Receive 30% off all Monoclonal IHC antibodies with code "MONO-IHC-30"! Offer valid for US customers and available internationally through distributors.

beta I Tubulin Recombinant Antibody

Applications

  • WB
  • IHC-P
  • IHC-F
  • IF
  • Flow-Cyt
  • ICC/IF

Reactivity

  • Human
  • Mouse
  • Rat
Overview
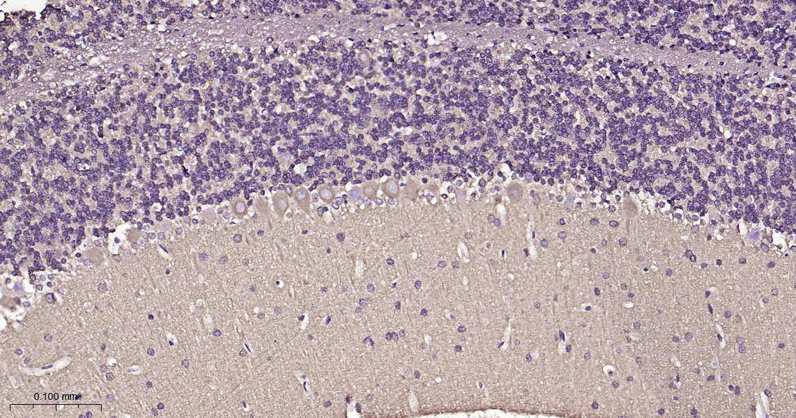
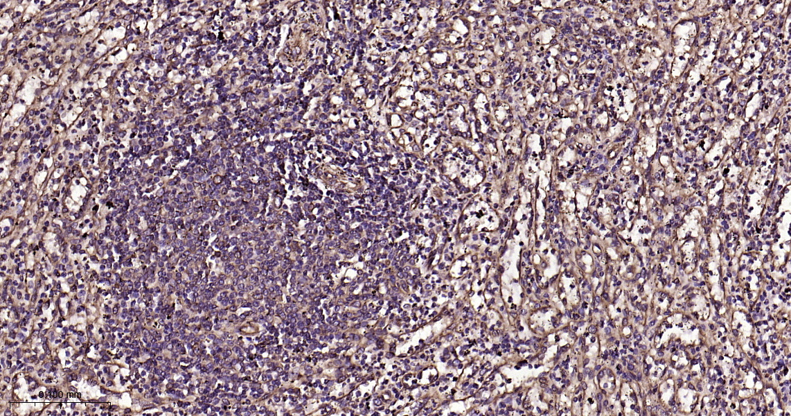
Catalog # bsm-33041r
Product Name beta I Tubulin Recombinant Antibody
Applications WB, IHC-P, IHC-F, IF, Flow-Cyt, ICC/IF
Reactivity Human, Mouse, Rat
Specifications
Conjugation Unconjugated
Host Rabbit
Source KLH conjugated synthetic peptide derived from human beta I Tubulin
Clonality Recombinant
Isotype IgG
Concentration 1mg/ml
Purification Purified by Protein A.
Storage Buffer 0.01M TBS (pH7.4) with 1% BSA, 0.02% Proclin300 and 50% Glycerol.
Storage Condition Shipped at 4C. Store at -20C for one year. Avoid repeated freeze/thaw cycles.
Target
Gene ID 81027
Swiss Prot Q9H4B7
Subcellular location Cytoplasm
Synonyms 2810484G07Rik; Beta tubulin 1, class VI; Class VI beta tubulin; dJ543J19.4; M(beta)1; TBB1_HUMAN; TUBB1; Tubulin beta 1 class VI; Tubulin beta-1 chain; Tubulin, beta 1; tubulin, beta1;
Application Dilution
WB 1:300-5000
IHC-P 1:200-400
IHC-F 1:100-500
IF
Flow-Cyt 1ug/Test
ICC/IF 1:50-100