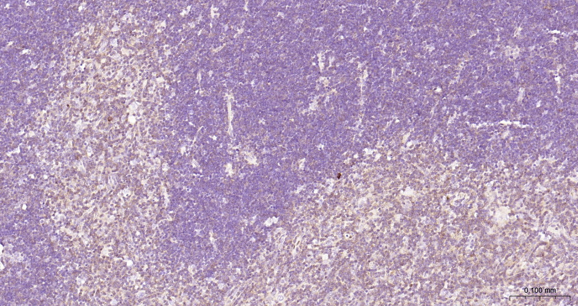
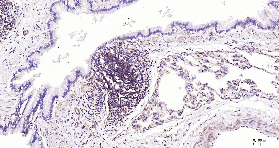
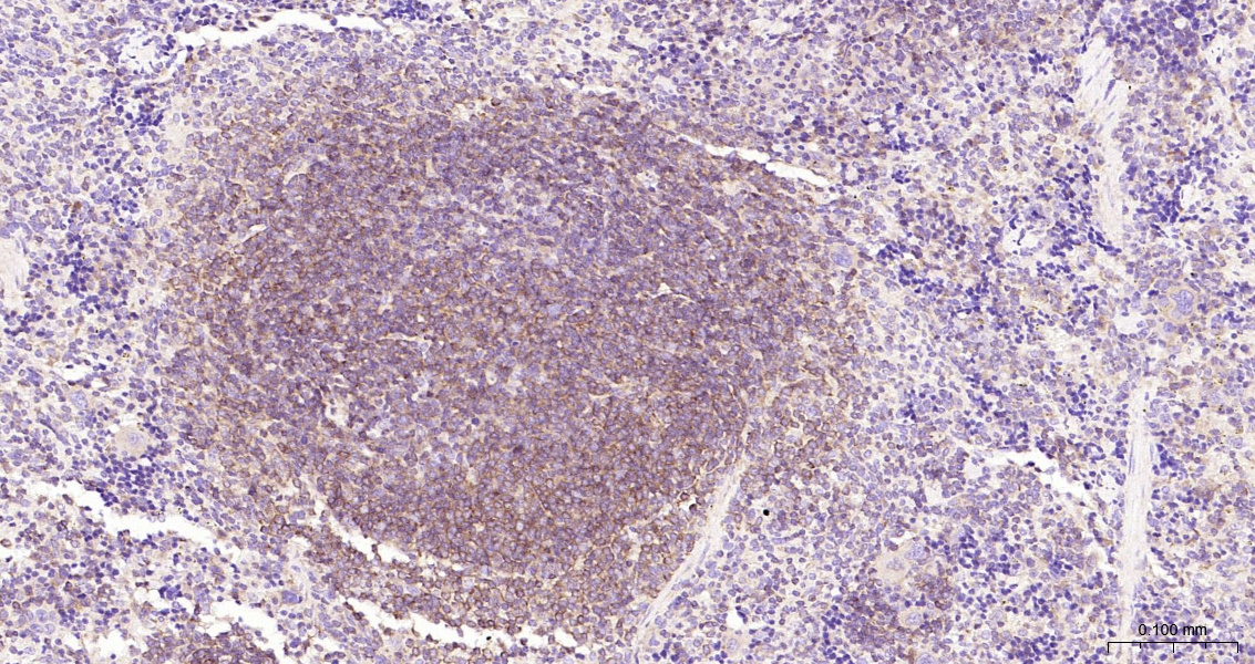
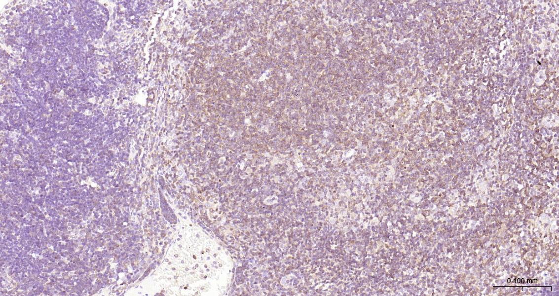
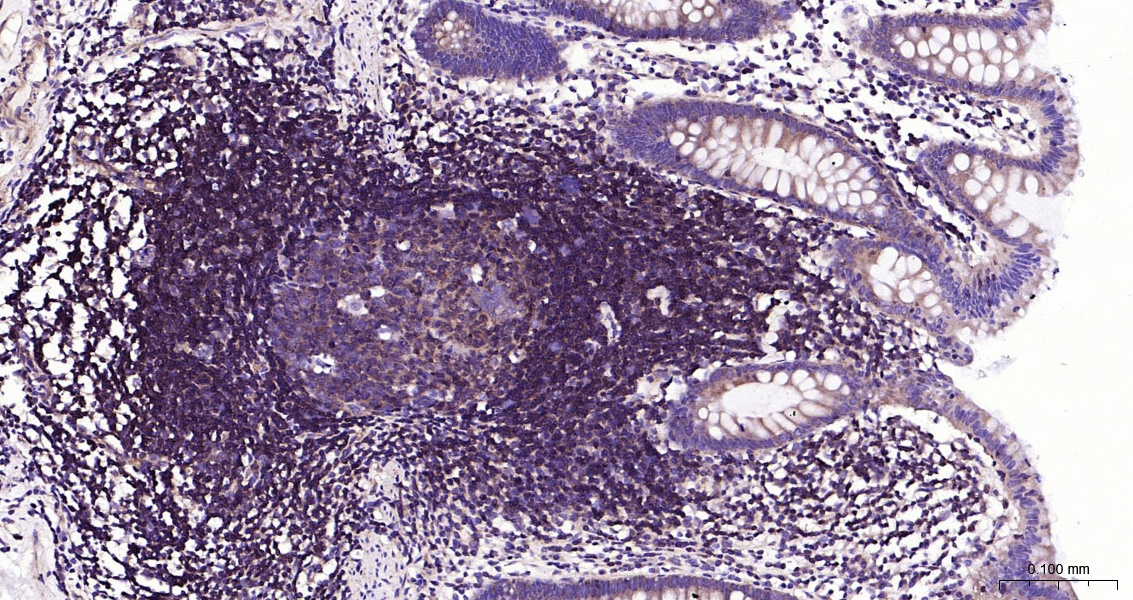
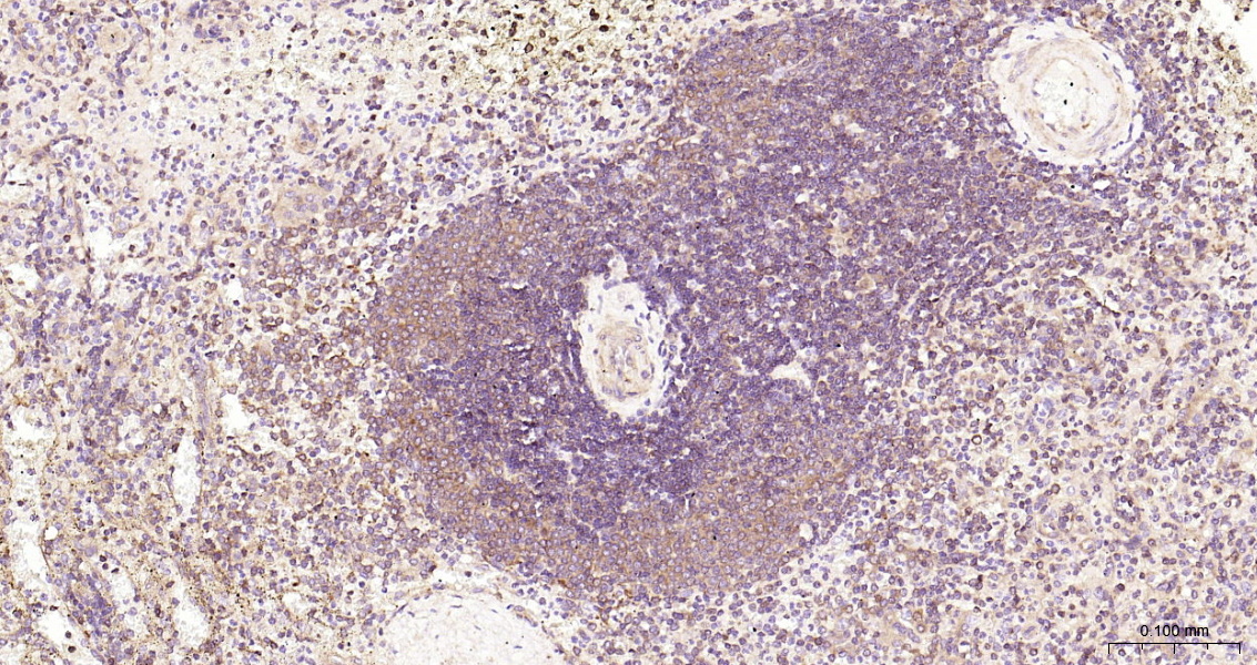
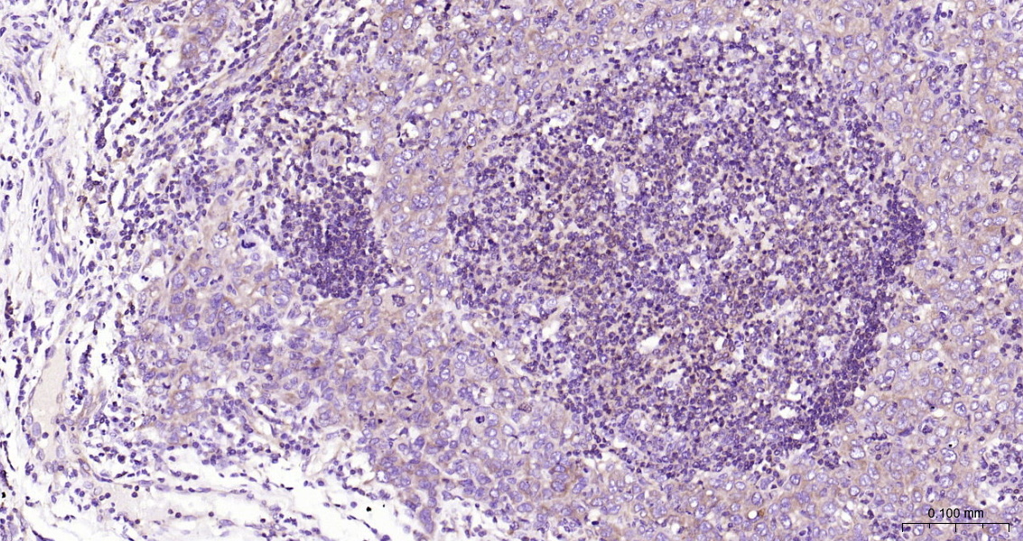
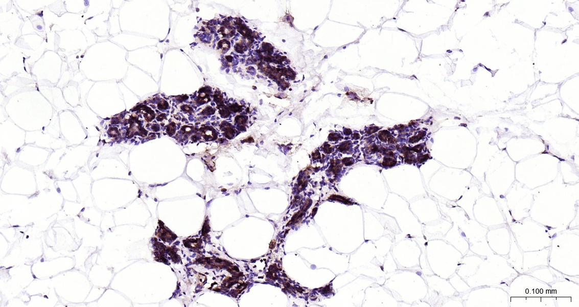
NFKB p65 Recombinant Antibody
Applications
Reactivity
| Overview | |
| Catalog # | bsm-33117r |
| Product Name | NFKB p65 Recombinant Antibody |
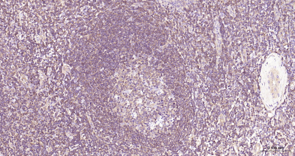
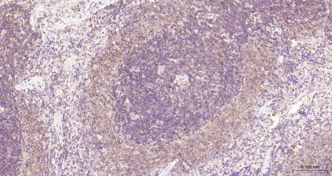
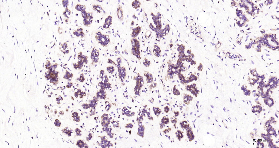
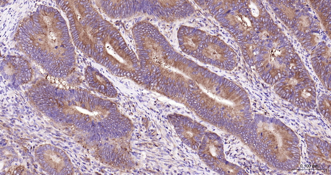
| Applications | WB, IHC-P, IHC-F, IF |
| Reactivity | Human, Mouse, Rat |
| Specifications | |
| Conjugation | Unconjugated |
| Host | Rabbit |
| Source | Recombinant human NFKB p65 Protein |
| Clonality | Recombinant |
| Isotype | IgG |
| Concentration | 1mg/ml |
| Purification | Purified by Protein A. |
| Storage Buffer | 0.01M TBS (pH7.4) with 1% BSA, 0.02% Proclin300 and 50% Glycerol. |
| Storage Condition | Shipped at 4C. Store at -20C for one year. Avoid repeated freeze/thaw cycles. |
| Target | |
| Gene ID | 5970 |
| Swiss Prot | Q04206 |
| Subcellular location | Cytoplasm, Nucleus |
| Synonyms | TF65_HUMAN; Transcription factor p65; RELA; Nuclear factor NF-kappa-B p65 subunit; Nuclear factor of kappa light polypeptide gene enhancer in B-cells 3; NFKB3; RELA proto-oncogene, NF-kB subunit; p65; CMCU; NFKB3; AIF3BL3; NF-kB p65/RelA; NFκB-p65; NFκB p65; NF κB-p65; NFκBp65; |
| Application Dilution | |
| WB | 1:300-5000 |
| IHC-P | 1:200-400 |
| IHC-F | 1:100-500 |
| IF | |