Receive 30% off all Monoclonal IHC antibodies with code "MONO-IHC-30"! Offer valid for US customers and available internationally through distributors.

RanBP1 Polyclonal Antibody

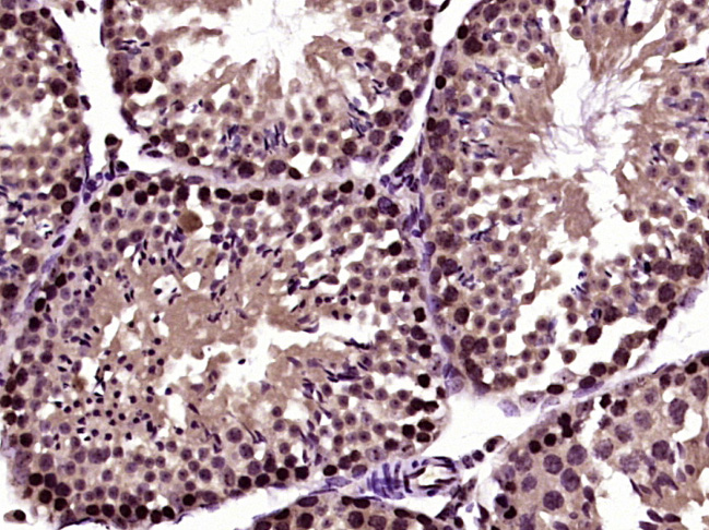
Applications

  • WB
  • IHC-P
  • IF(IHC-P)

Reactivity

  • Human
  • Mouse

Predicted Reactivity

  • Rat
  • Dog
  • Cow
  • Pig
  • Horse
  • Chicken
  • Rabbit
Overview
Catalog # bs-9322R
Product Name RanBP1 Polyclonal Antibody
Applications WB, IHC-P, IF(IHC-P)
Reactivity Human, Mouse
Predicted Reactivity Rat, Dog, Cow, Pig, Horse, Chicken, Rabbit
Specifications
Conjugation Unconjugated
Host Rabbit
Source KLH conjugated synthetic peptide derived from human RanBP1
Clonality Polyclonal
Clone # #REF!
Isotype IgG
Concentration 1ug/ul
Purification Purified by Protein A.
Storage Buffer 0.01M TBS(pH7.4) with 1% BSA, 0.02% Proclin300 and 50% Glycerol.
Storage Condition Shipped at 4C. Store at -20C for one year. Avoid repeated freeze/thaw cycles.
Target
Gene ID 5902
Swiss Prot P43487
Synonyms HTF9A; Ran-specific GTPase-activating protein; Ran-binding protein 1; RanBP1
Background Inhibits GTP exchange on Ran. Forms a Ran-GTP-RANBP1 trimeric complex. Increase GTP hydrolysis induced by the Ran GTPase activating protein RANGAP1. May act in an intracellular signaling pathway which may control the progression through the cell cycle by regulating the transport of protein and nucleic acids across the nuclear membrane.
Application Dilution
WB 1:300-5000
IHC-P 1:200-400
IF(IHC-P) 1:50-200