Receive 30% off all Monoclonal IHC antibodies with code "MONO-IHC-30"! Offer valid for US customers and available internationally through distributors.

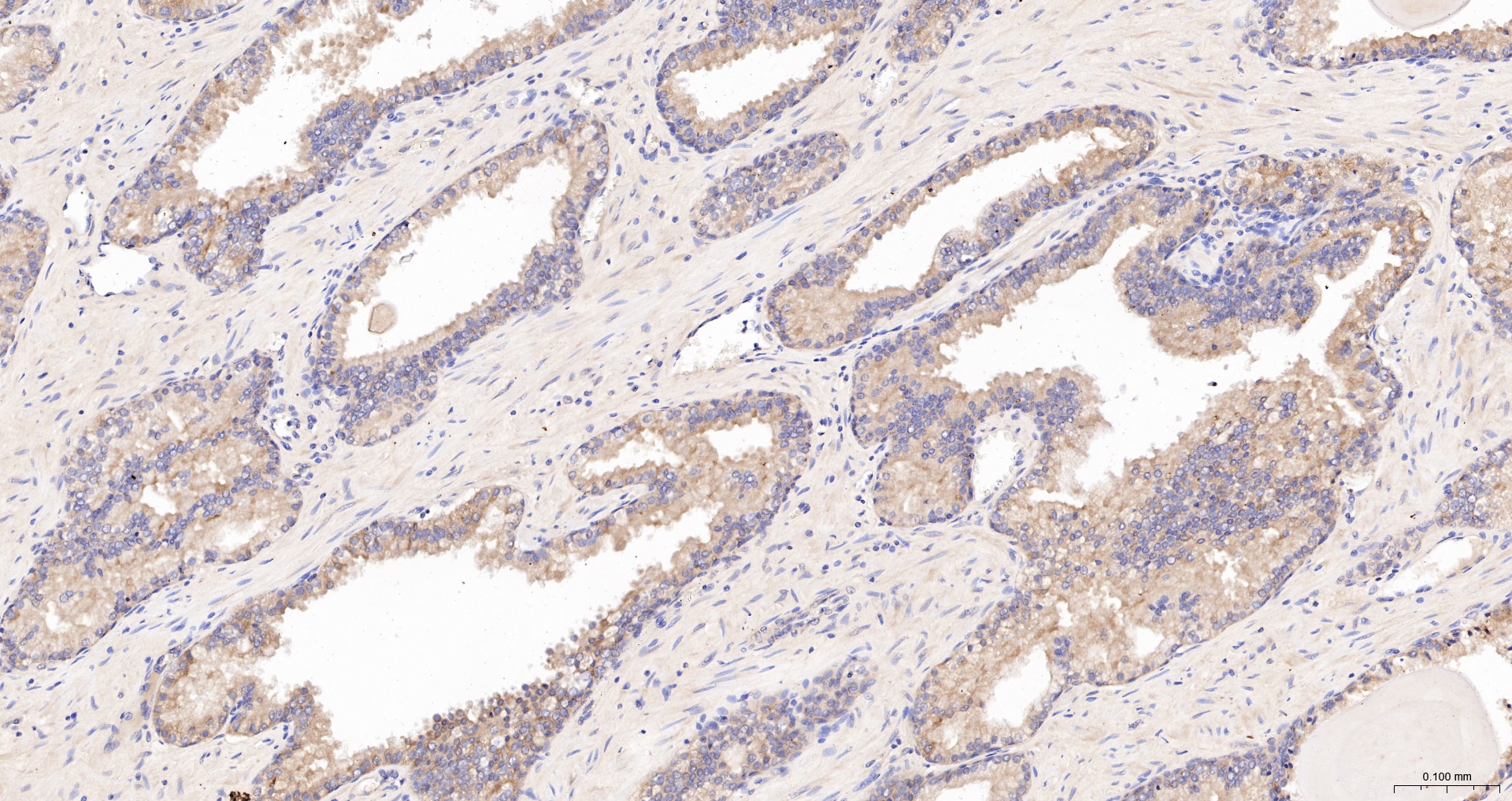
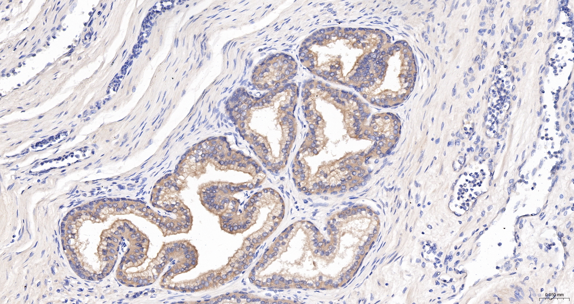
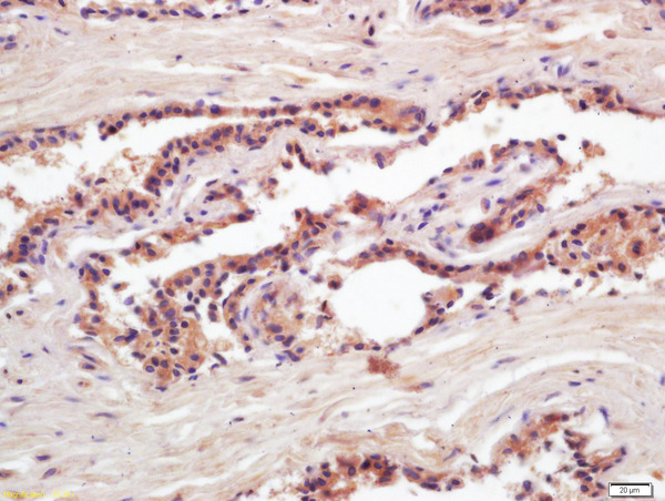
PSA(Pa3) Monoclonal Antibody

Applications

  • WB
  • ELISA
  • IHC-P
  • IF(IHC-P)

Reactivity

  • Human
Overview
Catalog # bsm-1625M
Product Name PSA(Pa3) Monoclonal Antibody
Applications WB, ELISA, IHC-P, IF(IHC-P)
Reactivity Human
Specifications
Conjugation Unconjugated
Host Mouse
Source Full length native protein purified from human
Clonality Monoclonal
Clone # #REF!
Isotype IgG
Concentration 1ug/ul
Purification Purified by Protein G.
Storage Buffer 0.01M TBS(pH7.4) with 1% BSA, 0.02% Proclin300 and 50% Glycerol.
Storage Condition Store at -20C for 12 months.
Target
Gene ID 354
Synonyms Prostate specic antigen; Gamma seminoprotein; hK3; Kallikrein 3; Kallikrein related peptidase 3; KLK 3; KLK2A1; KLK3; P 30 antigen; P30 antigen; Prostate Specic Antigen; PSA; Semenogelase; Seminin.
Background Kallikreins are a subgroup of serine proteases having diverse physiological functions. Growing evidence suggests that many kallikreins are implicated in carcinogenesis and some have potential as novel cancer and other disease biomarkers. This gene is one of the fifteen kallikrein subfamily members located in a cluster on chromosome 19. Its protein product is a protease present in seminal plasma. It is thought to function normally in the liquefaction of seminal coagulum, presumably by hydrolysis of the high molecular mass seminal vesicle protein. Serum level of this protein, called PSA in the clinical setting, is useful in the diagnosis and monitoring of prostatic carcinoma. Alternate splicing of this gene generates several transcript variants encoding different isoforms. [provided by RefSeq, Jul 2008].
Application Dilution
WB 1:300-5000
ELISA 1:500-1000
IHC-P 1:200-400
IF(IHC-P) 1:50-200