Receive 30% off all Monoclonal IHC antibodies with code "MONO-IHC-30"! Offer valid for US customers and available internationally through distributors.

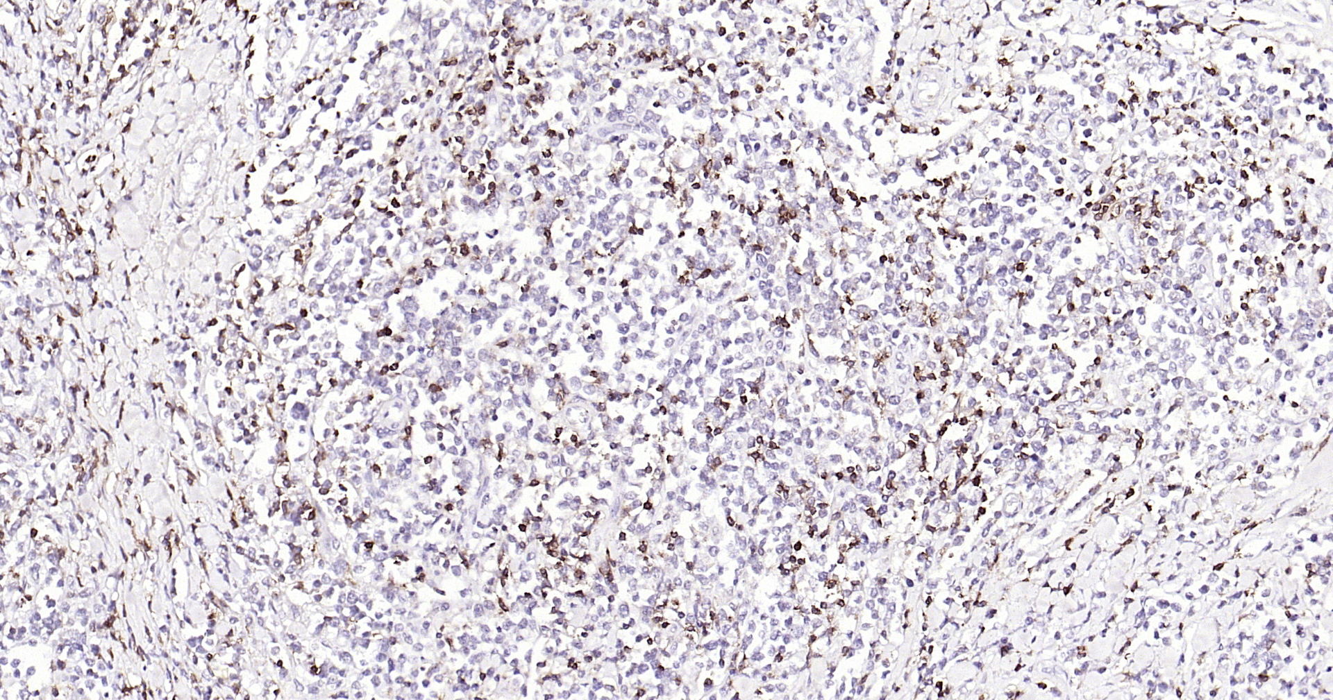
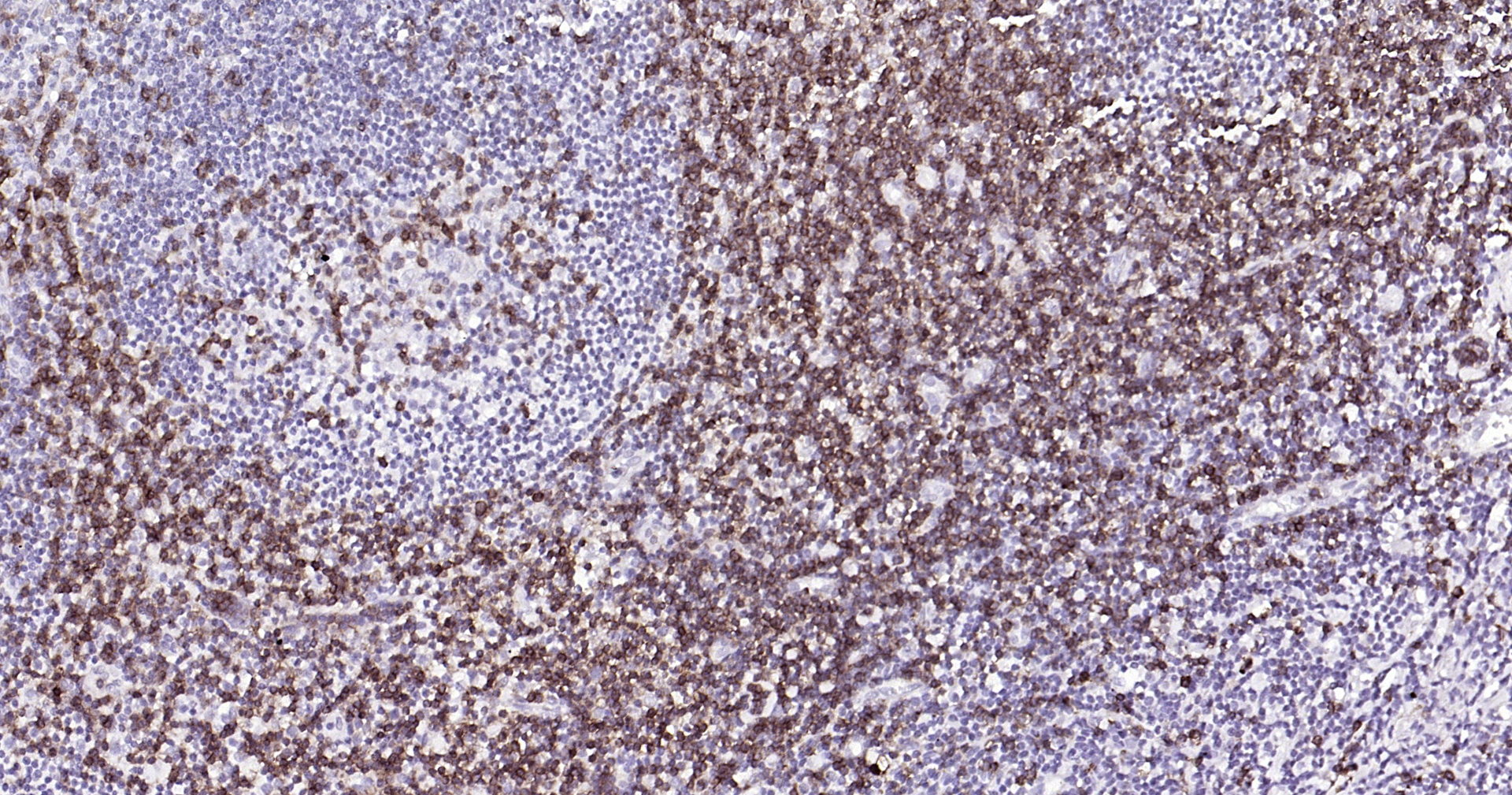
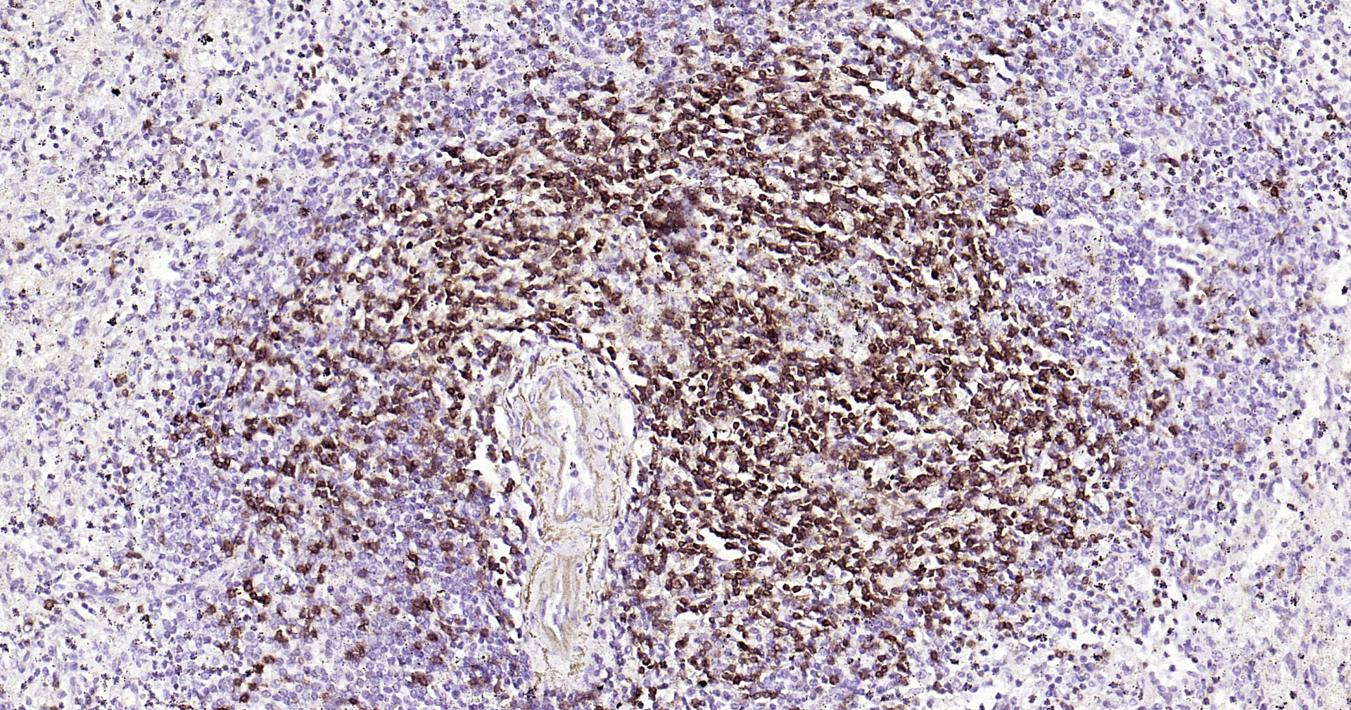
CD5 Monoclonal Antibody

Applications

  • WB
  • IHC-P
  • IHC-F
  • IF
  • Flow-Cyt

Reactivity

  • Human
Overview
Catalog # bsm-33077m
Product Name CD5 Monoclonal Antibody
Applications WB, IHC-P, IHC-F, IF, Flow-Cyt
Reactivity Human
Specifications
Conjugation Unconjugated
Host Mouse
Source KLH conjugated synthetic peptide derived from human CD5
Clonality Monoclonal
Clone # 12A8
Isotype IgG
Concentration 1ug/ul
Purification Purified by Protein A.
Storage Buffer 0.01M TBS(pH7.4) with 1% BSA, 0.02% Proclin300 and 50% Glycerol.
Storage Condition Shipped at 4C. Store at -20C for one year. Avoid repeated freeze/thaw cycles.
Target
Gene ID 921
Swiss Prot P06127
Subcellular location Cell membrane
Synonyms T-cell surface glycoprotein CD5; Lymphocyte antigen 1; Ly-1; Lyt-1; CD-5; CD5 antigen; CD 5; CD5 molecule; CD5 antigen (p56 62); CD5_HUMAN; LEU 1; LEU1; Ly12; LyA; Lymphocyte Antigen CD5; Lymphocyte antigen T1/Leu 1; Lymphocyte antigen T1/Leu-1; Lymphocyte glycoprotein T1/Leu1; OTTHUMP00000236973; p56 62; T1.
Background This gene encodes a cell surface glycoprotein that regulates complement-mediated cell lysis, and it is involved in lymphocyte signal transduction. This protein is a potent inhibitor of the complement membrane attack complex, whereby it binds complement C8 and/or C9 during the assembly of this complex, thereby inhibiting the incorporation of multiple copies of C9 into the complex, which is necessary for osmolytic pore formation. This protein also plays a role in signal transduction pathways in the activation of T cells. Mutations in this gene cause CD59 deficiency, a disease resulting in hemolytic anemia and thrombosis, and which causes cerebral infarction. Multiple alternatively spliced transcript variants, which encode the same protein, have been identified for this gene. [provided by RefSeq, Jul 2008]
Application Dilution
WB 1:300-5000
IHC-P 1:200-400
IHC-F 1:100-500
IF
Flow-Cyt 1ug/Test