| Overview |
| bsm-33057m |
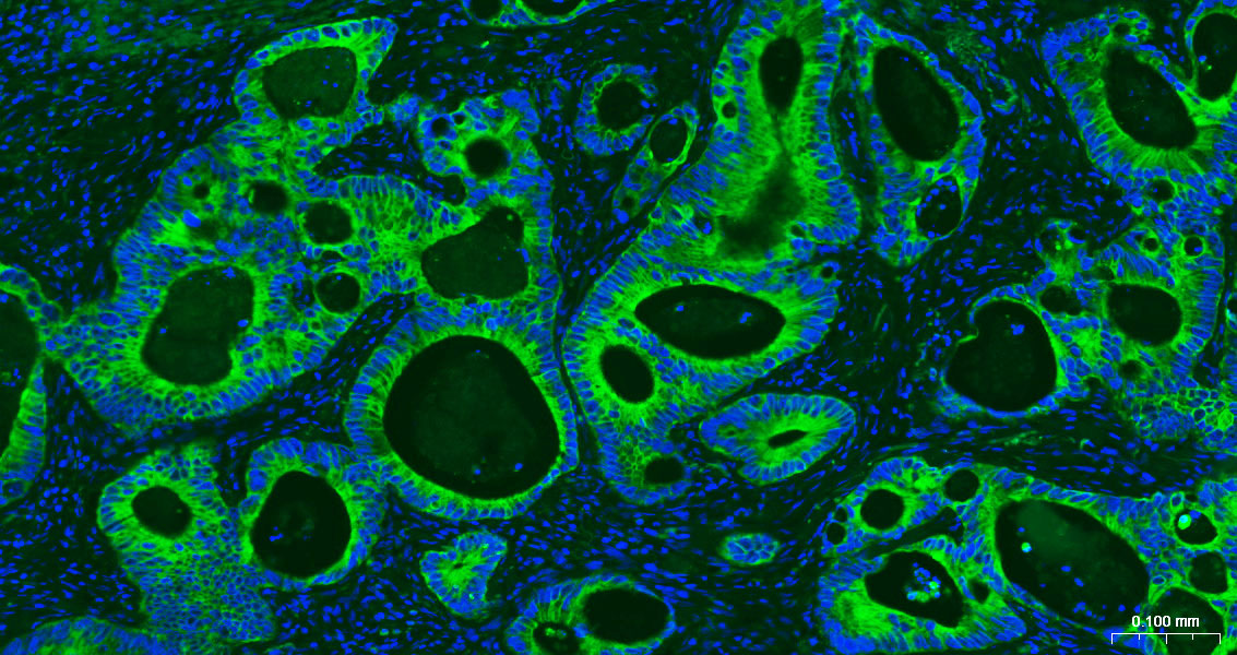
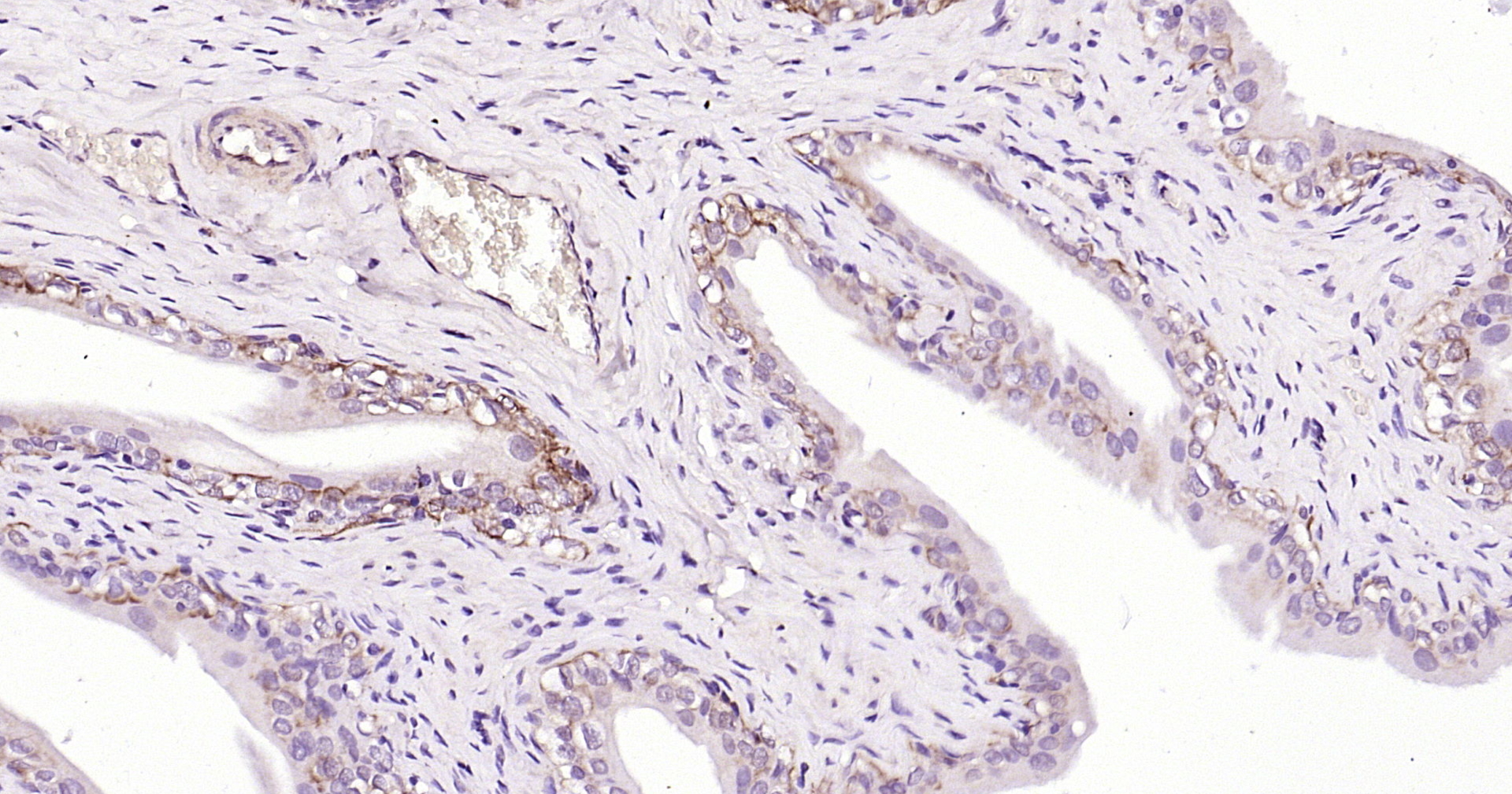
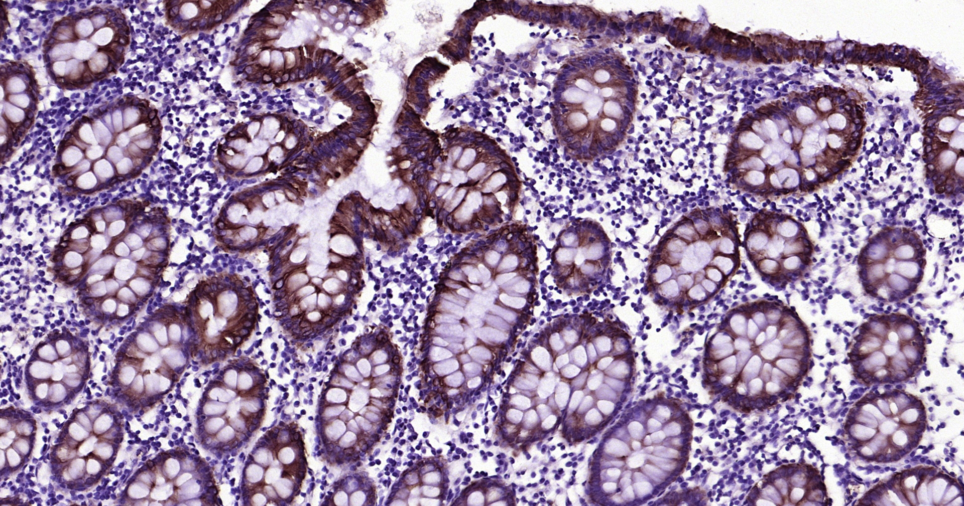
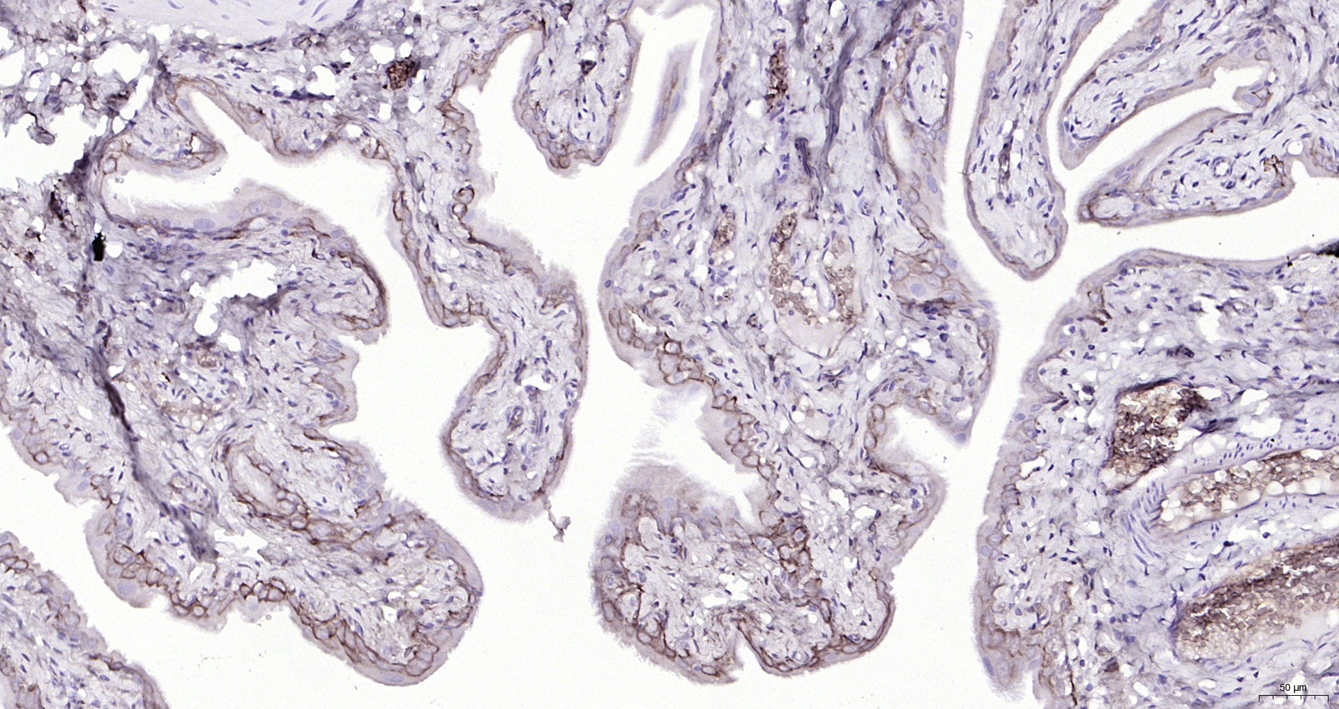
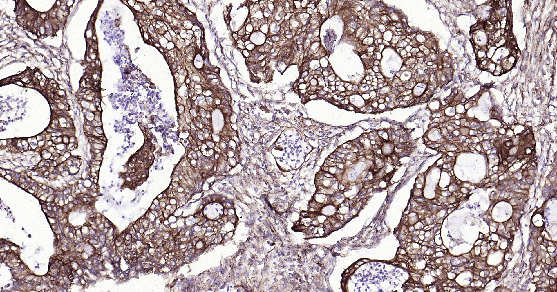
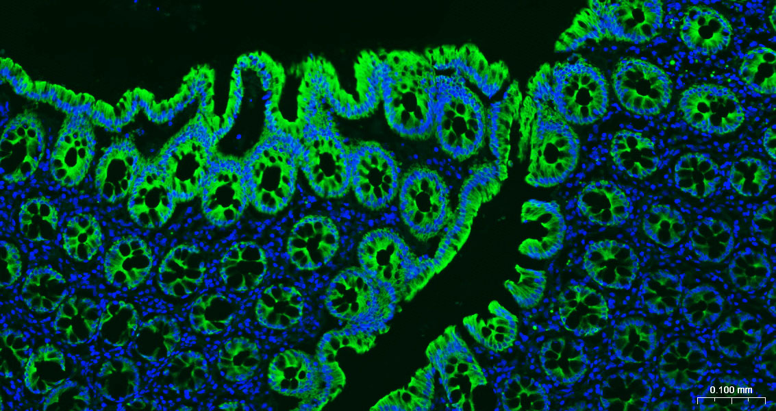
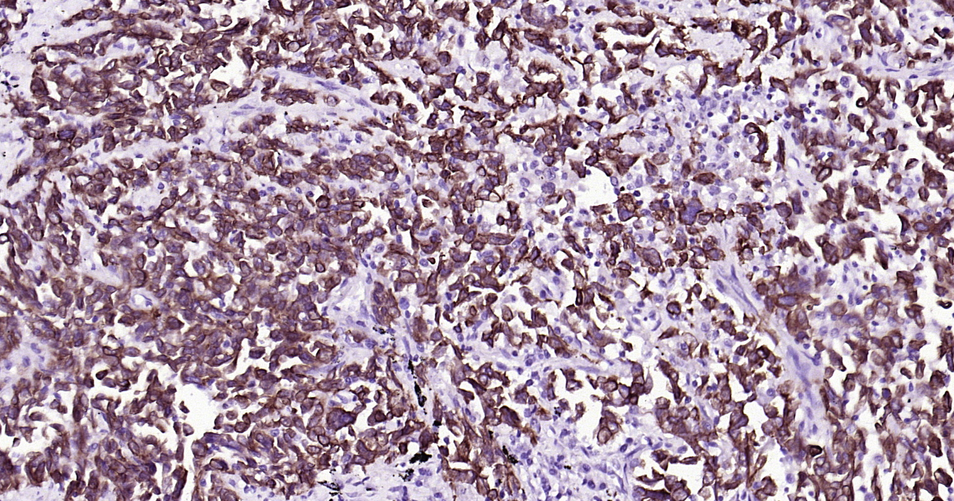
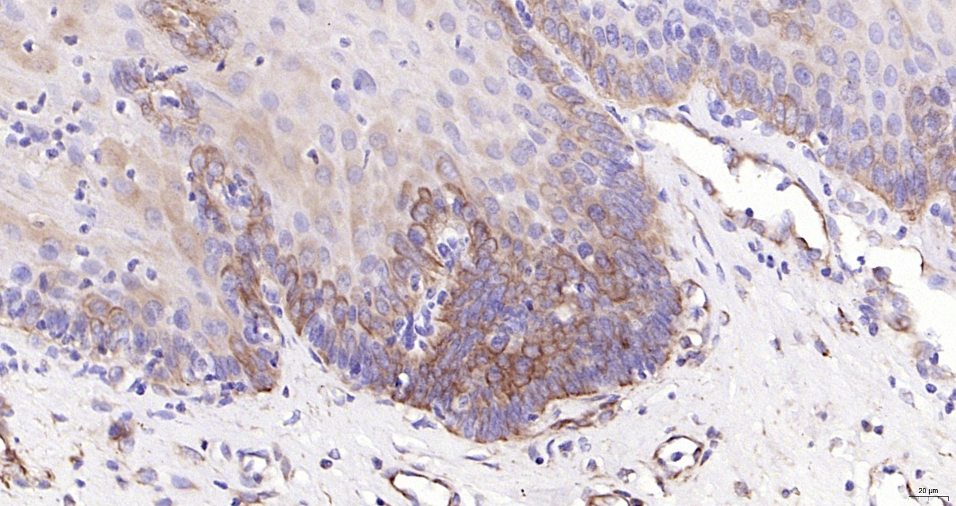
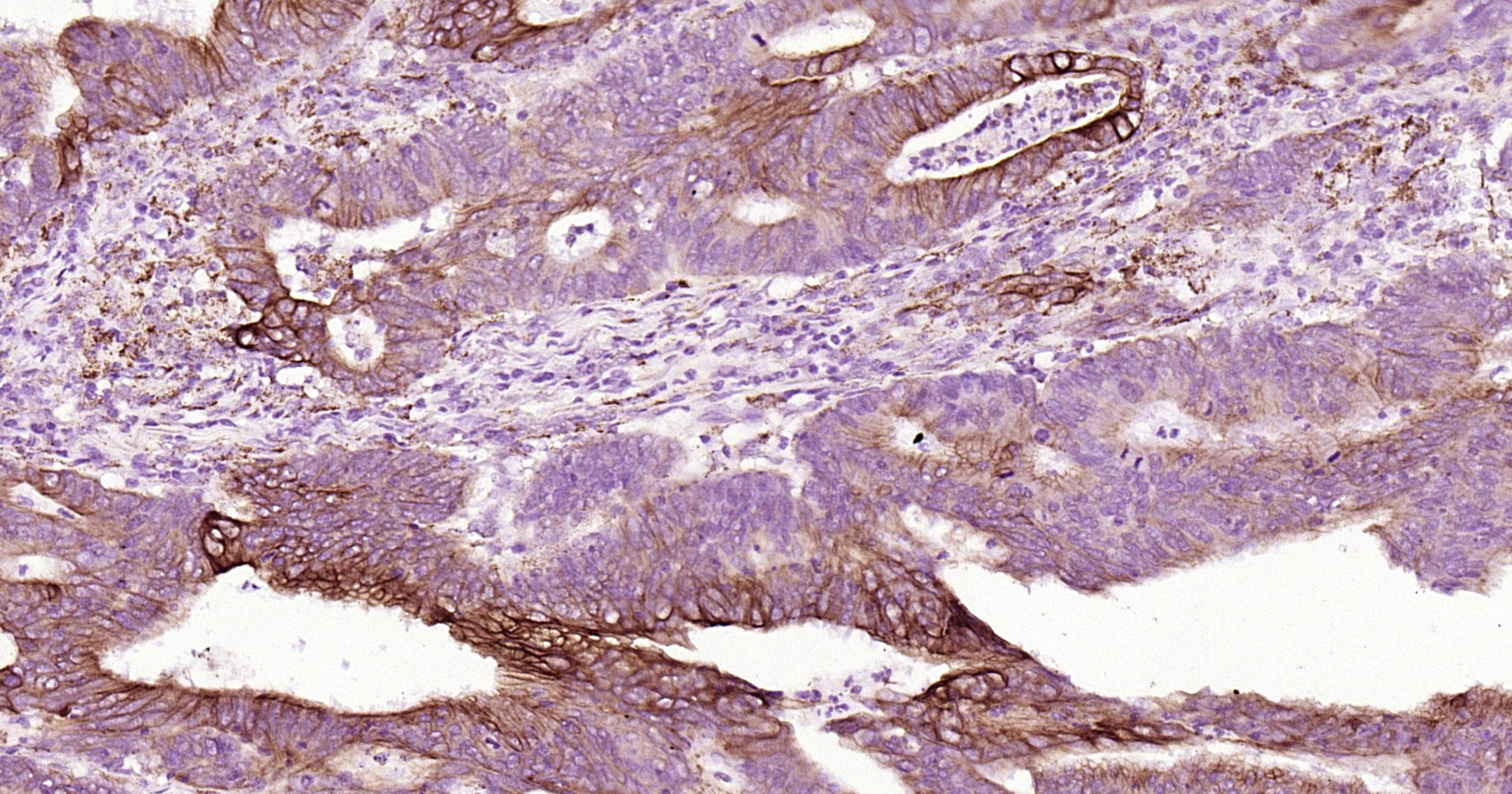
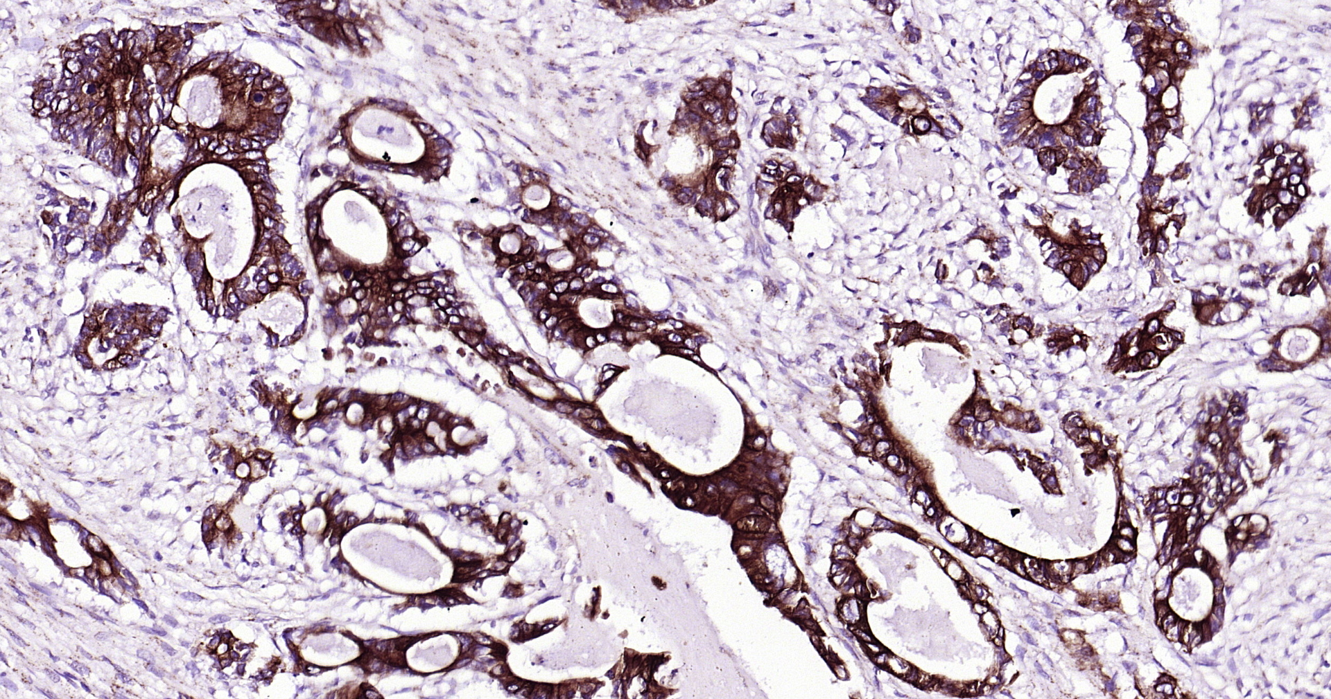
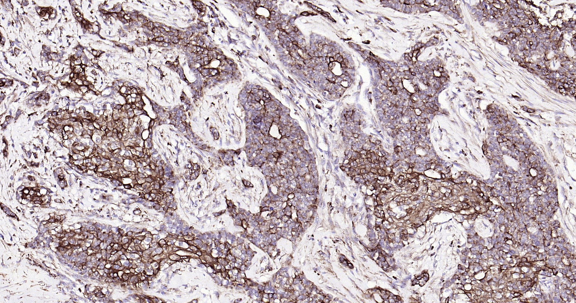
| Cytokeratin 19 Monoclonal Antibody |
| WB, IHC-P, IHC-F, IF(IHC-P), IF(ICC), IF |
| Human, Rat |
| Mouse |
| Specifications |
| Unconjugated |
| Mouse |
| KLH conjugated synthetic peptide derived from human Cytokeratin 19 |
| Monoclonal |
| 10H7 |
| IgG |
| 1ug/ul |
| Purified by Protein G. |
| 0.01M TBS(pH7.4) with 1% BSA, 0.02% Proclin300 and 50% Glycerol. |
| Shipped at 4C. Store at -20C for one year. Avoid repeated freeze/thaw cycles. |
| Target |
| 3880 |
| P08727 |
| Cytoplasm, Cell membrane |
| 40 kDa keratin intermediate filament; CK 19; ck19; CK19; CK-19; KRT19; Cytokeratin 19; Cytokeratin-19; k19; k1cs; Keratin 19; Keratin-19; Keratin type I 40 kD; Keratin type i 40kD; Keratin type I cytoskeletal 19; krt19; mgc15366; K1C19_HUMAN; Keratin, type I cytoskeletal 19; Keratin, type I, 40 kd |
| The protein encoded by this gene is a member of the keratin family. The keratins are intermediate filament proteins responsible for the structural integrity of epithelial cells and are subdivided into cytokeratins and hair keratins. The type I cytokeratins consist of acidic proteins which are arranged in pairs of heterotypic keratin chains. Unlike its related family members, this smallest known acidic cytokeratin is not paired with a basic cytokeratin in epithelial cells. It is specifically expressed in the periderm, the transiently superficial layer that envelopes the developing epidermis. The type I cytokeratins are clustered in a region of chromosome 17q12-q21. [provided by RefSeq, Jul 2008] |
| Application Dilution |
| WB |
1:300-5000 |
| IHC-P |
1:200-400 |
| IHC-F |
1:100-500 |
| IF(IHC-P) |
1:50-200 |
| IF(ICC) |
1:50-200 |
| IF |
|