RECEIVE 25% OFF PUBLISHED ANTIBODIES WITH CODE "PUB25"! Offer valid for US customers and available internationally through distributors.

human IgA Monoclonal Antibody

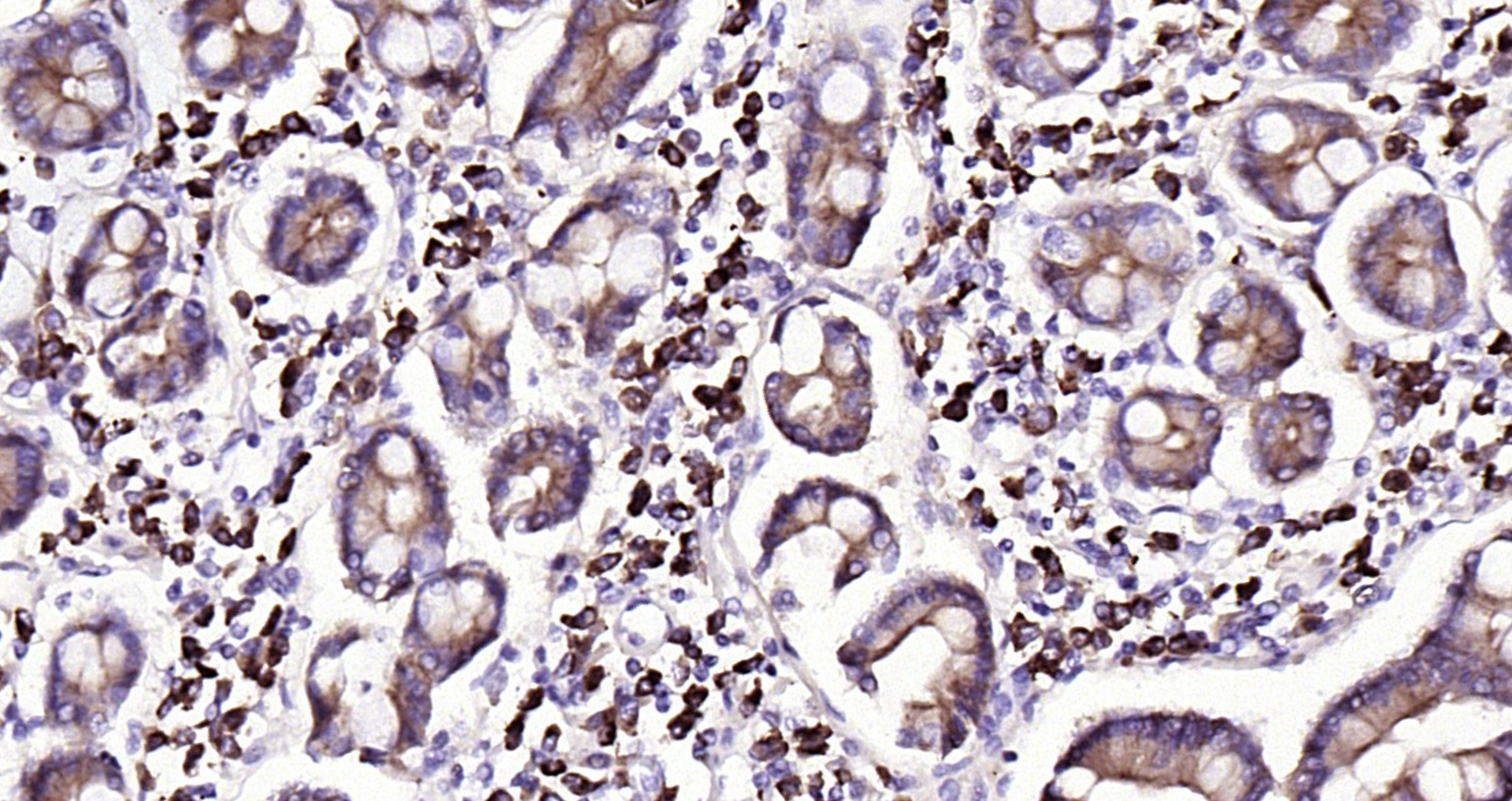
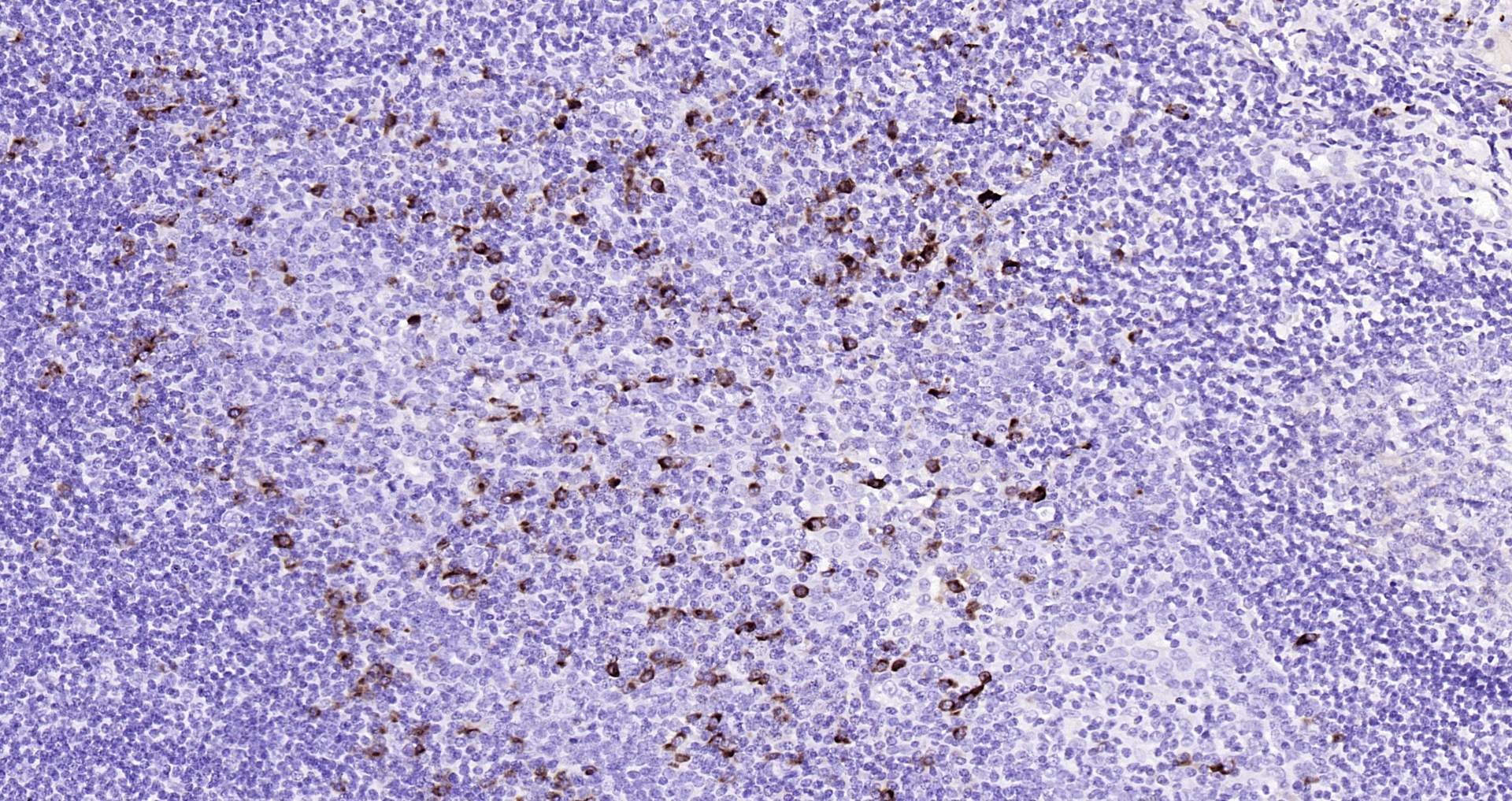
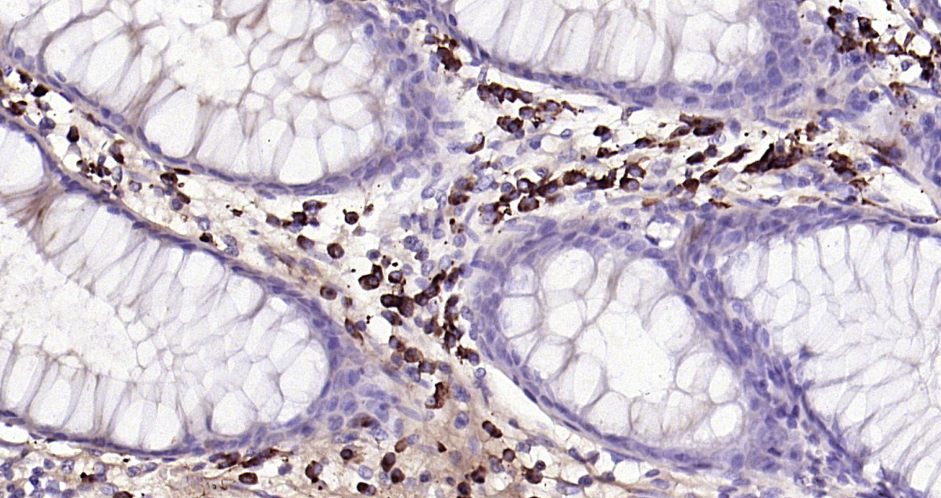
Applications

  • IHC-P
  • IHC-F
  • IF(IHC-P)

Reactivity

  • Human
Overview
Catalog # bsm-0474m-100ul
Product Name human IgA Monoclonal Antibody
Applications IHC-P, IHC-F, IF(IHC-P)
Reactivity Human
Specifications
Conjugation Unconjugated
Host Mouse
Source purified human Serum IgA
Clonality Monoclonal
Clone # N/A
Isotype IgG
Concentration 1mg/ml
Purification Purified by Protein A.
Storage Buffer 0.01M TBS(pH7.4) with 1% BSA, 0.02% Proclin300 and 50% Glycerol.
Storage Condition Shipped at 4C. Store at -20C for one year. Avoid repeated freeze/thaw cycles.
Target
Gene ID 3493
Swiss Prot P01876
Subcellular location Secreted
Synonyms Native Human IgA protein; Human IgA protein; IgA1; Igh2; IGHA 1; IGHA 2; IGHA1; IGHA2; Immunoglobulin alpha 1; Immunoglobulin Am1; Immunoglobulin Am2; Immunoglobulin heavy chain 2 (serum IgA); Immunoglobulin heavy constant alpha 1; Immunoglobulin heavy constant alpha 2; Human Immunoglobulin A; human Serum IgA;
Application Dilution
IHC-P 1:500-1500
IHC-F IHC-F1:500-1500
IF(IHC-P) IFIHC-P1:500-1500