% Proclin300 and 50% Glycerol.
Storage Condition Shipped at 4C. Store at -20C for one year. Avoid repeated freeze/thaw cycles.
Target
Gene ID 63891
Swiss Prot Q5XPI4
Subcellular location Cytoplasm
Synonyms KPC1; FP1477; E3 ubiquitin-protein ligase RNF123; Kip1 ubiquitination-promoting complex protein 1; RING finger protein 123; RNF123
Background Catalytic subunit of the KPC complex that acts as E3 ubiquitin-protein ligase. Required for poly-ubiquitination and proteasome-mediated degradation of CDKN1B during G1 phase of the cell cycle.
Application Dilution
WB 1:300-5000
IHC-P 1:200-400
IHC-F IFIHC-P1:50-200
IF
Flow-Cyt