| Overview |
| bsm-1621m |
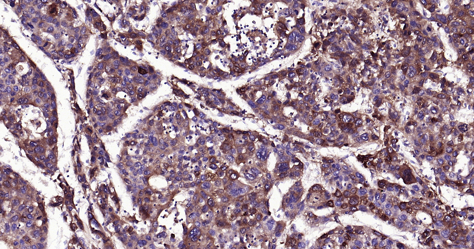
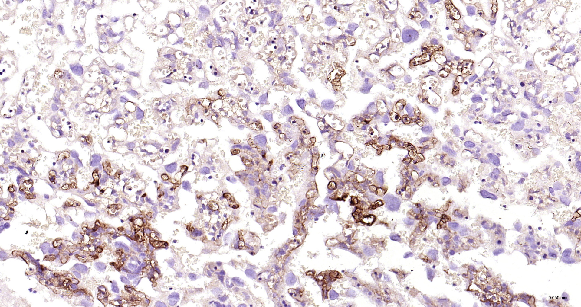
| AFP Monoclonal Antibody |
| WB, ELISA, IHC-P, IHC-F, IF |
| Human, Rat |
| Specifications |
| Unconjugated |
| Mouse |
| Full length human AFP protein |
| Monoclonal |
| A2 |
| IgG |
| 1ug/ul |
| Purified by Protein G. |
| 0.01M TBS(pH7.4) with 1% BSA, 0.02% Proclin300 and 50% Glycerol. |
| Store at -20°C for 12 months. |
| Target |
| 174 |
| P02771 |
| AFPD; FETA; HPAFP; Alpha-fetoprotein; Alpha-1-fetoprotein; Alpha-fetoglobulin; AFP |
| Alpha-fetoprotein (AFP) is a major plasma protein produced by the yolk sac and the liver during fetal life. Alpha-fetoprotein expression in adults is often associated with hepatoma or teratoma. However, hereditary persistance of alpha-fetoprotein may also be found in individuals with no obvious pathology. The protein is thought to be the fetal counterpart of serum albumin, and the alpha-fetoprotein and albumin genes are present in tandem in the same transcriptional orientation on chromosome 4. Alpha-fetoprotein is found in monomeric as well as dimeric and trimeric forms, and binds copper, nickel, fatty acids and bilirubin. The level of alpha-fetoprotein in amniotic fluid is used to measure renal loss of protein to screen for spina bifida and anencephaly. |
| Application Dilution |
| WB |
1:300-5000 |
| ELISA |
1:500-1000 |
| IHC-P |
1:200-400 |
| IHC-F |
1:100-500 |
| IF |
|