| Overview |
| bsm-33188m |
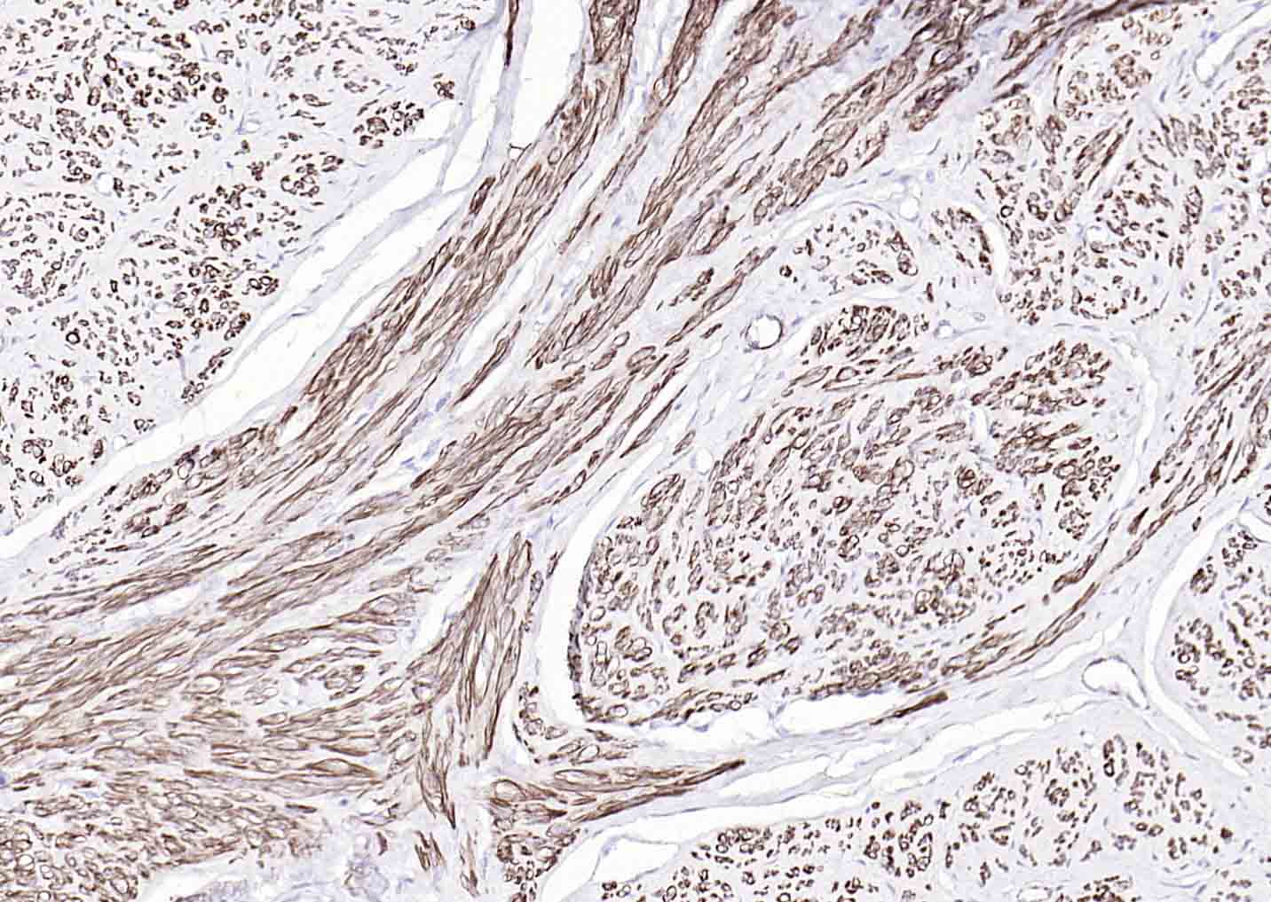
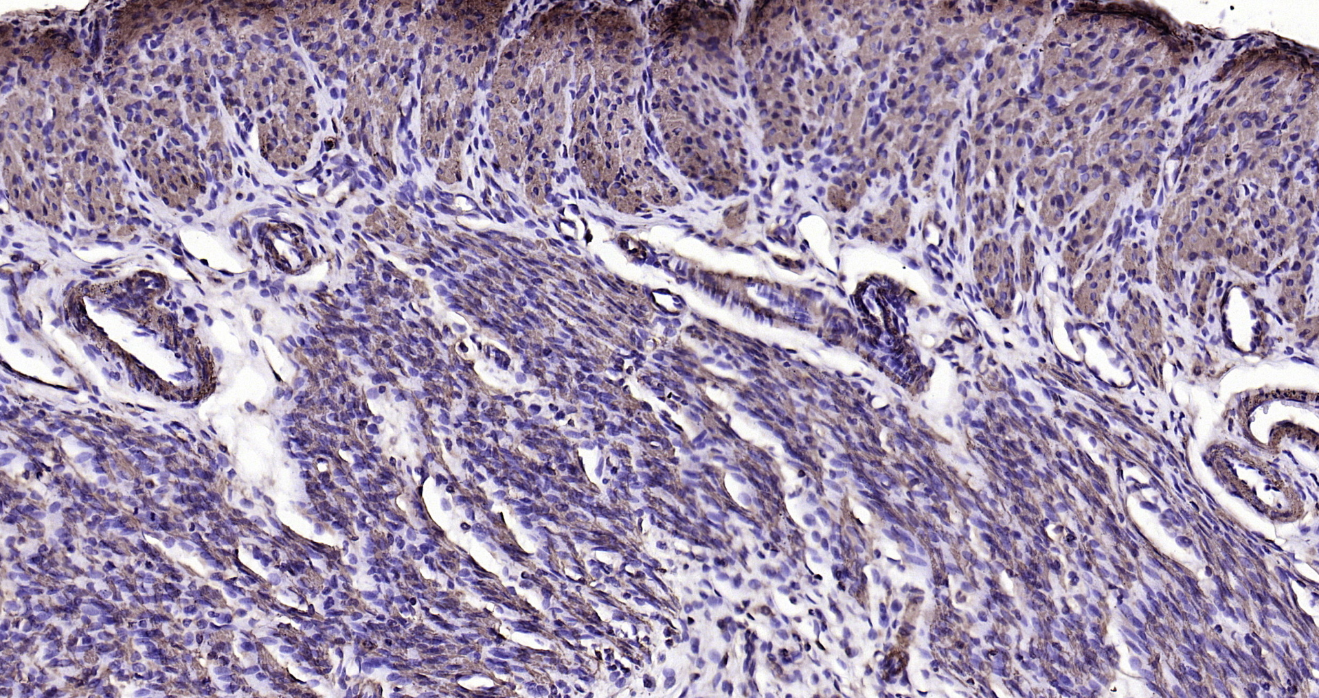
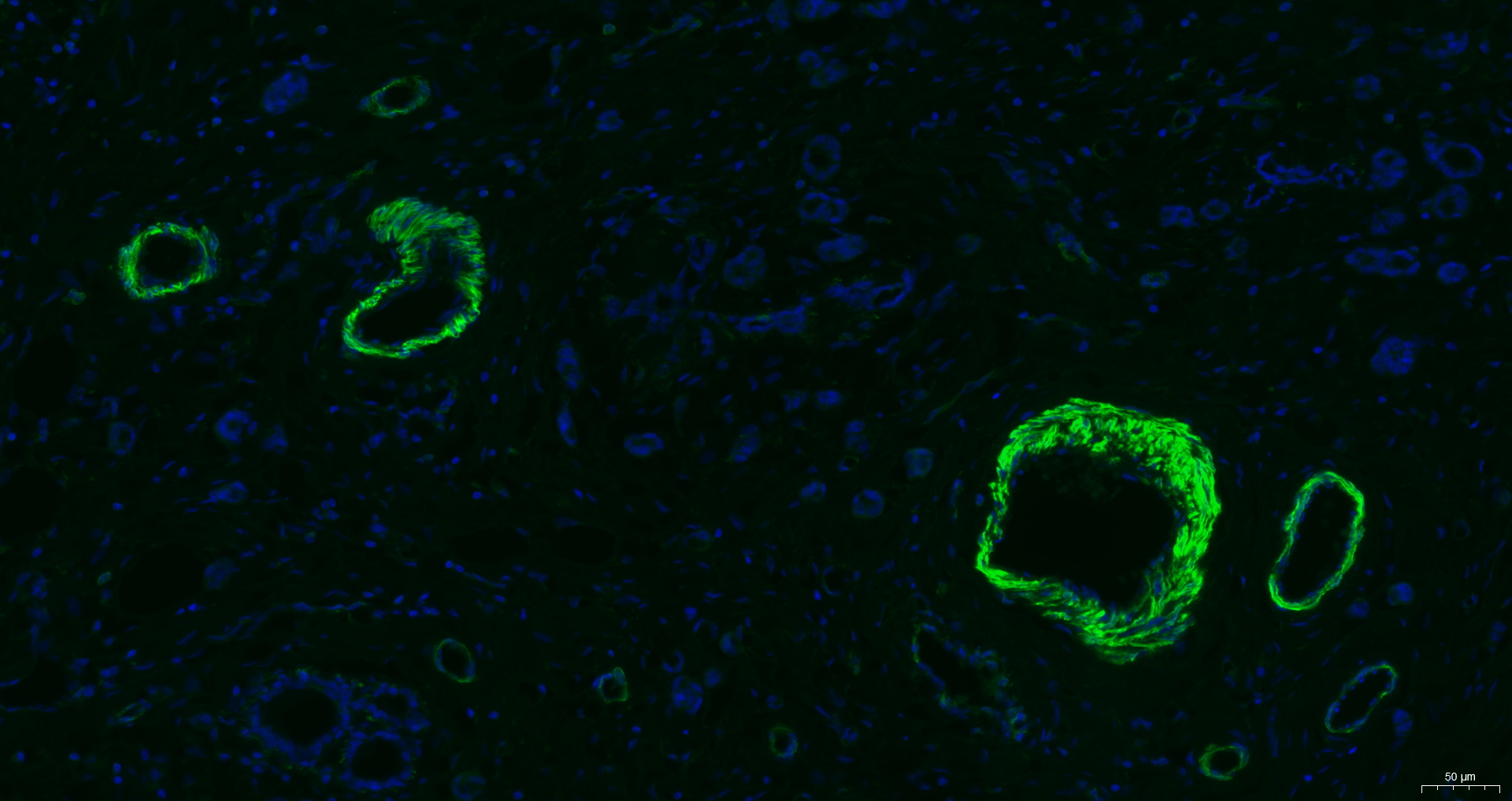
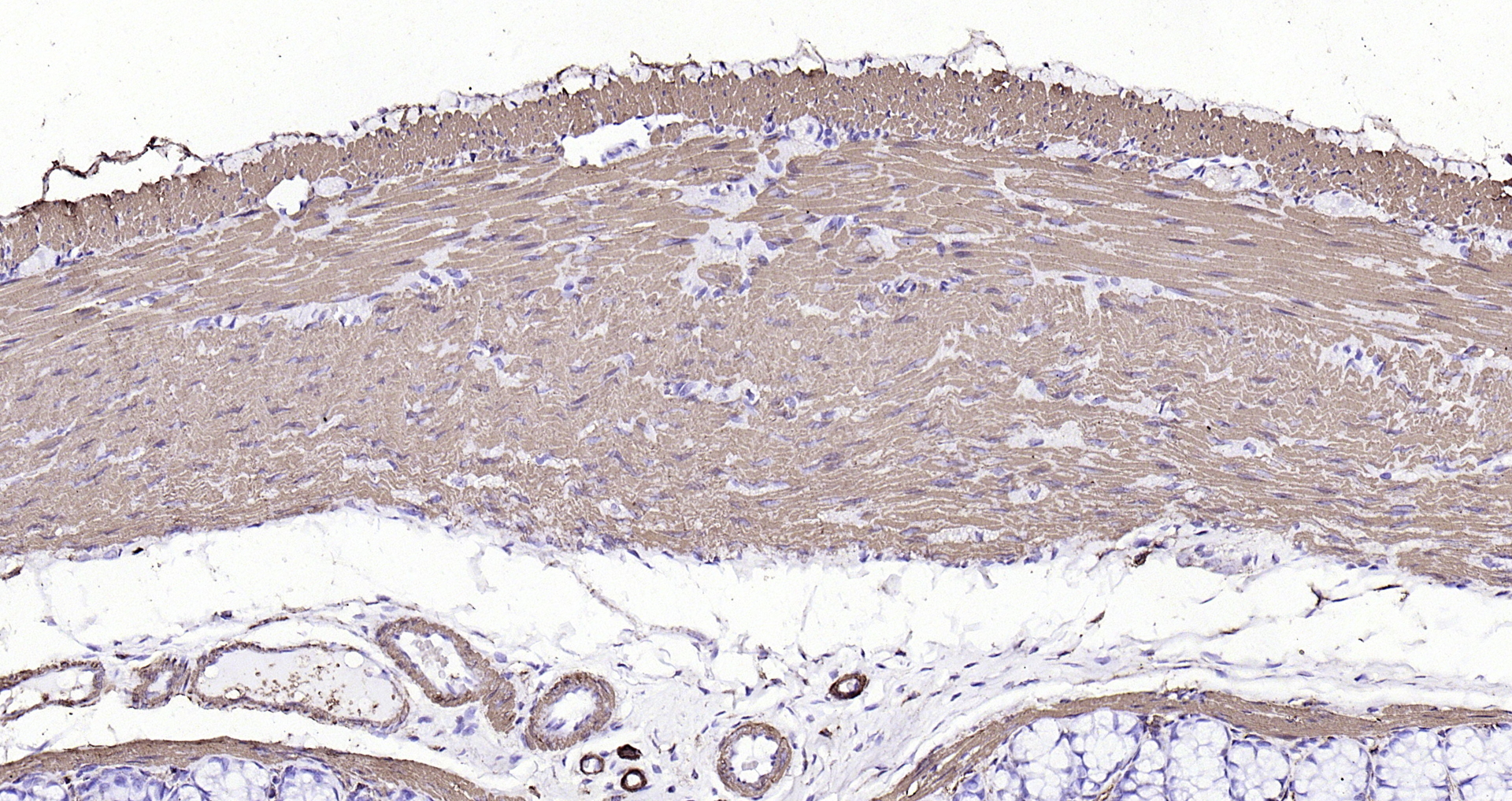
| alpha smooth muscle Actin Monoclonal Antibody |
| WB, IHC-P, IHC-F, IF, Flow-Cyt |
| Human, Mouse, Rat |
| Specifications |
| Unconjugated |
| Mouse |
| KLH conjugated synthetic peptide derived from human alpha smooth muscle Actin |
| Monoclonal |
| 8B2 |
| IgG |
| 1ug/ul |
| Purified by Protein A. |
| 0.01M TBS(pH7.4) with 1% BSA, 0.02% Proclin300 and 50% Glycerol. |
| Shipped at 4C. Store at -20C for one year. Avoid repeated freeze/thaw cycles. |
| Target |
| 59 |
| P62736 |
| alpha sarcomeric Actin; alpha smooth muscle Actin; Actin alpha; ASMA; ASM-A; alpha-SMA; alpha SMA; AAT6; ACTA2; Actin alpha 2 smooth muscle aorta; Actin aortic smooth muscle; ACTSA; ACTVS; Alpha 2 actin; Alpha-actin 2; Cell growth inhibiting gene 46 protein; Growth inhibiting gene 46; ACTA_HUMAN; Actin alpha 2 smooth muscle aorta; Actin aortic smooth muscle; Actin, aortic smooth muscle; Alpha 2 actin; Alpha actin 2; Alpha cardiac actin; Alpha-actin 2; Alpha-actin-2; Cell growth inhibiting gene 46 protein; Cell growth-inhibiting gene 46 protein; Growth inhibiting gene 46; MYMY5_-Smooth Muscle Actin; _ Smooth Muscle Actin; |
| The product encoded by this gene belongs to the actin family of proteins, which are highly conserved proteins that play a role in cell motility, structure and integrity. Alpha, beta and gamma actin isoforms have been identified, with alpha actins being a major constituent of the contractile apparatus, while beta and gamma actins are involved in the regulation of cell motility. This actin is an alpha actin that is found in skeletal muscle. Mutations in this gene cause nemaline myopathy type 3, congenital myopathy with excess of thin myofilaments, congenital myopathy with cores, and congenital myopathy with fiber-type disproportion, diseases that lead to muscle fiber defects. [provided by RefSeq, Jul 2008] |
| Application Dilution |
| WB |
1:300-5000 |
| IHC-P |
1:200-400 |
| IHC-F |
1:100-500 |
| IF |
|
| Flow-Cyt |
1ug/Test |