Receive 30% off all Monoclonal IHC antibodies with code "MONO-IHC-30"! Offer valid for US customers and available internationally through distributors.

COX4I1 Monoclonal Antibody

Applications

  • WB
  • IHC-P
  • IHC-F
  • IF

Reactivity

  • Human
  • Rat
Overview
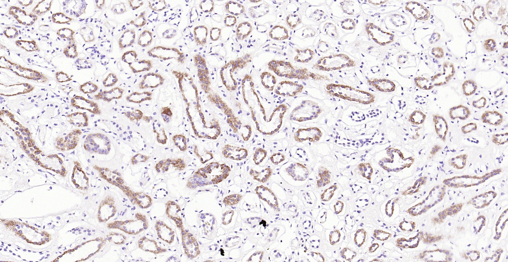
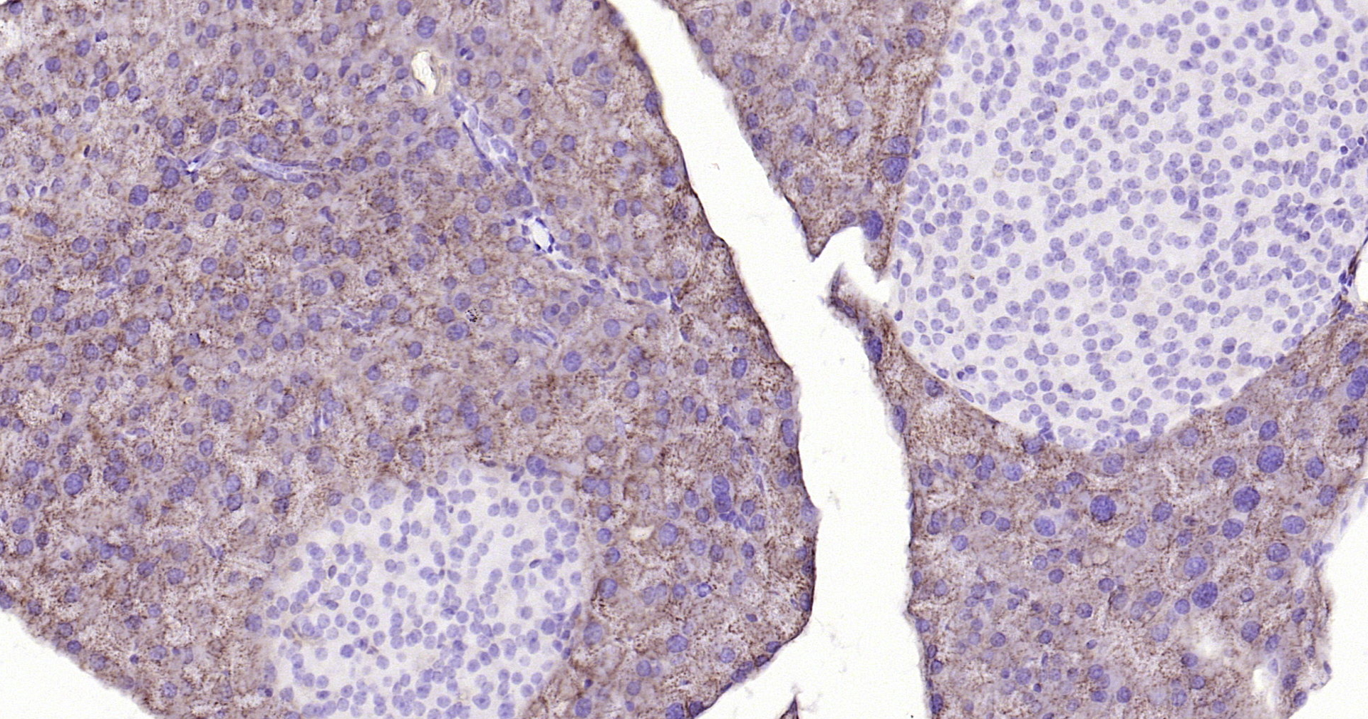
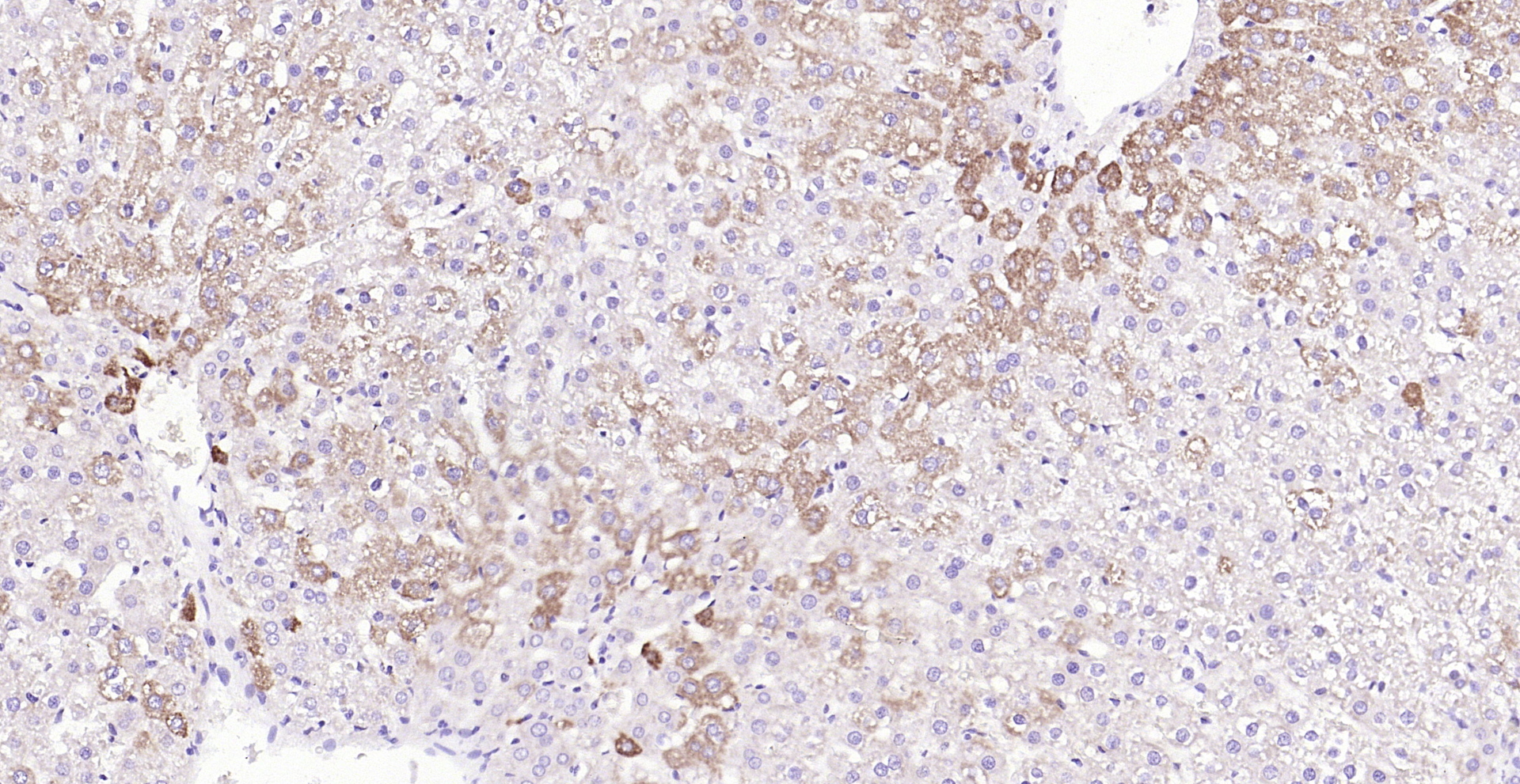
Catalog # bsm-33037m
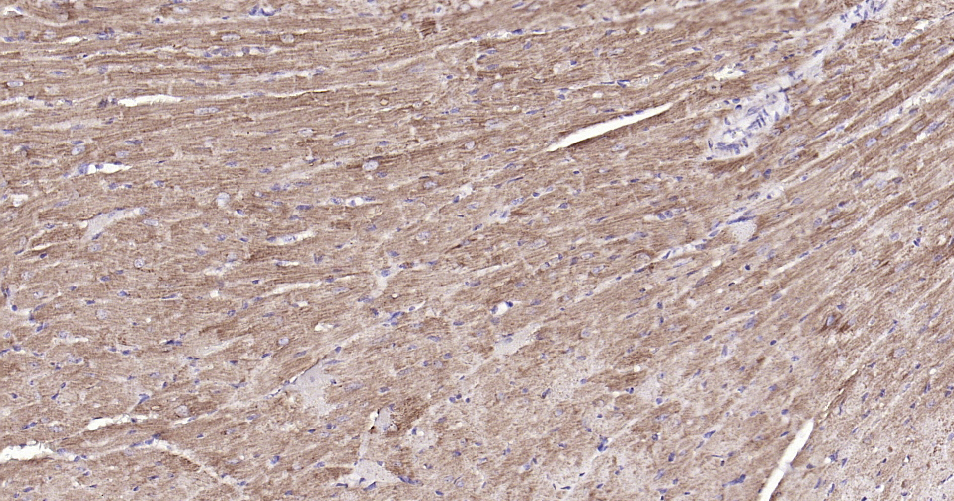
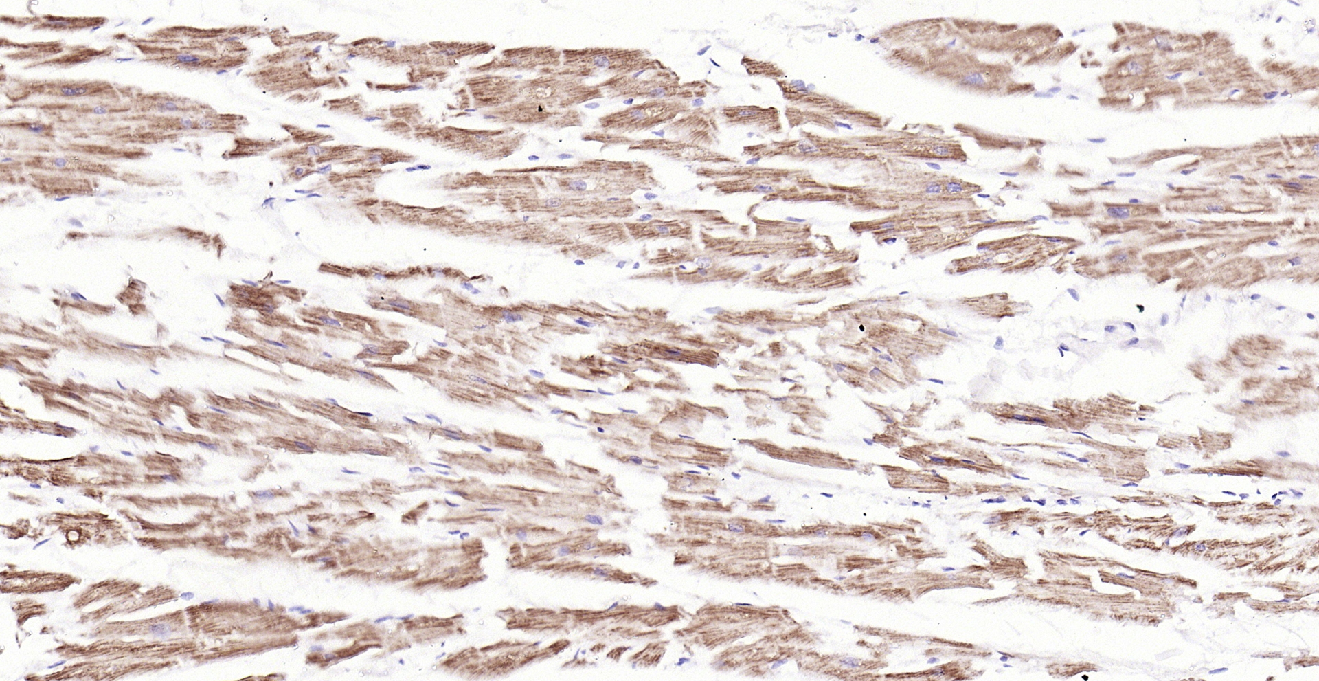
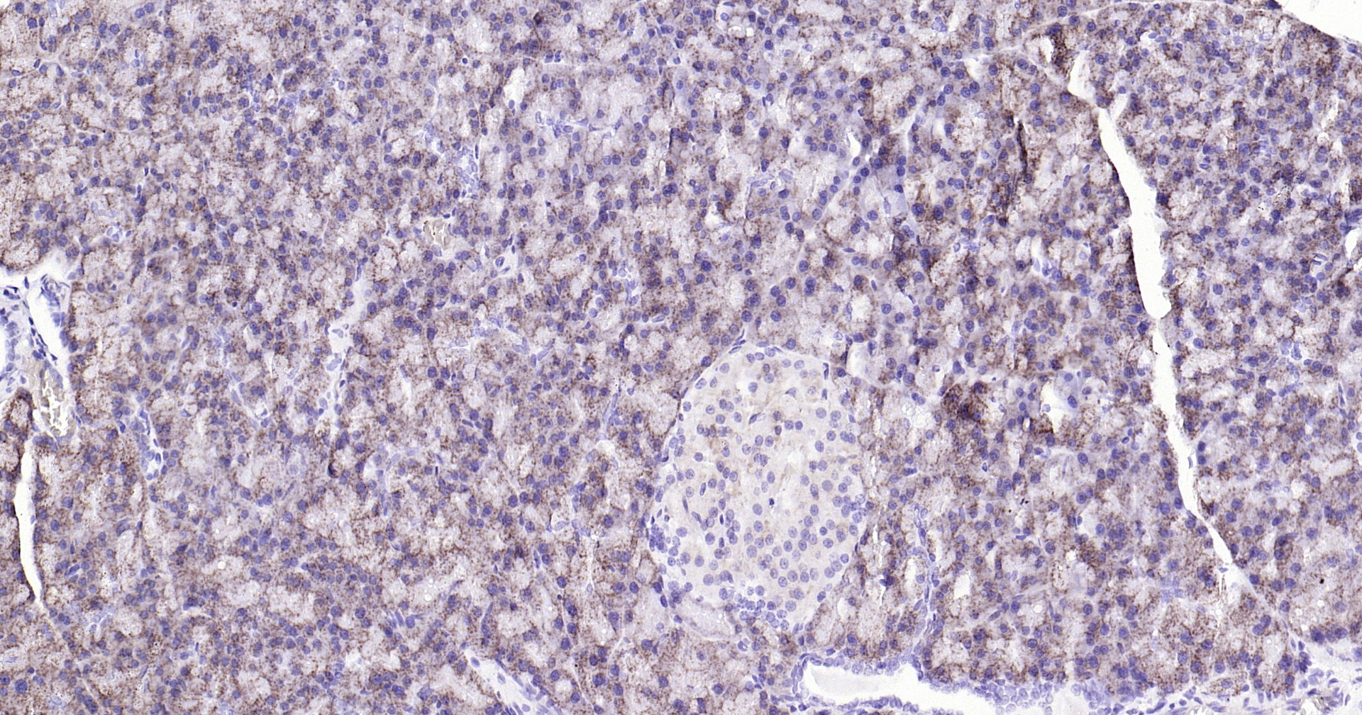
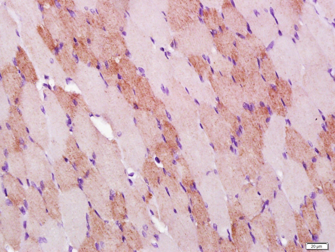
Product Name COX4I1 Monoclonal Antibody
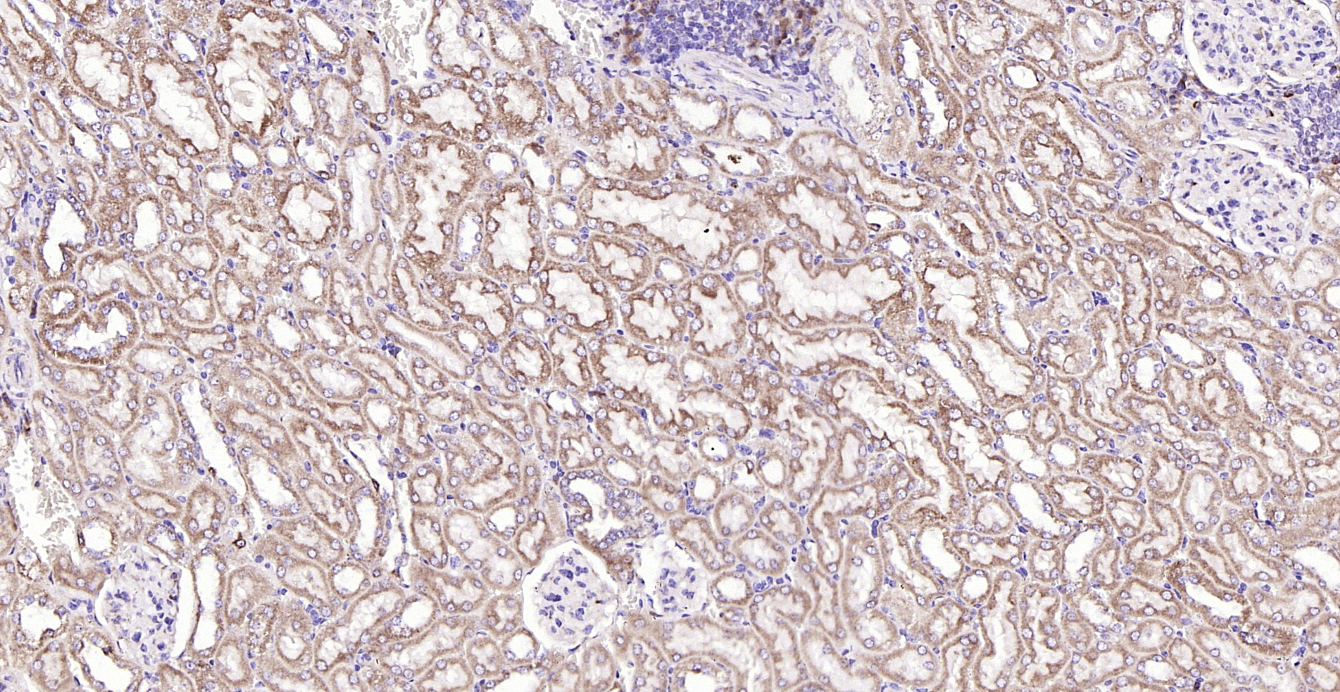
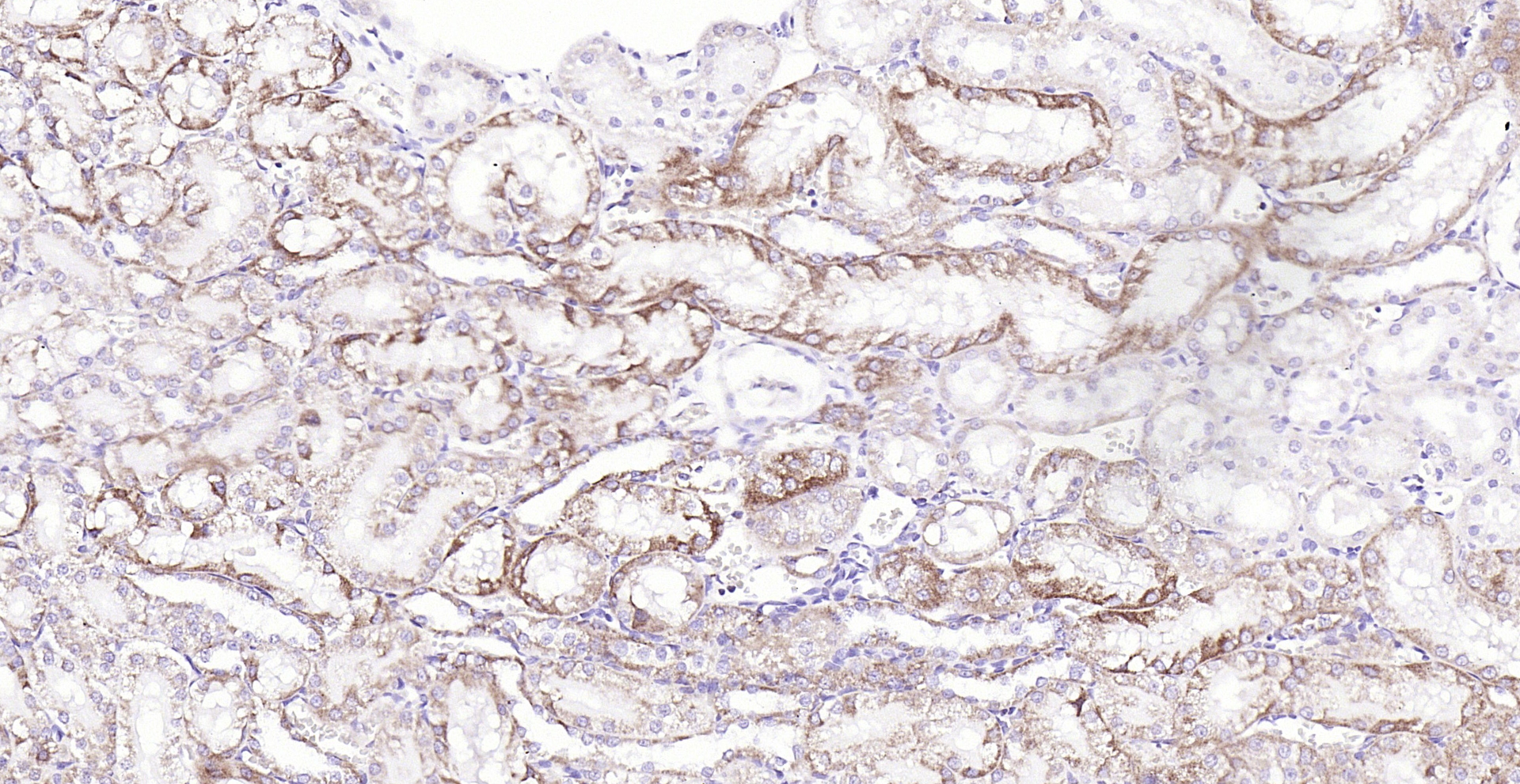
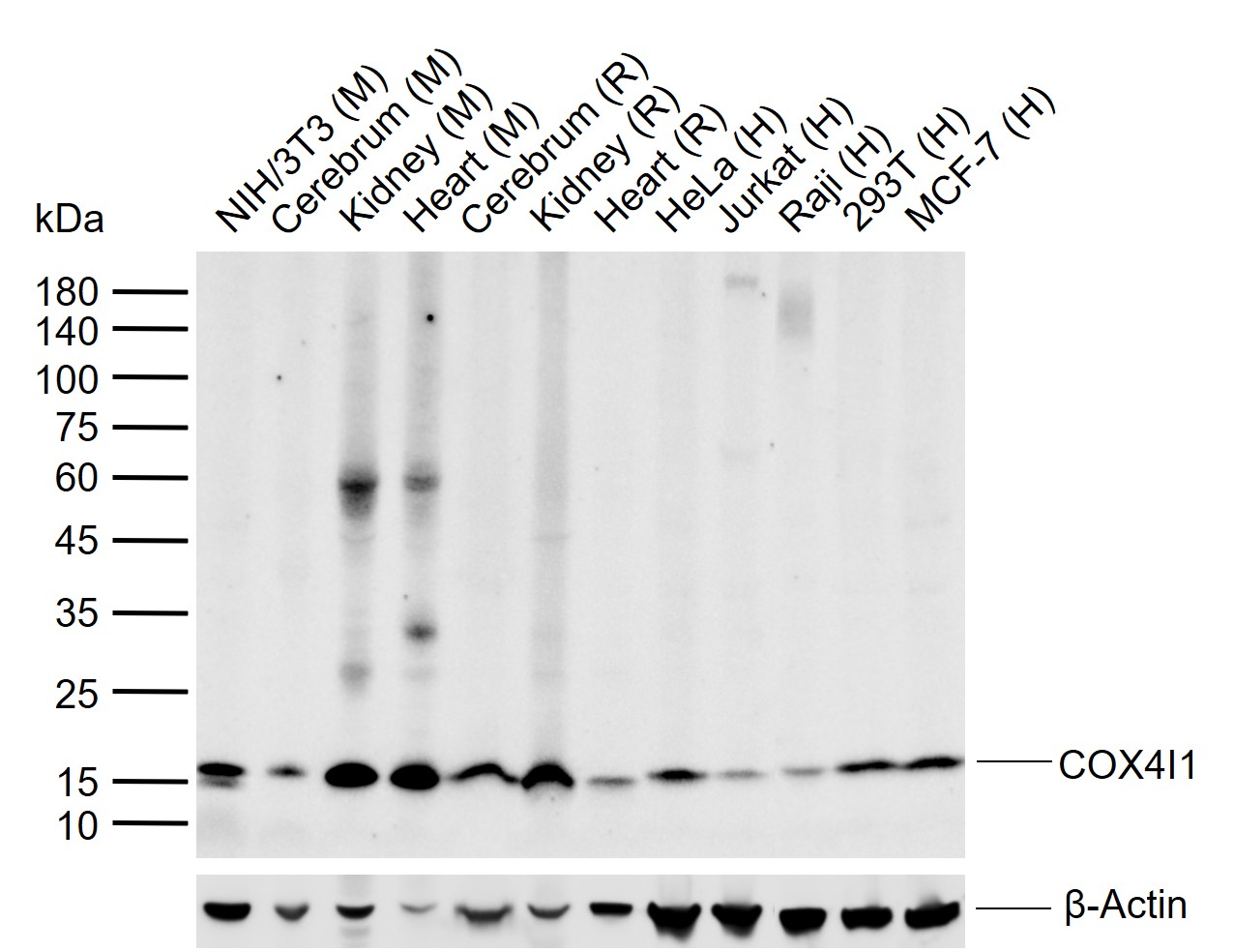
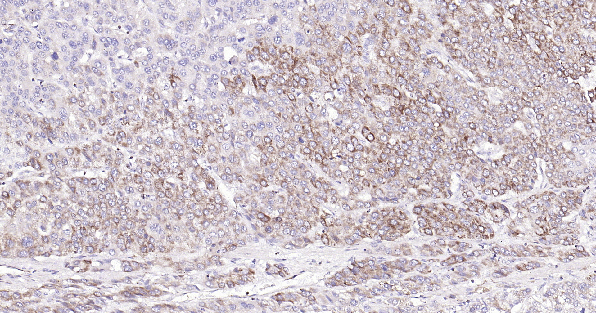
Applications WB, IHC-P, IHC-F, IF
Reactivity Human, Rat
Specifications
Conjugation Unconjugated
Host Mouse
Source Recombinant human COX4 protein
Clonality Monoclonal
Clone # 8D8
Isotype IgG
Concentration 1ug/ul
Purification Purified by Protein G.
Storage Buffer 0.01M TBS(pH7.4) with 1% BSA, 0.02% Proclin300 and 50% Glycerol.
Storage Condition Shipped at 4C. Store at -20C for one year. Avoid repeated freeze/thaw cycles.
Target
Gene ID 1327
Synonyms Cytochrome c oxidase subunit 4 isoform 1, mitochondrial; COX4I1
Background This protein is one of the nuclear-coded polypeptide chains of cytochrome c oxidase, the terminal oxidase in mitochondrial electron transport.
Application Dilution
WB 1:300-5000
IHC-P 1:200-400
IHC-F 1:100-500
IF