Receive 30% off all Monoclonal IHC antibodies with code "MONO-IHC-30"! Offer valid for US customers and available internationally through distributors.

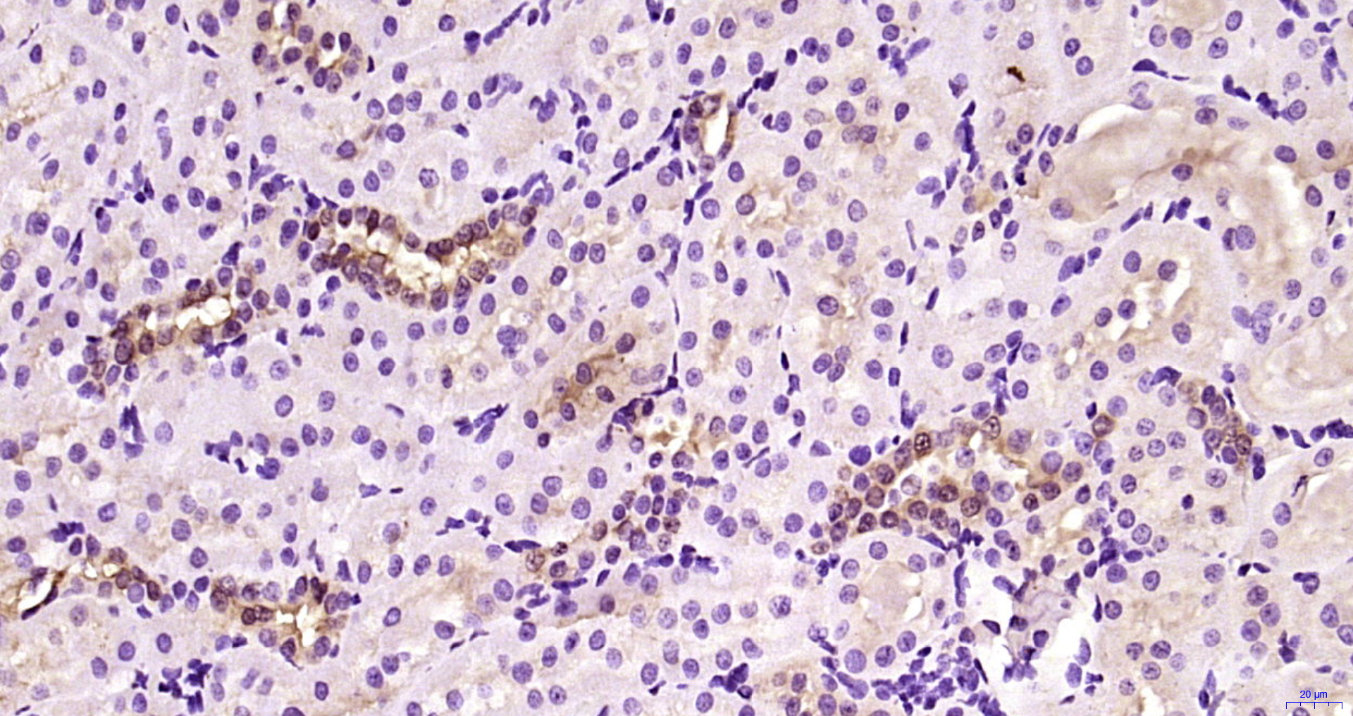
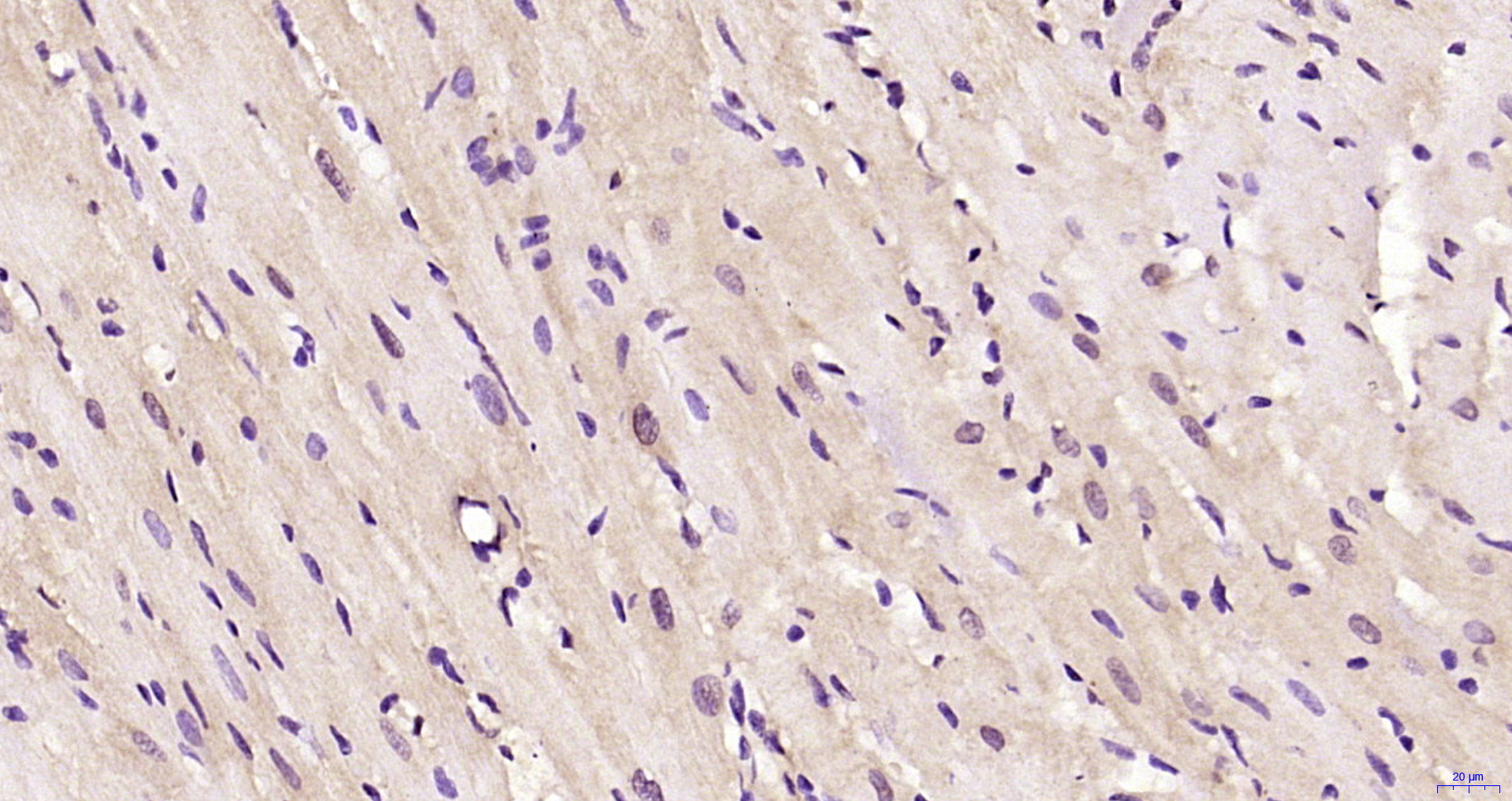
PMF1 Polyclonal Antibody

Applications

  • WB
  • IHC-P
  • IHC-F
  • IF

Reactivity

  • Human
  • Mouse
  • Rat
Overview
Catalog # bs-9319R
Product Name PMF1 Polyclonal Antibody
Applications WB, IHC-P, IHC-F, IF
Reactivity Human, Mouse, Rat
Specifications
Conjugation Unconjugated
Host Rabbit
Source KLH conjugated synthetic peptide derived from human NNF1R/PMF1
Clonality Polyclonal
Clone # #REF!
Isotype IgG
Concentration 1ug/ul
Purification Purified by Protein A.
Storage Buffer 0.01M TBS(pH7.4) with 1% BSA, 0.02% Proclin300 and 50% Glycerol.
Storage Condition Shipped at 4_. Store at -20_ for one year. Avoid repeated freeze/thaw cycles.
Target
Gene ID 11243
Synonyms PMF-1; Pmf1; PMF1_HUMAN; NNF1R; Polyamine modulated factor 1; Polyamine-modulated factor 1.
Background NNF1R, also called PMF1, is part of the MIS12 complex, which may be fundamental for kinetochore formation and proper chromosome segregation during mitosis. It is required for chromosome congression and for correct operation of the spindle checkpoint. May act as a cotranscription partner of NFE2L2 involved in regulation of polyamine-induced transcription of SSAT.
Application Dilution
WB 1:300-5000
IHC-P 1:200-400
IHC-F IFIHC-P1:50-200
IF