Receive 30% off all Monoclonal IHC antibodies with code "MONO-IHC-30"! Offer valid for US customers and available internationally through distributors.

CFH Polyclonal Antibody

Applications

  • ELISA
  • IHC-P
  • IHC-F
  • IF

Reactivity

  • Human
Overview
Catalog # bs-9525r-TR
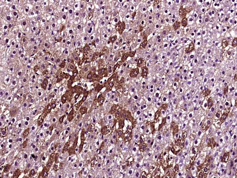
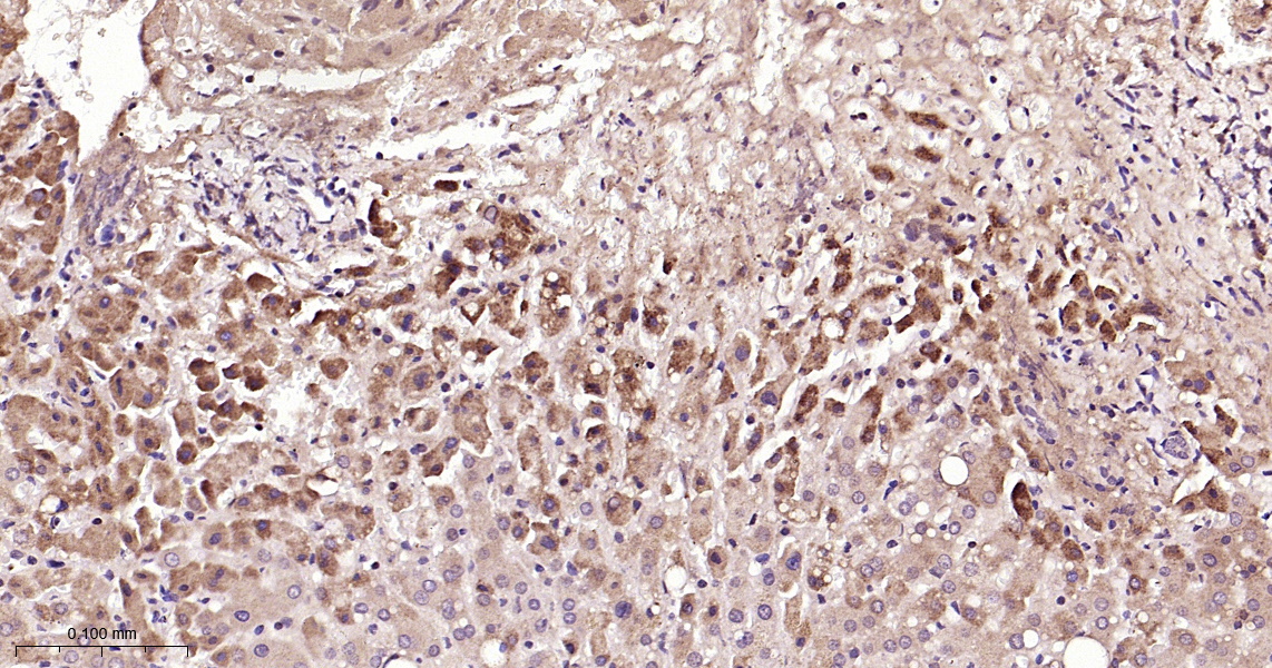
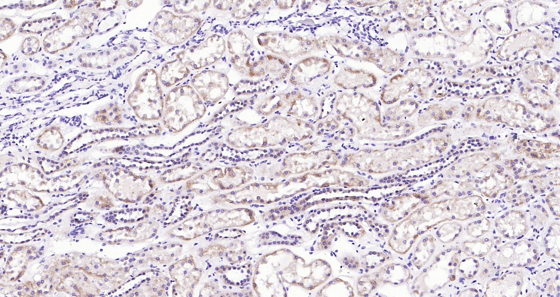
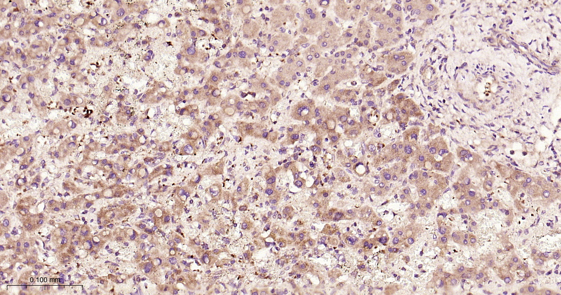
Product Name CFH Polyclonal Antibody
Applications ELISA, IHC-P, IHC-F, IF
Reactivity Human
Specifications
Conjugation Unconjugated
Host Rabbit
Source KLH conjugated synthetic peptide derived from human CFH
Clonality Polyclonal
Isotype IgG
Concentration 1mg/ml
Purification Purified by Protein A.
Storage Buffer 0.01M TBS (pH7.4) with 1% BSA, 0.02% Proclin300 and 50% Glycerol.
Storage Condition Shipped at 4C. Store at -20C for one year. Avoid repeated freeze/thaw cycles.
Target
Gene ID 3075
Swiss Prot P08603
Subcellular location Secreted
Synonyms CFAH_HUMAN; Complement factor H; HF; HF1; HF2; H factor 1; Factor H;
Application Dilution
ELISA =1:5000-10000
IHC-P IHC-P=1:100-500
IHC-F IHC-F=1:100-500
IF IF=1:100-500