Receive 30% off all Monoclonal IHC antibodies with code "MONO-IHC-30"! Offer valid for US customers and available internationally through distributors.

RPUSD2 Polyclonal Antibody

Applications

  • WB
  • IHC-P
  • IF(IHC-P)

Reactivity

  • Mouse
  • Rat

Predicted Reactivity

  • Human
  • Dog
  • Cow
  • Sheep
Overview
Catalog # bs-9626R
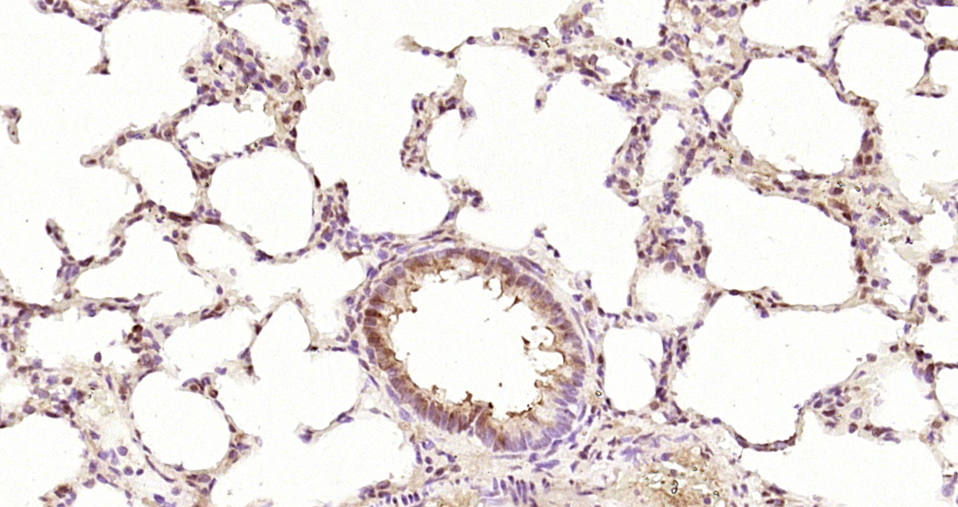
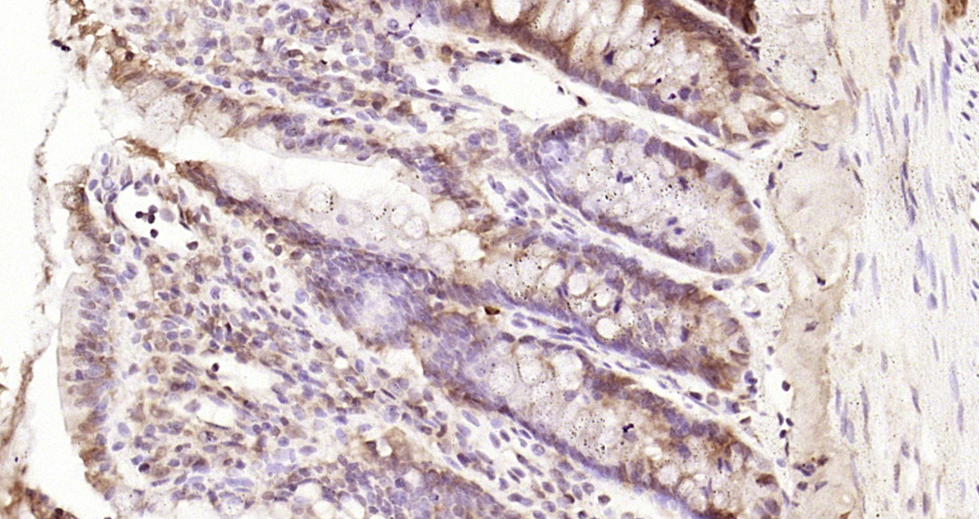
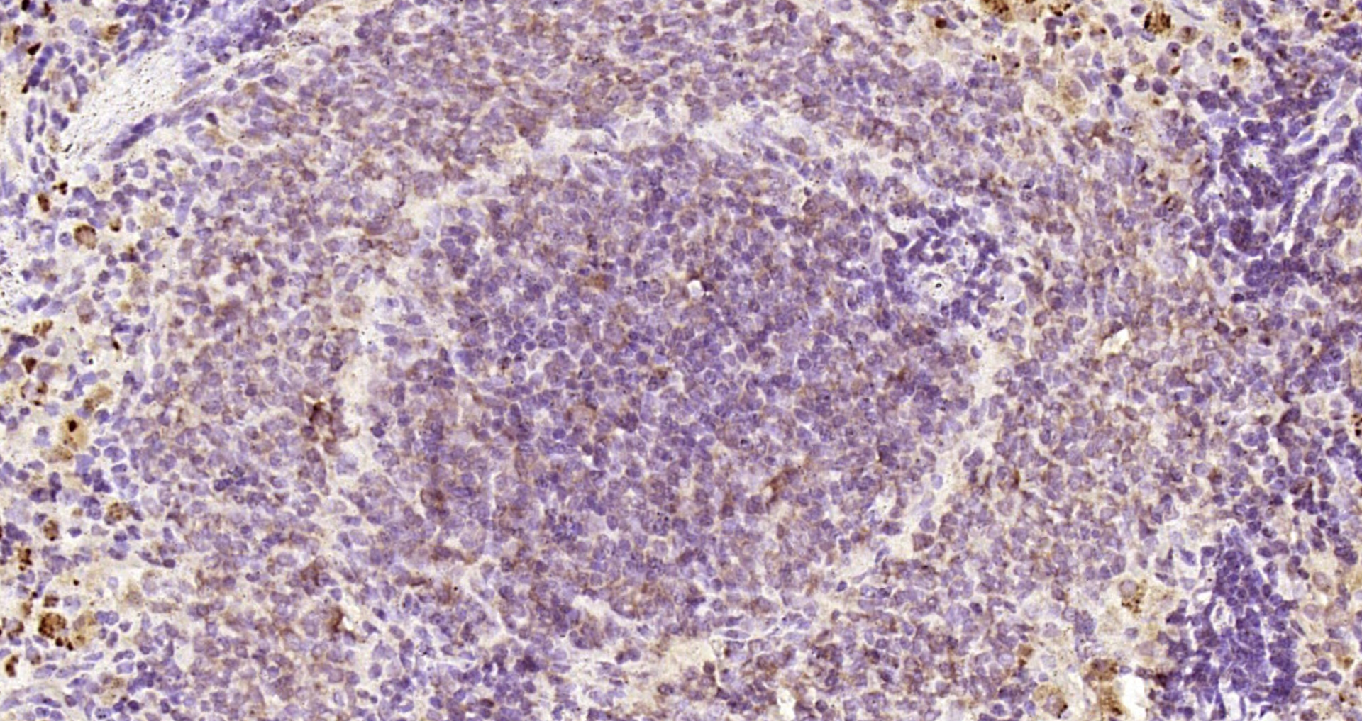
Product Name RPUSD2 Polyclonal Antibody
Applications WB, IHC-P, IF(IHC-P)
Reactivity Mouse, Rat
Predicted Reactivity Human, Dog, Cow, Sheep
Specifications
Conjugation Unconjugated
Host Rabbit
Source KLH conjugated synthetic peptide derived from human RPUSD2
Clonality Polyclonal
Clone # #REF!
Isotype IgG
Concentration 1ug/ul
Purification Purified by Protein A.
Storage Buffer 0.01M TBS(pH7.4) with 1% BSA, 0.02% Proclin300 and 50% Glycerol.
Storage Condition Shipped at 4C. Store at -20C for one year. Avoid repeated freeze/thaw cycles.
Target
Gene ID 27079
Synonyms C15orf19; C18B11; C18B11 homolog; RNA pseudouridylate synthase domain containing 2; RNA pseudouridylate synthase domain containing protein 2; RNA pseudouridylate synthase domain-containing protein 2; RPUSD 2; RPUSD-2; RUSD2_HUMAN.
Background RPUSD2, is a 545 amino acid member of the pseudouridine synthase rluA family and is encoded by a gene that is located on chromosome 15. Encoding more than 700 genes, chromosome 15 is made up of approximately 106 million base pairs and is about 3% of the human genome. Angelman and Prader-Willi syndromes are associated with loss of function or deletion of genes in the 15q11-q13 region. In the case of Angelman syndrome, this loss is due to inactivity of the maternal 15q11-q13 encoded UBE3A gene in the brain by either chromosomal deletion or mutation. In cases of Prader-Willi syndrome, there is a partial or complete deletion of this region from the paternal copy of chromosome 15. Tay-Sachs disease is a lethal disorder associated with mutations of the HEXA gene, which is encoded by chromosome 15. Marfan syndrome is associated with chromosome 15 through the FBN1 gene.
Application Dilution
WB 1:300-5000
IHC-P 1:200-400
IF(IHC-P) 1:50-200