Receive 30% off all Monoclonal IHC antibodies with code "MONO-IHC-30"! Offer valid for US customers and available internationally through distributors.

14-3-3 Polyclonal Antibody

Applications

  • WB
  • IHC-P
  • IHC-F
  • IF
  • Flow-Cyt

Reactivity

  • Human
  • Mouse
  • Rat
Overview
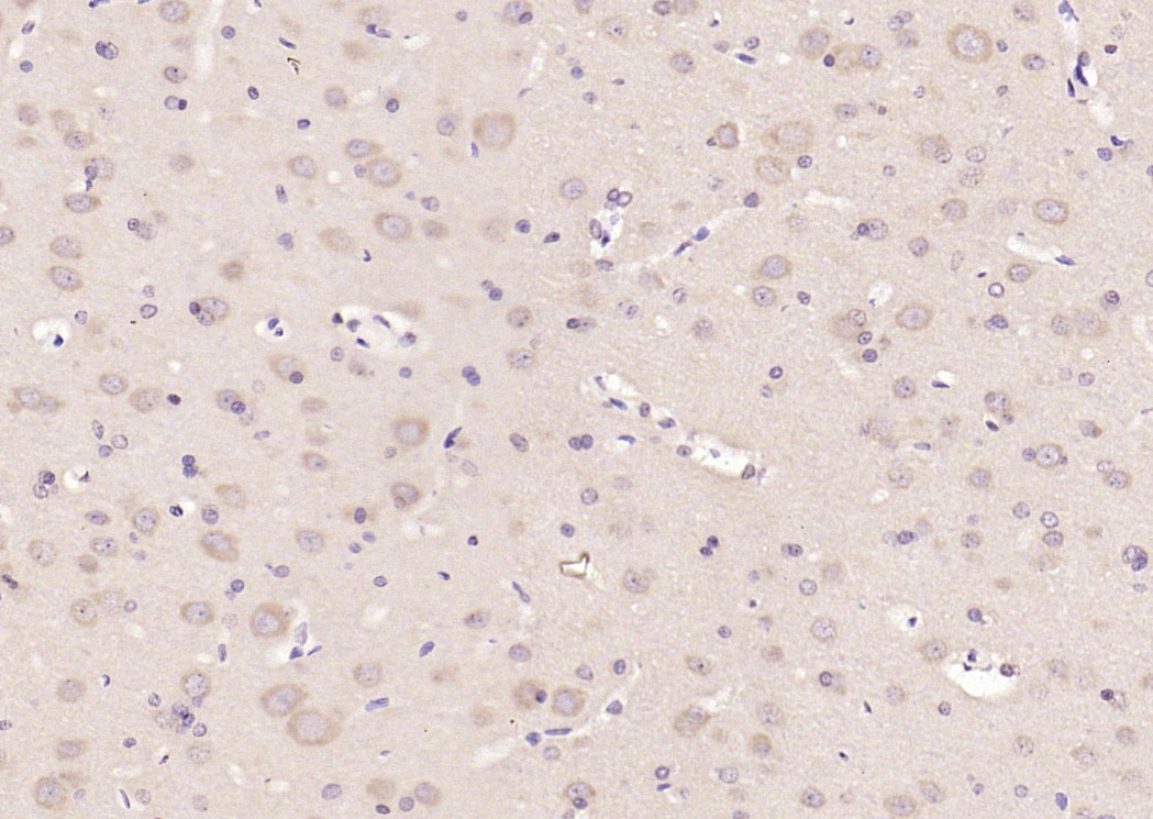
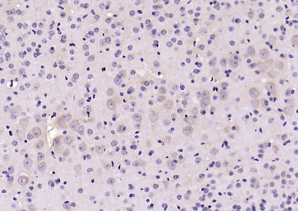
Catalog # bs-9654r
Product Name 14-3-3 Polyclonal Antibody
Applications WB, IHC-P, IHC-F, IF, Flow-Cyt
Reactivity Human, Mouse, Rat
Specifications
Conjugation Unconjugated
Host Rabbit
Source KLH conjugated synthetic peptide derived from human pan 14-3-3
Clonality Polyclonal
Clone # #REF!
Isotype IgG
Concentration 1ug/ul
Purification Purified by Protein A.
Storage Buffer 0.01M TBS(pH7.4) with 1% BSA, 0.02% Proclin300 and 50% Glycerol.
Storage Condition Shipped at 4_. Store at -20_ for one year. Avoid repeated freeze/thaw cycles.
Target
Gene ID 79915
Synonyms 14 3 3 protein beta; 14 3 3 protein beta/alpha; 14 3 3 protein zeta; KCIP 1; Protein 1054; Protein kinase C inhibitor protein 1; 14 3 3 protein delta; 14 3 3 protein gamma; YWHAB; YWHAZ; 14 3 3 protein Epsilon.
Background 14-3-3 are activates tyrosine and tryptophan hydroxylases in the presence of Ca (2+)/calmodulin-dependent protein kinase II, and strongly activates protein kinase C. Is probably a multifunctional regulator of the cell signaling processes mediated by both kinases. Activates the ADP-ribosyltransferase (exoS) activity of bacterial origin. 14-3-3 proteins are localized in neurons, and are axonally transported to the nerve terminals. They may be also present, at lower levels, in various other eukaryotic tissues. It belongs to the 14-3-3 family.
Application Dilution
WB 1:300-5000
IHC-P 1:200-400
IHC-F IFIHC-P1:50-200
IF
Flow-Cyt