Receive 30% off all Monoclonal IHC antibodies with code "MONO-IHC-30"! Offer valid for US customers and available internationally through distributors.

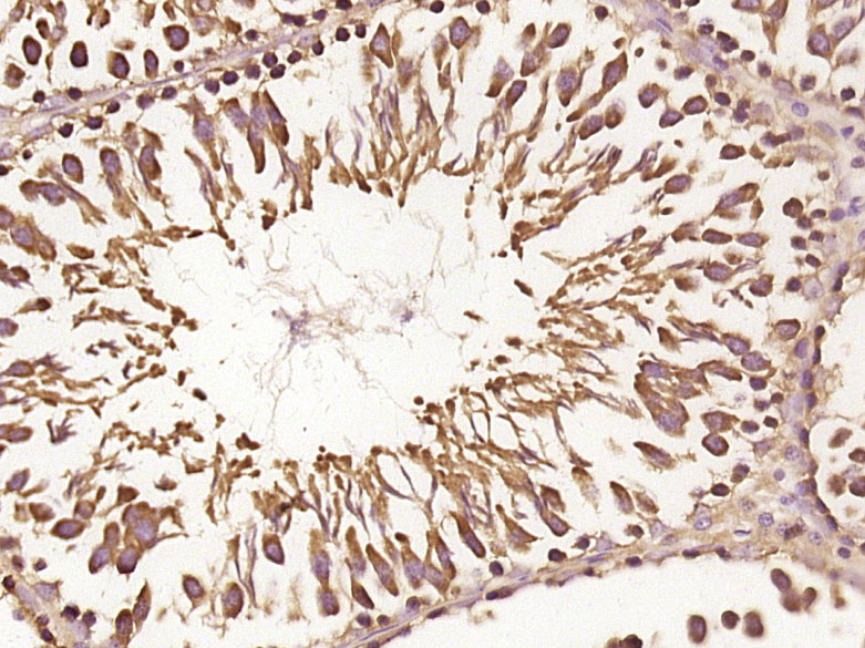
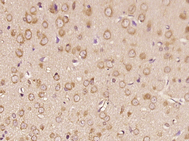
RNF170 Polyclonal Antibody

Applications

  • WB
  • IHC-P
  • IF(IHC-P)

Reactivity

  • Rat

Predicted Reactivity

  • Human
  • Mouse
  • Dog
  • Cow
  • Sheep
  • Horse
  • Chicken
  • Rabbit
Overview
Catalog # bs-9260R
Product Name RNF170 Polyclonal Antibody
Applications WB, IHC-P, IF(IHC-P)
Reactivity Rat
Predicted Reactivity Human, Mouse, Dog, Cow, Sheep, Horse, Chicken, Rabbit
Specifications
Conjugation Unconjugated
Host Rabbit
Source KLH conjugated synthetic peptide derived from human RNF170
Clonality Polyclonal
Clone # #REF!
Isotype IgG
Concentration 1ug/ul
Purification Purified by Protein A.
Storage Buffer 0.01M TBS(pH7.4) with 1% BSA, 0.02% Proclin300 and 50% Glycerol.
Storage Condition Shipped at 4C. Store at -20C for one year. Avoid repeated freeze/thaw cycles.
Target
Gene ID 81790
Synonyms Putative LAG1 interacting protein; Ring finger protein 170; RN170_HUMAN.
Background The ring finger is a specialized type of zinc finger of 40 to 60 residues that binds two atoms of zinc and mediates protein-protein interactions. There are five known isoforms of RNF170.
Application Dilution
WB 1:300-5000
IHC-P 1:200-400
IF(IHC-P) 1:50-200