| Overview |
| bsm-30046m-100ul |
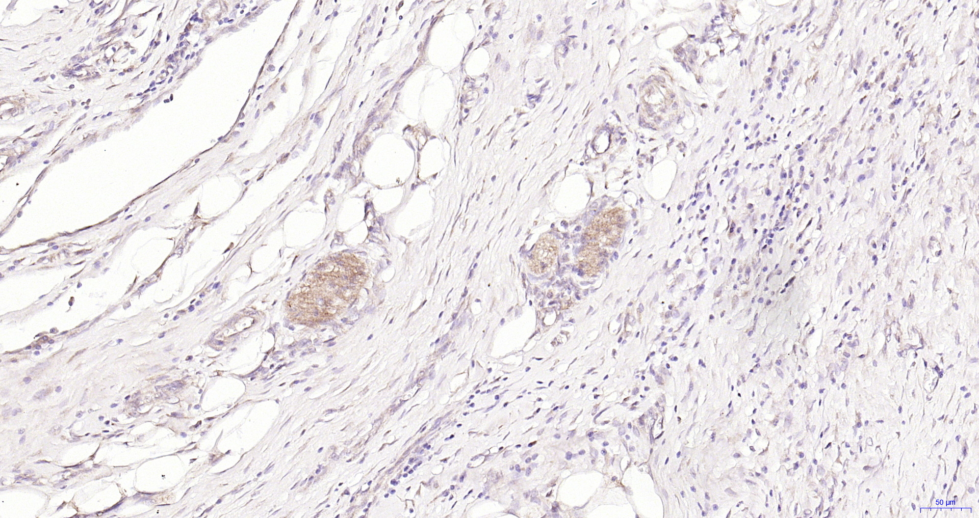
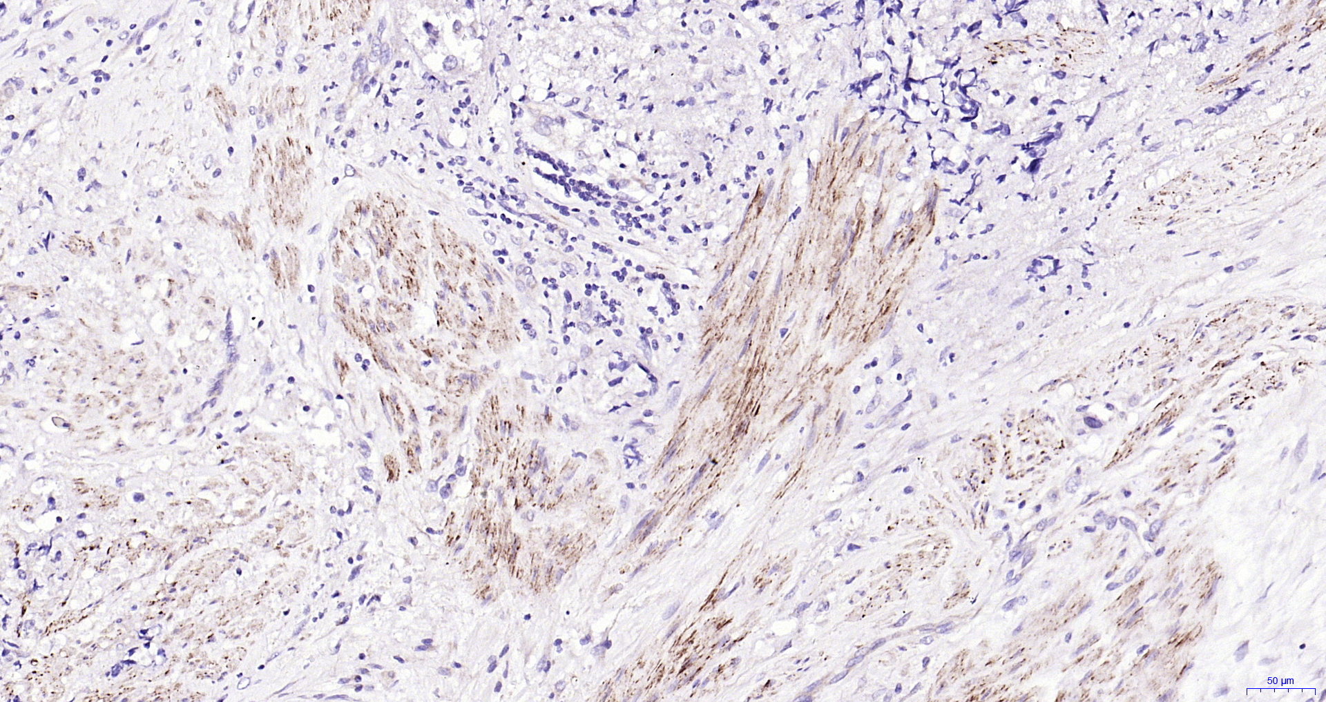
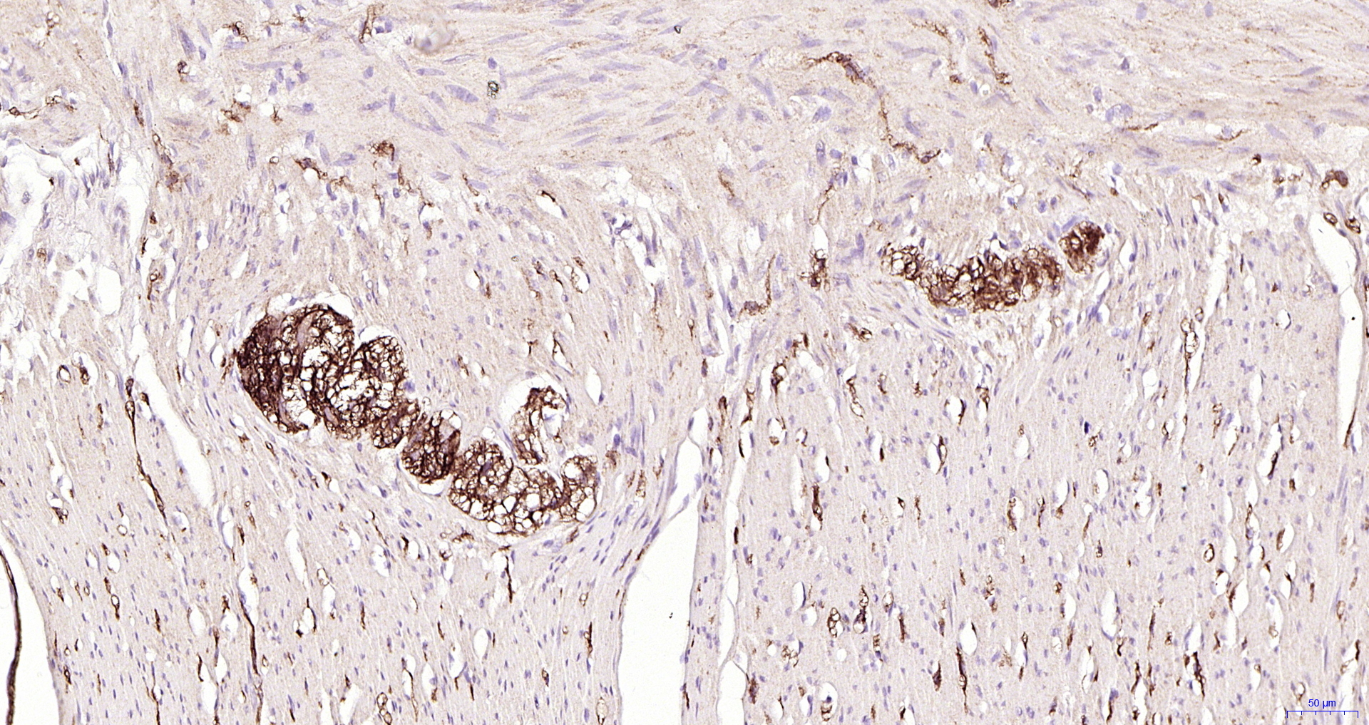
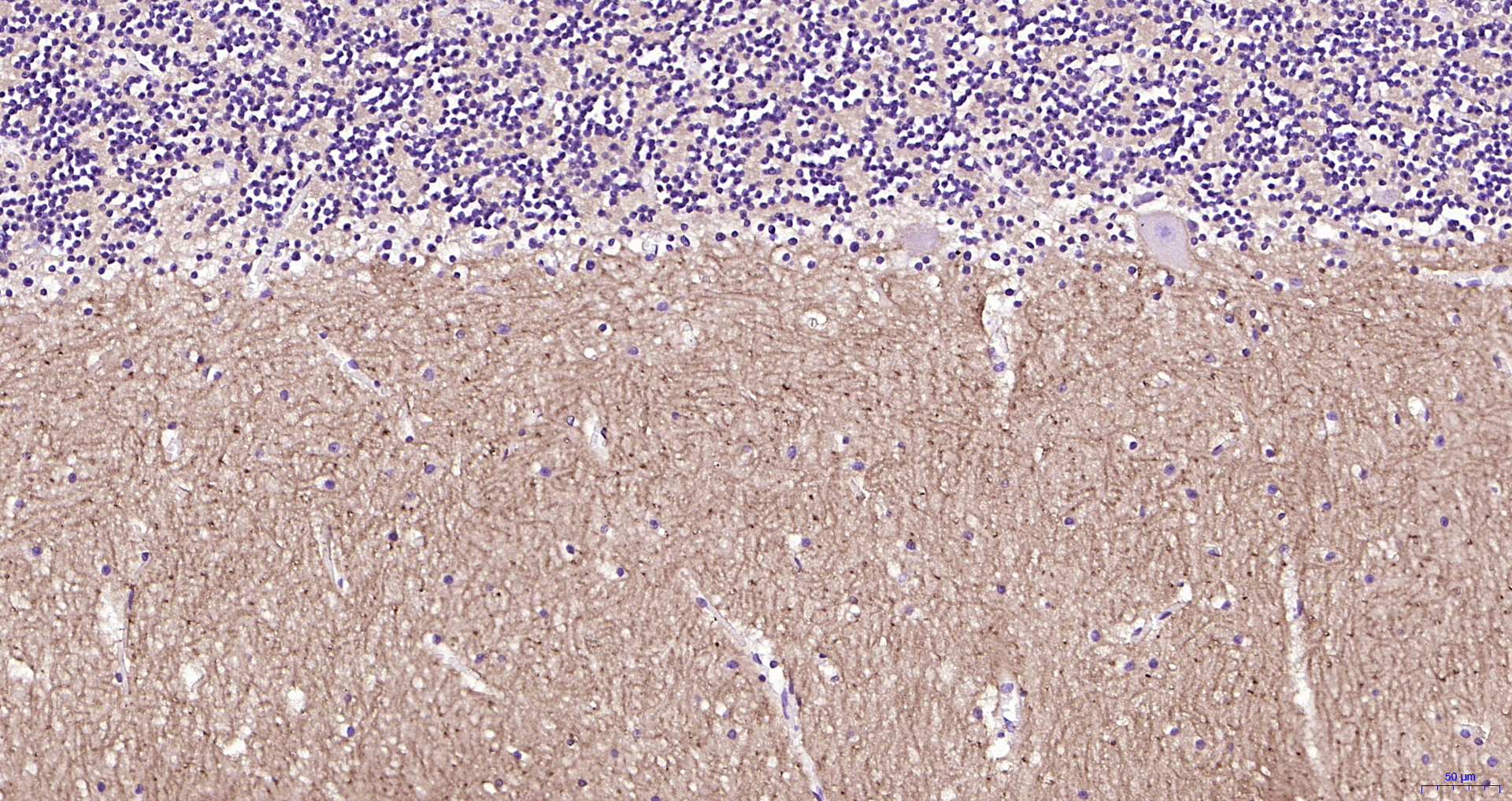
| human CD56 (NCAM) Monoclonal Antibody |
| FCM, IHC-P, IHC-F, IF(IHC-P) |
| Human |
| Specifications |
| Unconjugated |
| Mouse |
| KLH conjugated synthetic peptide derived from human CD56 |
| Monoclonal |
| 6C8 |
| IgG2a/Kappa |
| 1ug/ul |
| Purified by Protein G. |
| 0.01M TBS(pH7.4) with 1% BSA, 0.02% Proclin300 and 50% Glycerol. |
| Shipped at 4C. Store at -20C for one year. Avoid repeated freeze/thaw cycles. |
| Target |
| 4684 |
| P13591 |
| CD56 antigen; Cell Adhesion Molecule Neural 1; MSK39; N CAM 120; N CAM 140; N CAM 180; NCAM 1; NCAM 120; NCAM 140; NCAM1; Neural cell adhesion molecule 1 120 kDa isoform; Neural cell adhesion molecule 1 140 kDa isoform; Neural cell adhesion molecule 1; NCAM1_HUMAN. |
| This protein is a cell adhesion molecule involved in neuron-neuron adhesion, neurite fasciculation, outgrowth of neurites, etc.
Subcellular Location : Isoform 1, 2,: Cell membrane; Single-pass type I membrane protein. Isoform 3, 4: Cell membrane; Lipid-anchor, GPI-anchor. Isoform 5, 6: Secreted. |
| Application Dilution |
| FCM |
1ug/Test |
| IHC-P |
IHC-P1:100-500 |
| IHC-F |
IHC-F1:100-500 |
| IF(IHC-P) |
IFIHC-P1:100-500 |