RECEIVE 25% OFF PUBLISHED ANTIBODIES WITH CODE "PUB25"! Offer valid for US customers and available internationally through distributors.

lamin B1 Monoclonal Antibody

Applications

  • WB
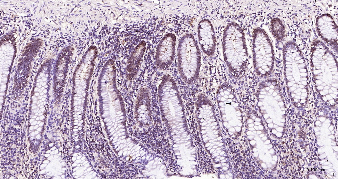
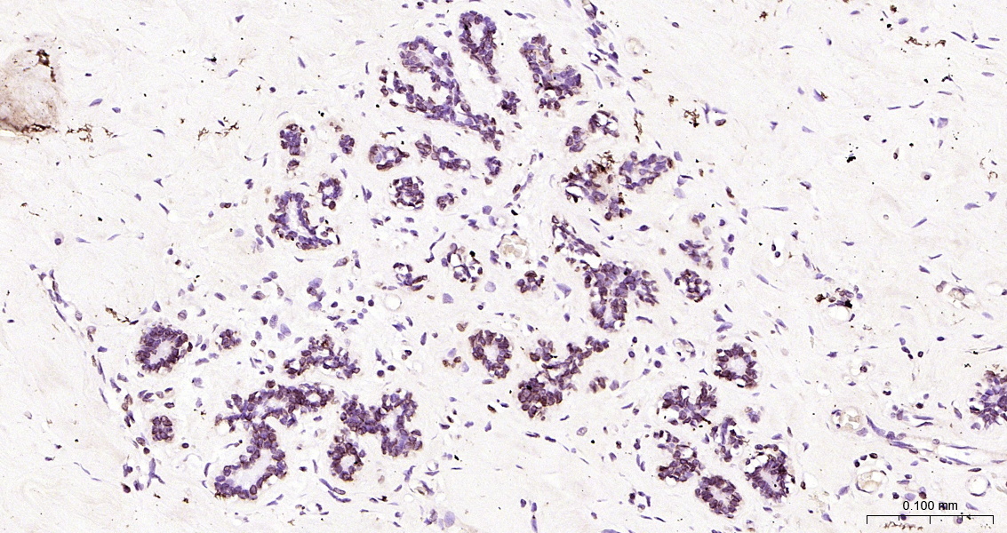
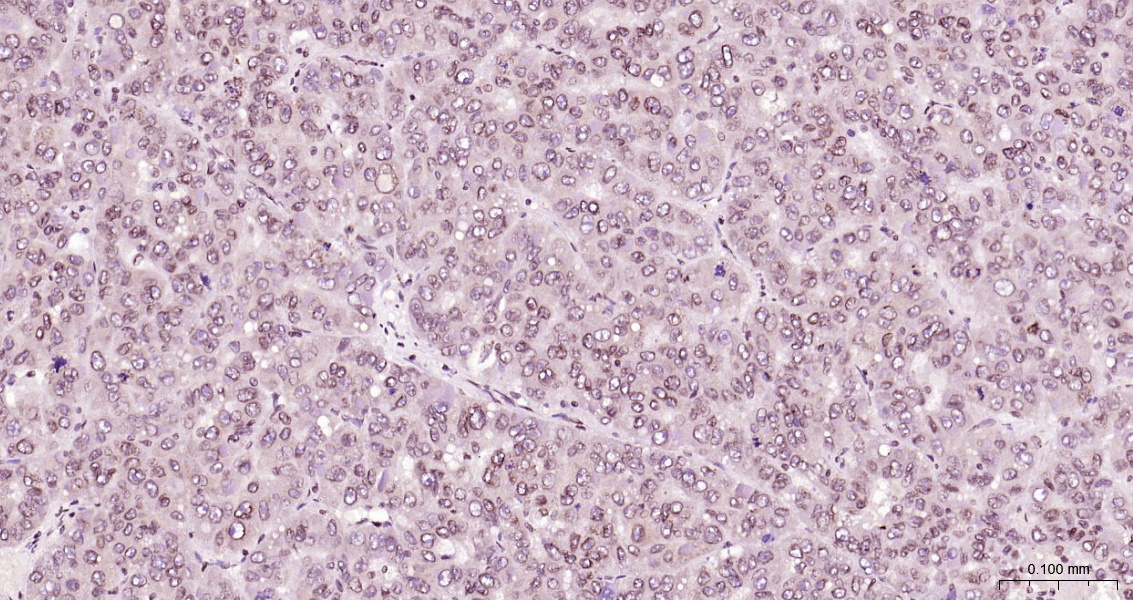
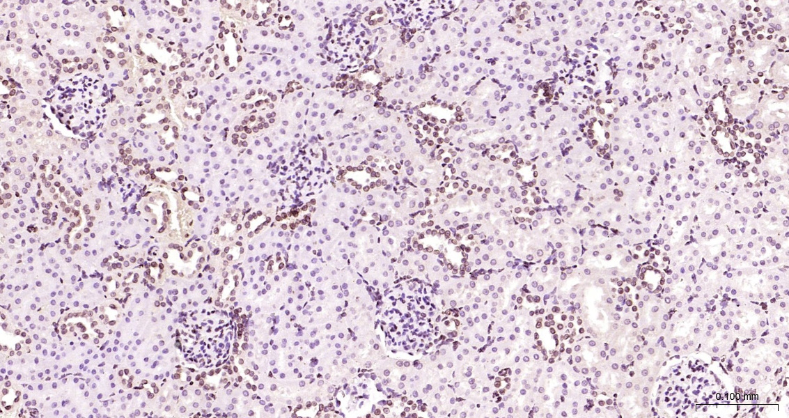
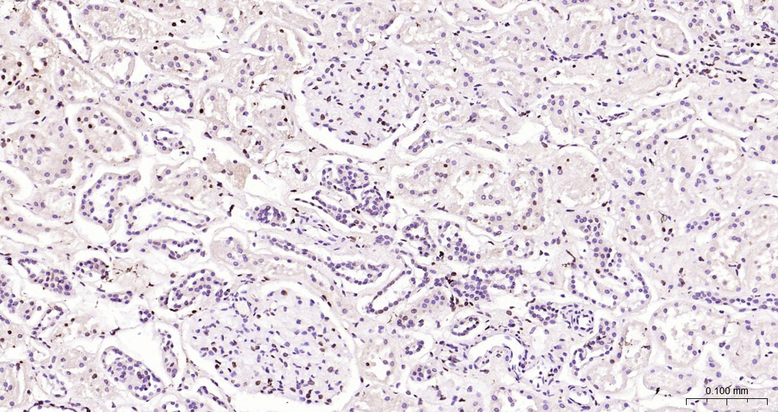
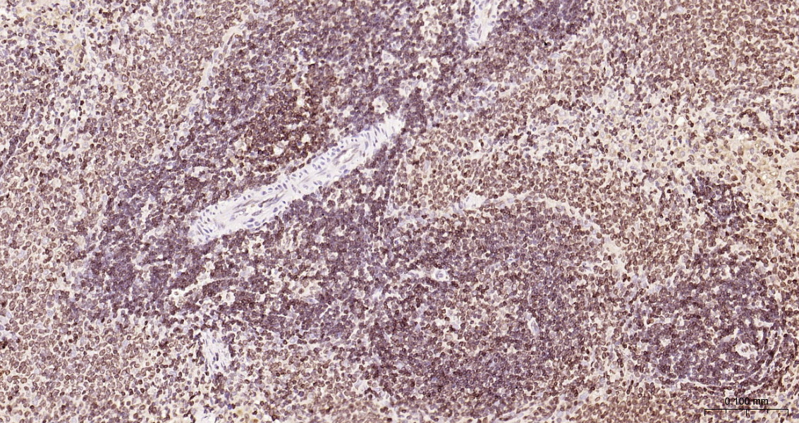
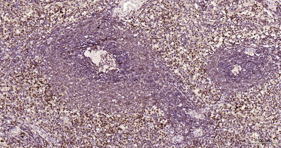
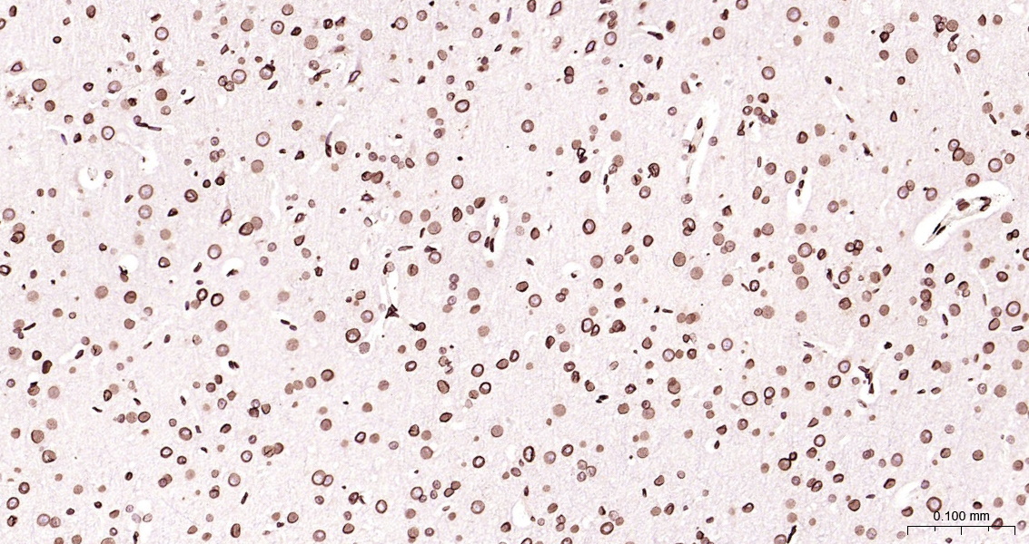
  • IHC-P
  • IHC-F
  • IF

Reactivity

  • Human
Overview
Catalog # bsm-33040m
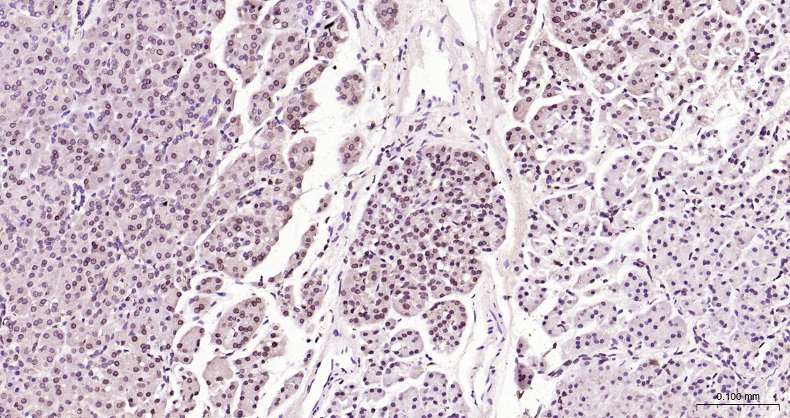
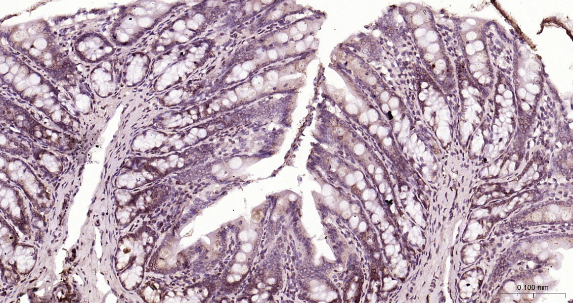
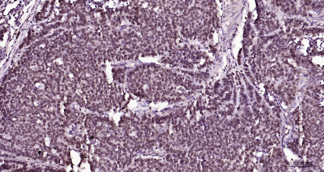
Product Name lamin B1 Monoclonal Antibody
Applications WB, IHC-P, IHC-F, IF
Reactivity Human
Specifications
Conjugation Unconjugated
Host Mouse
Source Recombinant human Lamin B Protein
Immunogen Range 314-386/586
Clonality Monoclonal
Clone # 9C11
Isotype IgG
Concentration 1ug/ul
Purification Purified by Protein G.
Storage Buffer 0.01M TBS(pH7.4) with 1% BSA, 0.02% Proclin300 and 50% Glycerol.
Storage Condition Shipped at 4C. Store at -20C for one year. Avoid repeated freeze/thaw cycles.
Target
Gene ID 4001
Swiss Prot P20700
Synonyms Lamin-B1; LMNB1; LMN2; LMNB
Background Lamins are components of the nuclear lamina, a fibrous layer on the nucleoplasmic side of the inner nuclear membrane, which is thought to provide a framework for the nuclear envelope and may also interact with chromatin.
Application Dilution
WB 1:300-5000
IHC-P 1:200-400
IHC-F 1:100-500
IF