Receive 30% off all Monoclonal IHC antibodies with code "MONO-IHC-30"! Offer valid for US customers and available internationally through distributors.

CD34 Monoclonal Antibody

Applications

  • WB
  • ELISA
  • IHC-P
  • IHC-F
  • IF(ICC)

Reactivity

  • Human
  • Rat
Overview
Catalog # bsm-10820m
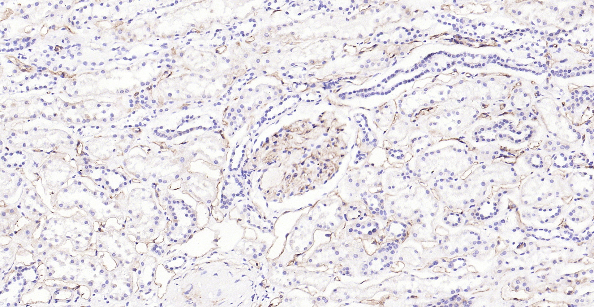
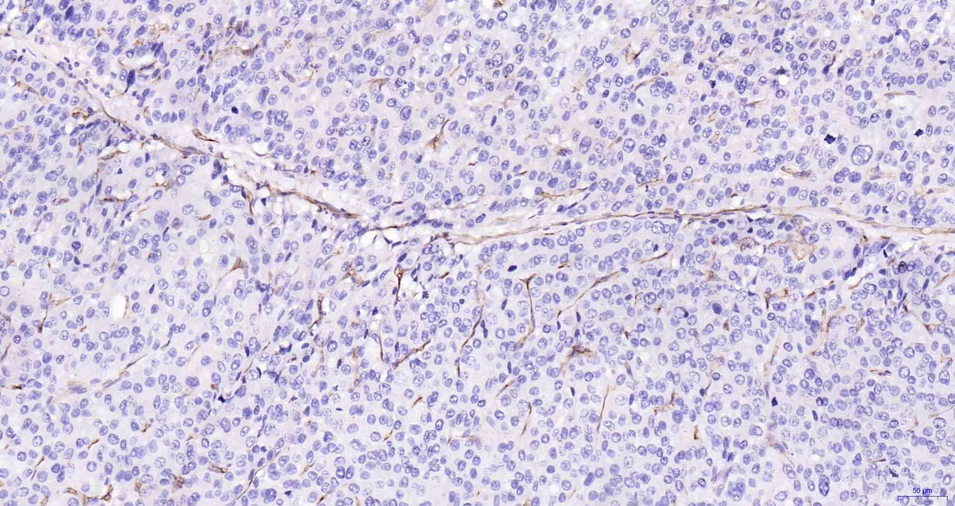
Product Name CD34 Monoclonal Antibody
Applications WB, ELISA, IHC-P, IHC-F, IF(ICC)
Reactivity Human, Rat
Specifications
Conjugation Unconjugated
Host Mouse
Source KLH conjugated synthetic peptide derived from human CD34
Clonality Monoclonal
Clone # #REF!
Isotype IgG
Concentration 1ug/ul
Purification Purified by Protein A.
Storage Buffer 0.01M TBS(pH7.4) with 1% BSA, 0.02% Proclin300 and 50% Glycerol.
Storage Condition Store at -20C for 12 months.
Target
Gene ID 947
Swiss Prot P28906
Synonyms CD34 antigen; CD34 molecule; Cluster designation 34; Hematopoietic progenitor cell antigen CD34; HPCA1; CD34_HUMAN; Hematopoietic Stem Cell Marker; Endothelial Markers; Tumor biomarkers.
Background Possible adhesion molecule with a role in early hematopoiesis by mediating the attachment of stem cells to the bone marrow extracellular matrix or directly to stromal cells. Could act as a scaffold for the attachment of lineage specific glycans, allowing stem cells to bind to lectins expressed by stromal cells or other marrow components. Presents carbohydrate ligands to selectins.
Application Dilution
WB 1:300-5000
ELISA 1:500-1000
IHC-P 1:200-400
IHC-F 1:100-500
IF(ICC) 1:50-200