Receive 30% off all Monoclonal IHC antibodies with code "MONO-IHC-30"! Offer valid for US customers and available internationally through distributors.

Human IL-6 Monoclonal Antibody

Applications

  • IHC-P
  • IHC-F
  • IF(ICC)
  • IF

Reactivity

  • Human
Overview
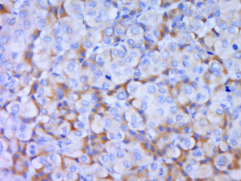
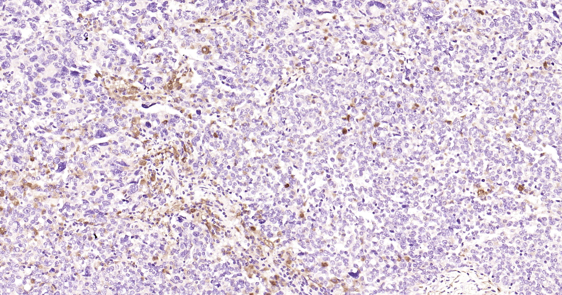
Catalog # bsm-10807m
Product Name Human IL-6 Monoclonal Antibody
Applications IHC-P, IHC-F, IF(ICC), IF
Reactivity Human
Specifications
Conjugation Unconjugated
Host Mouse
Source Recombinant human IL-6 corresponding to 30-212/212aa (C-6x His-Tag)
Clonality Monoclonal
Clone # 2C6
Isotype IgG
Concentration 1ug/ul
Purification Purified by Protein G.
Storage Buffer 0.01M TBS(pH7.4) with 1% BSA, 0.02% Proclin300 and 50% Glycerol.
Storage Condition Store at -20°C for 12 months.
Target
Gene ID 3569
Swiss Prot P05231
Synonyms Interleukin BSF 2; B cell differentiation factor; B cell stimulatory factor 2; BSF 2; BSF2; CDF; CTL differentiation factor; Cytotoxic T cell differentiation factor; Hepatocyte stimulating factor; HGF; HPGF; HSF; Hybridoma growth factor; Hybridoma plasmacytoma growth factor; IFNB2; IL 6; IL6 protein; Interferon beta 2; Interleukin 6 (interferon beta 2); Interleukin 6; Interleukin-6; Interleukin6; IL6_HUMAN.
Background This gene encodes a cytokine that functions in inflammation and the maturation of B cells. In addition, the encoded protein has been shown to be an endogenous pyrogen capable of inducing fever in people with autoimmune diseases or infections. The protein is primarily produced at sites of acute and chronic inflammation, where it is secreted into the serum and induces a transcriptional inflammatory response through interleukin 6 receptor, alpha. The functioning of this gene is implicated in a wide variety of inflammation-associated disease states, including suspectibility to diabetes mellitus and systemic juvenile rheumatoid arthritis. [provided by RefSeq, Jun 2011].
Application Dilution
IHC-P 1:200-400
IHC-F 1:100-500
IF(ICC) 1:50-200
IF